We use cookies to enhance the usability of our website. If you continue, we'll assume that you are happy to receive all cookies. More information. Don't show this again.
WDCP
HPA
RESOURCES
  • TISSUE
  • BRAIN
  • SINGLE CELL
  • SUBCELLULAR
  • CANCER
  • BLOOD
  • CELL LINE
  • STRUCTURE
  • INTERACTION
ABOUT
  • INTRODUCTION
  • HISTORY
  • ORGANIZATION
  • PUBLICATIONS
  • ACKNOWLEDGMENTS
  • CONTACT
NEWS
  • NEWS ARTICLES
  • PRESS ROOM
LEARN
  • DICTIONARY
  • PROTEIN CLASSES
  • PROTEIN EVIDENCE
  • METHODS
  • EDUCATIONAL VIDEOS
DATA
  • DOWNLOADABLE DATA
  • PUBLICATION DATA
  • RELEASE HISTORY
HELP
  • HELP & FAQ
  • ANTIBODY AVAILABILITY
  • DISCLAIMER
  • PRIVACY STATEMENT
  • LICENCE & CITATION
Fields »
Search result

Field
Term
Gene name
Class
Subclass
Category
Keyword
Chromosome
External id
Tissue
Cell type
Expression
Antibody panel
Tissue
Main location
Patient ID
Annotation
Tissue
Category
Tau score
Cluster
Reliability
Brain region
Category
Tau score
Brain region
Category
Tau score
Brain region
Category
Tau score
Cluster
Reliability
Tissue
Cell type
Enrichment
Cell type
Category
Tau score
Cell type group
Category
Tau score
Cell type
Category
Tau score
Cell type
Category
Tau score
Cell lineage
Category
Tau score
Cluster
Cluster
Location
Searches
Location
Cell line
Class
Type
Phase
Reliability
Cancer
Prognosis
Cancer
Category
Cancer
Category
Tau score
Cluster
Variants
Interacting gene (ensg_id)
Type
Number of interactions
Pathway
ipTM
Category
Category
Category
Category
Validation
Validation
Validation
Validation
Antibodies
Data type
Column


  • SUMMARY

  • TISSUE

  • BRAIN

  • SINGLE CELL

  • SUBCELL

  • CANCER

  • BLOOD

  • CELL LINE

  • STRUCTURE

  • INTERACTION

  • WDCP
TISSUE PRIMARY DATA PROSTATE Show tissue menu
ADIPOSE TISSUE ADRENAL GLAND AMYGDALA APPENDIX BASAL GANGLIA BLOOD VESSEL BONE MARROW BREAST BRONCHUS CEREBELLUM CEREBRAL CORTEX CERVIX CHOROID PLEXUS COLON
DUODENUM ENDOMETRIUM EPIDIDYMIS ESOPHAGUS FALLOPIAN TUBE GALLBLADDER HEART MUSCLE HIPPOCAMPAL FORMATION HYPOTHALAMUS KIDNEY LIVER LUNG LYMPH NODE MIDBRAIN
NASOPHARYNX ORAL MUCOSA OVARY PANCREAS PARATHYROID GLAND PITUITARY GLAND PLACENTA PROSTATE RECTUM RETINA SALIVARY GLAND SEMINAL VESICLE SKELETAL MUSCLE SKIN
SMALL INTESTINE SMOOTH MUSCLE SOFT TISSUE SPINAL CORD SPLEEN STOMACH TESTIS THYMUS THYROID GLAND TONGUE TONSIL URINARY BLADDER VAGINA
ANTIBODIES
AND
VALIDATION
Dictionary
Prostate
Tissue proteome
Prostate
Tissue methods
PROSTATE - Expression summary
Protein expression
Prostatei

On the top, protein expression in current human tissue, based on all annotated cell types, is reported with the units not detected (n), low (l), medium (m) and high (h). Underneath, protein expression in each annotated cell type are reported using the same units. Protein expression data is based on knowledge-based annotation. For genes where more than one antibody has been used, a collective score is set. If knowledge-based annotation could not be performed for a gene, no data is displayed here. View antibody staining data further down this page.

h
m
l
n
Glandular cells: Medium
RNA expressioni

A summary of mRNA expression data available for current tissue based on several datasets. The mRNA expression levels in human tissues are based on RNA-seq data generated by the Human Protein Atlas HPA, Genotype-Tissue Expression GTEx portal and CAGE data generated by the FANTOM5 consortium. Consensus normalized expression levels for human tissues was created by combining the data from HPA and GTEx datasets. The mRNA expression levels in pig brain are based on RNA-seq data generated by the Human Protein Atlas, and for mouse brain HPA data and in situ hybridization generated by the Allen brain atlas dataset are reported.

Scroll down to view mRNA expression data in more detail.

Consensus:3.4 nTPM
HPA:3.4 nTPM
GTEx:2.9 nTPM
FANTOM5:9.9 Scaled Tags Per Million
PROSTATE - SINGLE CELL RNA EXPRESSION
Explore single cell type data

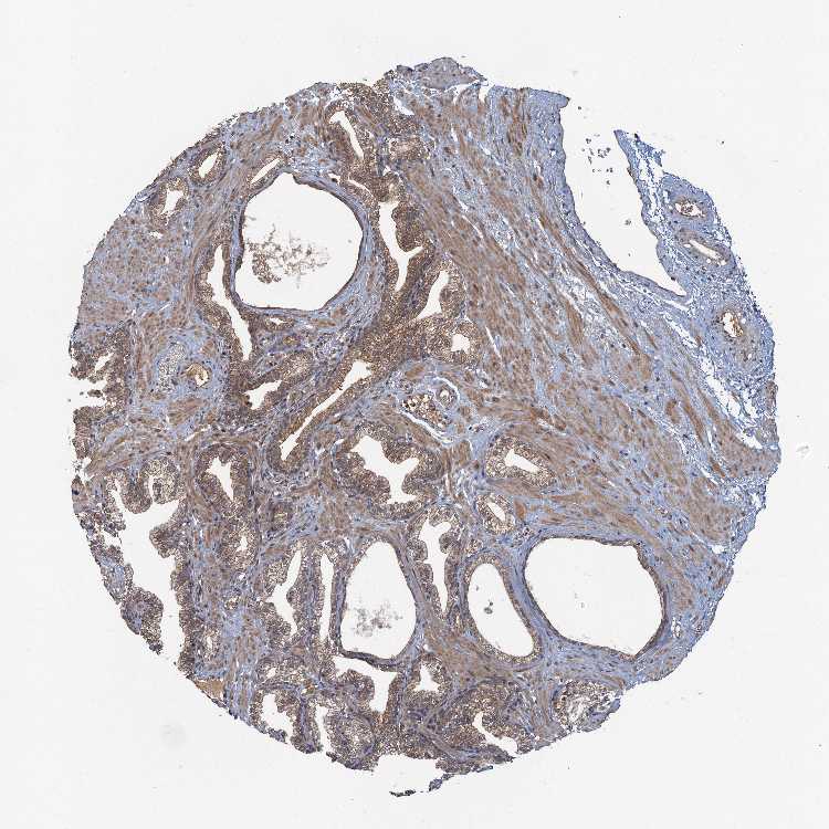
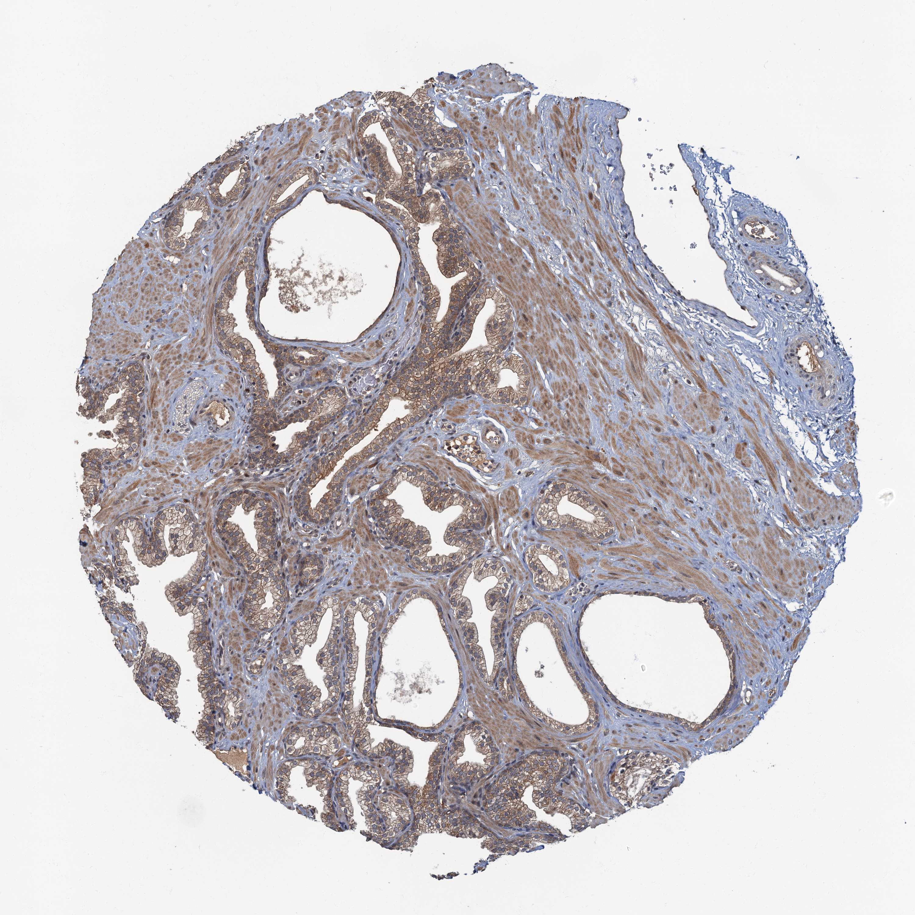
PROSTATE - Antibody stainingi

Antibody staining in the annotated cell types in the current human tissue is reported as not detected, low, medium, or high, based on conventional immunohistochemistry profiling in selected tissues. This score is based on the combination of the staining intensity and fraction of stained cells. Each image is clickable and will lead to virtual microscopy that enables deeper exploration of all samples and also displays staining intensity scores, fraction scores and subcellular localization as well as patient and tissue information for each sample.

Ascending and descending describe two types of gradient, based on difference in staining intensity between enterocytes in crypts and apical enterocytes.

Ascending - the staining intensity is stronger in apical enterocytes (towards the lumen) compared to enterocytes in the crypts (gland based)

Descending - the staining is weaker in apical enterocytes compared to enterocytes in crypts

Antibody HPA041054
Glandular cells Medium



PROSTATE - HPA RNA-seqi

The RNA-seq details section shows detailed information about the individual samples used for the transcript profiling and results of the RNA-seq analysis.

Information about each individual sample is listed below, including gender, age, a tissue section image and estimated fractions of cell types. nTPM (normalized transcripts per million) values give a quantification of the gene abundance which is comparable between different genes and samples.

Average nTPMi

Max subtype nTPM is the value for the subtype with the largest average nTPM across the subtype samples.

3.4
overview
Male, age 62
Prostate sample 59
nTPM: 3.1
Cell types%
Glandular cells:
30

Smooth muscle cells:
55

Skeletal muscle cells:
5

Other cell types:
10

N/A
Male, age 65
Prostate sample 205
nTPM: 3.3
Cell types%
Glandular cells:
20

Smooth muscle cells:
60

Other cell types:
20

overview
Male, age 65
Prostate sample 206
nTPM: 2.7
Cell types%
Glandular cells:
30

Smooth muscle cells:
65

Other cell types:
5

overview
Male, age 68
Prostate sample 207
nTPM: 2.7
Cell types%
Glandular cells:
30

Smooth muscle cells:
65

Other cell types:
5

overview
Male, age 60
Prostate sample 361
nTPM: 3.8
Cell types%
Glandular cells:
40

Smooth muscle cells:
55

Other cell types:
5

overview
Male, age 66
Prostate sample 364
nTPM: 4.1
Cell types%
Glandular cells:
50

Smooth muscle cells:
45

Other cell types:
5

overview
Male, age 63
Prostate sample 365
nTPM: 3.4
Cell types%
Glandular cells:
60

Smooth muscle cells:
35

Other cell types:
5

overview
Male, age 66
Prostate sample 388
nTPM: 3.5
Cell types%
Glandular cells:
65

Smooth muscle cells:
30

Other cell types:
5

overview
Male, age 58
Prostate sample 412
nTPM: 4.3
Cell types%
Glandular cells:
45

Smooth muscle cells:
50

Other cell types:
5


PROSTATE - GTEx RNA-seqi

RNA-Seq data generated by the Genotype-Tissue Expression (GTEx) project from human tissues is reported as mean nTPM. More information can be found on the GTEx portal.

Distribution across the dataset is visualized with box plots, shown as median and 25th and 75th percentiles. Points are displayed as outliers if they are above or below 1.5 times the interquartile range. nTPM values of the individual samples are presented next to the box plot.

Max subtype nTPMi

Max subtype nTPM is the value for the subtype with the largest average nTPM across the subtype samples.

2.9
GTEx sample id Sample description nTPM
Prostate
Average nTPM: 2.9
Samples: 282

Max nTPM: 4.9
Min nTPM: 1.3
Std nTPM: 0.6
Median nTPM: 2.9
GTEX-NPJ8-2426-SM-3MJHL 40-49 years, male 4.9
GTEX-T5JC-1226-SM-4DM7C 20-29 years, male 4.7
GTEX-1I1GU-1126-SM-A96S9 40-49 years, male 4.5
GTEX-13RTJ-2126-SM-5S2PZ 60-69 years, male 4.3
GTEX-1497J-0926-SM-GNINU 60-69 years, male 4.3
GTEX-Y8E4-2126-SM-5RQHO 40-49 years, male 4.3
GTEX-1I19N-2226-SM-A96TS 70-79 years, male 4.2
GTEX-1ICLZ-2626-SM-A9G2K 60-69 years, male 4.2
GTEX-QEG5-2426-SM-EYYVC 20-29 years, male 4.2
GTEX-14PJ3-1726-SM-5ZZVH 50-59 years, male 4.1
GTEX-14PJO-2826-SM-6AJA6 60-69 years, male 4.1
GTEX-1H1E6-0526-SM-9WPQ3 30-39 years, male 4.1
GTEX-OOBJ-2026-SM-3NB1R 60-69 years, male 4.1
GTEX-11DXZ-1826-SM-5H12Y 50-59 years, male 3.9
GTEX-1HFI6-2326-SM-9WYUN 40-49 years, male 3.9
GTEX-NFK9-2226-SM-3MJGP 40-49 years, male 3.9
GTEX-P4QS-2026-SM-3NMCG 60-69 years, male 3.9
GTEX-ZY6K-1526-SM-5GZXE 50-59 years, male 3.9
GTEX-1GZ2Q-2426-SM-9KNV8 40-49 years, male 3.8
GTEX-1HSMO-2326-SM-CGQF3 60-69 years, male 3.8
GTEX-13NYS-1026-SM-5KLZT 60-69 years, male 3.7
GTEX-146FQ-1726-SM-5QGPX 30-39 years, male 3.7
GTEX-17HGU-2226-SM-7IGLI 50-59 years, male 3.7
GTEX-17HHE-1126-SM-793BS 50-59 years, male 3.7
GTEX-18A66-2326-SM-7LT8Q 60-69 years, male 3.7
GTEX-1C6WA-2326-SM-7P8OW 60-69 years, male 3.7
GTEX-1QP29-0526-SM-EAZ3T 50-59 years, male 3.7
GTEX-OOBK-2025-SM-3LK5S 40-49 years, male 3.7
GTEX-UTHO-2726-SM-4JBH9 60-69 years, male 3.7
GTEX-13O21-1126-SM-5N9EV 50-59 years, male 3.6
GTEX-14C5O-2826-SM-5RQI6 60-69 years, male 3.6
GTEX-SNMC-0926-SM-4DM5U 20-29 years, male 3.6
GTEX-XXEK-1226-SM-4BRUY 50-59 years, male 3.6
GTEX-1H3NZ-2826-SM-9WPQ7 60-69 years, male 3.5
GTEX-1JMPZ-2326-SM-CE6RW 30-39 years, male 3.5
GTEX-1JMQK-2226-SM-ARU8U 60-69 years, male 3.5
GTEX-1RAZR-2326-SM-F2T9L 40-49 years, male 3.5
GTEX-1S5VW-2826-SM-HK7AS 60-69 years, male 3.5
GTEX-QV44-1526-SM-DHXIP 50-59 years, male 3.5
GTEX-XPT6-1526-SM-HL9TQ 20-29 years, male 3.5
GTEX-XQ8I-2526-SM-EAZB3 50-59 years, male 3.5
GTEX-13FHO-2826-SM-5K7ZA 60-69 years, male 3.4
GTEX-17EUY-2026-SM-79OMV 20-29 years, male 3.4
GTEX-1A3MV-0826-SM-72D6J 30-39 years, male 3.4
GTEX-1CAMR-5009-SM-HL122 20-29 years, male 3.4
GTEX-1HSMQ-5014-SM-HAUXN 50-59 years, male 3.4
GTEX-Q2AH-1426-SM-EXOHC 40-49 years, male 3.4
GTEX-R55C-1326-SM-H6Q79 40-49 years, male 3.4
GTEX-WK11-2626-SM-4M9QW 50-59 years, male 3.4
GTEX-WYJK-0626-SM-4ONCZ 50-59 years, male 3.4
GTEX-11DYG-2526-SM-5N9BB 60-69 years, male 3.3
GTEX-13G51-2326-SM-5LZXV 60-69 years, male 3.3
GTEX-13N2G-1826-SM-5KM1I 60-69 years, male 3.3
GTEX-14ICL-1426-SM-H6Q7A 30-39 years, male 3.3
GTEX-16MTA-1426-SM-6PALY 50-59 years, male 3.3
GTEX-1JJE9-0426-SM-D4P2P 70-79 years, male 3.3
GTEX-1L5NE-1026-SM-D3LAP 50-59 years, male 3.3
GTEX-1LBAC-1926-SM-DHXK2 20-29 years, male 3.3
GTEX-1P4AB-1926-SM-E6CQL 50-59 years, male 3.3
GTEX-SNOS-1026-SM-4DM4Y 40-49 years, male 3.3
GTEX-YF7O-1926-SM-4W1YQ 50-59 years, male 3.3
GTEX-11TT1-2026-SM-5EQM8 20-29 years, male 3.2
GTEX-13111-1326-SM-5GCNO 50-59 years, male 3.2
GTEX-14PJ2-2126-SM-5YY96 50-59 years, male 3.2
GTEX-1CB4G-2526-SM-7MXTG 60-69 years, male 3.2
GTEX-1CB4J-1526-SM-7MXVB 60-69 years, male 3.2
GTEX-1IL2U-2826-SM-A96SR 60-69 years, male 3.2
GTEX-1LG7Y-2426-SM-EVR57 50-59 years, male 3.2
GTEX-1PBJJ-1626-SM-F2I3K 30-39 years, male 3.2
GTEX-1PPH8-1426-SM-DTXA3 20-29 years, male 3.2
GTEX-1QP2A-1526-SM-E6CPN 50-59 years, male 3.2
GTEX-WFON-1626-SM-4LVMV 40-49 years, male 3.2
GTEX-WL46-2126-SM-GQ1DY 50-59 years, male 3.2
GTEX-XAJ8-0626-SM-47JY4 40-49 years, male 3.2
GTEX-ZG7Y-2226-SM-DO92I 50-59 years, male 3.2
GTEX-111FC-2026-SM-5GZYO 60-69 years, male 3.1
GTEX-11P7K-0626-SM-5985Z 30-39 years, male 3.1
GTEX-11WQK-2726-SM-5EQMU 50-59 years, male 3.1
GTEX-1399R-0526-SM-5IJEF 30-39 years, male 3.1
GTEX-178AV-0426-SM-6LPJG 40-49 years, male 3.1
GTEX-17F96-2326-SM-GOQZI 70-79 years, male 3.1
GTEX-1AX9I-2326-SM-7PBXV 60-69 years, male 3.1
GTEX-1KANA-1026-SM-D3L9L 20-29 years, male 3.1
GTEX-1PIGE-1726-SM-E6CQH 20-29 years, male 3.1
GTEX-1RAZQ-0826-SM-EVR4L 30-39 years, male 3.1
GTEX-T8EM-1826-SM-4DM7F 40-49 years, male 3.1
GTEX-U3ZH-0926-SM-4DXU4 30-39 years, male 3.1
GTEX-V955-1826-SM-4JBIL 60-69 years, male 3.1
GTEX-X5EB-1826-SM-4E3K8 40-49 years, male 3.1
GTEX-XGQ4-1826-SM-4AT6F 50-59 years, male 3.1
GTEX-Y111-2326-SM-HL9TX 50-59 years, male 3.1
GTEX-Y9LG-1826-SM-4VBQC 30-39 years, male 3.1
GTEX-ZYFD-2526-SM-5E45L 50-59 years, male 3.1
GTEX-11LCK-0626-SM-GINA6 30-39 years, male 3.0
GTEX-11OF3-1726-SM-5GU5Q 60-69 years, male 3.0
GTEX-12696-2226-SM-5EQ65 60-69 years, male 3.0
GTEX-12KS4-2526-SM-GIN9O 30-39 years, male 3.0
GTEX-12WSN-5007-SM-7MGWH 40-49 years, male 3.0
GTEX-13YAN-2226-SM-GJ3QA 60-69 years, male 3.0
GTEX-144GM-5005-SM-HL11P 20-29 years, male 3.0
GTEX-145LT-0626-SM-5O99E 40-49 years, male 3.0
GTEX-14E6E-1126-SM-5S2R4 30-39 years, male 3.0
GTEX-15CHQ-2826-SM-HAUZ4 60-69 years, male 3.0
GTEX-15CHR-5014-SM-HTQ8D 50-59 years, male 3.0
GTEX-18A6Q-2526-SM-HAV38 60-69 years, male 3.0
GTEX-18QFQ-2026-SM-72D7J 30-39 years, male 3.0
GTEX-1AX8Z-5019-SM-AHZ2C 60-69 years, male 3.0
GTEX-1B8KE-1026-SM-731EQ 50-59 years, male 3.0
GTEX-1B8KZ-1626-SM-73KUU 50-59 years, male 3.0
GTEX-1HBPN-2126-SM-9WPNQ 50-59 years, male 3.0
GTEX-1HKZK-1626-SM-B2LWH 40-49 years, male 3.0
GTEX-1HSEH-0626-SM-GA91P 60-69 years, male 3.0
GTEX-1J8Q3-0926-SM-A96SU 60-69 years, male 3.0
GTEX-1JJ6O-0726-SM-CY8HS 60-69 years, male 3.0
GTEX-1KANB-2026-SM-DIPEY 50-59 years, male 3.0
GTEX-1KXAM-1126-SM-E9TJU 60-69 years, male 3.0
GTEX-1LSNM-1826-SM-GPRY6 50-59 years, male 3.0
GTEX-OIZH-2026-SM-3NB1M 50-59 years, male 3.0
GTEX-QV31-1026-SM-CNNOS 30-39 years, male 3.0
GTEX-SUCS-1126-SM-4DM61 70-79 years, male 3.0
GTEX-U4B1-1426-SM-4DXTX 40-49 years, male 3.0
GTEX-YJ8A-1126-SM-5IFJU 20-29 years, male 3.0
GTEX-ZYT6-2526-SM-5GZYF 30-39 years, male 3.0
GTEX-ZZ64-0926-SM-5E44L 20-29 years, male 3.0
GTEX-11NSD-0826-SM-5986S 20-29 years, male 2.9
GTEX-11ZUS-2126-SM-5N9E6 30-39 years, male 2.9
GTEX-12BJ1-1226-SM-5LUAE 60-69 years, male 2.9
GTEX-14DAR-1026-SM-73KV3 50-59 years, male 2.9
GTEX-16NFA-5014-SM-HL121 50-59 years, male 2.9
GTEX-17MFQ-1326-SM-718BX 20-29 years, male 2.9
GTEX-1AX9J-1426-SM-731BV 60-69 years, male 2.9
GTEX-1C64O-2026-SM-7IGPA 60-69 years, male 2.9
GTEX-1CAMQ-2226-SM-G8W6J 40-49 years, male 2.9
GTEX-1GZ4I-2226-SM-9WPPO 50-59 years, male 2.9
GTEX-1I6K7-2326-SM-ARZM2 40-49 years, male 2.9
GTEX-1IDJF-2126-SM-AHZ2S 20-29 years, male 2.9
GTEX-1IDJH-2426-SM-CNNQW 70-79 years, male 2.9
GTEX-1JKYR-1726-SM-C1YR6 20-29 years, male 2.9
GTEX-1K2DA-1226-SM-CGQGH 50-59 years, male 2.9
GTEX-1S5ZA-1626-SM-E9TKG 20-29 years, male 2.9
GTEX-OIZF-2026-SM-3MJH1 60-69 years, male 2.9
GTEX-Q2AI-1126-SM-48U19 40-49 years, male 2.9
GTEX-RM2N-1126-SM-48FCY 50-59 years, male 2.9
GTEX-S33H-1826-SM-4AD65 30-39 years, male 2.9
GTEX-ZT9X-1326-SM-H6Q6C 40-49 years, male 2.9
GTEX-ZUA1-2826-SM-59HLE 40-49 years, male 2.9
GTEX-111YS-1726-SM-5GIED 60-69 years, male 2.8
GTEX-11P82-1126-SM-5BC5K 20-29 years, male 2.8
GTEX-131XF-5013-SM-7EWFI 60-69 years, male 2.8
GTEX-13FXS-2826-SM-5LZYC 50-59 years, male 2.8
GTEX-15RIF-1526-SM-6M46K 20-29 years, male 2.8
GTEX-1AX9K-1526-SM-73KVP 50-59 years, male 2.8
GTEX-1F6I4-1326-SM-7P8QQ 60-69 years, male 2.8
GTEX-1IDJD-2026-SM-A96TC 30-39 years, male 2.8
GTEX-1JK1U-0926-SM-AHZ43 60-69 years, male 2.8
GTEX-1JKYN-0926-SM-AHZ47 30-39 years, male 2.8
GTEX-1KWVE-1226-SM-EV7AG 30-39 years, male 2.8
GTEX-1MJK2-0726-SM-DTXE7 50-59 years, male 2.8
GTEX-1MUQO-1526-SM-DPRYK 60-69 years, male 2.8
GTEX-1N2EE-1026-SM-EXUS8 60-69 years, male 2.8
GTEX-1OJC3-1926-SM-DPRYV 20-29 years, male 2.8
GTEX-1QP6S-0726-SM-E76QS 40-49 years, male 2.8
GTEX-1RQEC-2326-SM-F33ZO 60-69 years, male 2.8
GTEX-QLQ7-1326-SM-CNNOR 60-69 years, male 2.8
GTEX-S4Q7-1026-SM-4AD75 20-29 years, male 2.8
GTEX-U3ZM-0926-SM-4DXSW 40-49 years, male 2.8
GTEX-WH7G-1726-SM-4LVKY 40-49 years, male 2.8
GTEX-WZTO-0926-SM-4PQZ3 40-49 years, male 2.8
GTEX-ZPU1-2026-SM-57WFI 40-49 years, male 2.8
GTEX-ZVP2-0926-SM-59HK6 50-59 years, male 2.8
GTEX-111CU-1526-SM-5N9FS 50-59 years, male 2.7
GTEX-117YX-1526-SM-5H12T 50-59 years, male 2.7
GTEX-132NY-2826-SM-5P9G2 60-69 years, male 2.7
GTEX-13OW8-0426-SM-5J2NR 60-69 years, male 2.7
GTEX-145LV-1226-SM-5S2QH 50-59 years, male 2.7
GTEX-14PJ4-1226-SM-5YY9U 60-69 years, male 2.7
GTEX-1B97I-0826-SM-731DN 40-49 years, male 2.7
GTEX-1CB4F-2326-SM-7MKFO 60-69 years, male 2.7
GTEX-1GMR3-1826-SM-HAUZB 40-49 years, male 2.7
GTEX-1I1GV-1926-SM-CNPQH 60-69 years, male 2.7
GTEX-1N2DV-1226-SM-GPI8R 40-49 years, male 2.7
GTEX-1OFPY-0426-SM-HL9SZ 60-69 years, male 2.7
GTEX-1OKEX-1826-SM-DTX8J 60-69 years, male 2.7
GTEX-OXRL-2026-SM-E6CHN 50-59 years, male 2.7
GTEX-PLZ6-1126-SM-3P5ZR 30-39 years, male 2.7
GTEX-S4Z8-1126-SM-G8W6Z 60-69 years, male 2.7
GTEX-T6MN-2126-SM-EZ6LC 50-59 years, male 2.7
GTEX-WOFM-0326-SM-4M9QX 20-29 years, male 2.7
GTEX-ZVZP-1326-SM-G8W73 50-59 years, male 2.7
GTEX-11EQ9-1726-SM-5HL6U 30-39 years, male 2.6
GTEX-12WSC-2626-SM-GIN9C 50-59 years, male 2.6
GTEX-1399T-1226-SM-5P9J5 60-69 years, male 2.6
GTEX-144GO-1926-SM-G8OLL 60-69 years, male 2.6
GTEX-17HHY-2526-SM-7IGME 50-59 years, male 2.6
GTEX-1ICLY-2826-SM-HL9UL 50-59 years, male 2.6
GTEX-1JN6P-2626-SM-D4P3C 60-69 years, male 2.6
GTEX-1PDJ9-1326-SM-HL9SU 20-29 years, male 2.6
GTEX-1S831-1226-SM-EVR5D 20-29 years, male 2.6
GTEX-N7MS-2226-SM-H6Q67 60-69 years, male 2.6
GTEX-P4PQ-2026-SM-E9U4E 60-69 years, male 2.6
GTEX-QEG4-2226-SM-CXZJD 30-39 years, male 2.6
GTEX-QMRM-1426-SM-CM2U2 50-59 years, male 2.6
GTEX-U8XE-2526-SM-4E3IT 30-39 years, male 2.6
GTEX-WY7C-2026-SM-4ONCM 50-59 years, male 2.6
GTEX-XQ3S-2526-SM-4BOOG 20-29 years, male 2.6
GTEX-ZLFU-1726-SM-4WWBU 40-49 years, male 2.6
GTEX-ZT9W-1626-SM-4YCDQ 50-59 years, male 2.6
GTEX-147JS-2826-SM-5YYA7 60-69 years, male 2.5
GTEX-14A5H-2026-SM-HAV19 60-69 years, male 2.5
GTEX-15G1A-1326-SM-G8W6T 30-39 years, male 2.5
GTEX-16XZZ-2426-SM-7KULN 60-69 years, male 2.5
GTEX-1GPI7-1626-SM-7P8TN 20-29 years, male 2.5
GTEX-1H3VY-2726-SM-A96TL 50-59 years, male 2.5
GTEX-1KAFJ-1226-SM-D4P46 50-59 years, male 2.5
GTEX-1MGNQ-2226-SM-EV7A2 40-49 years, male 2.5
GTEX-1QCLY-1826-SM-DTX89 30-39 years, male 2.5
GTEX-1S3DN-1926-SM-E6CIR 50-59 years, male 2.5
GTEX-WFG8-1826-SM-4LVM4 20-29 years, male 2.5
GTEX-XPVG-2026-SM-4B65E 50-59 years, male 2.5
GTEX-ZTX8-1026-SM-5EGHD 20-29 years, male 2.5
GTEX-12ZZZ-2026-SM-5LZWJ 60-69 years, male 2.4
GTEX-132QS-1126-SM-5P9GC 60-69 years, male 2.4
GTEX-14ABY-0726-SM-5Q5DF 50-59 years, male 2.4
GTEX-1HBPI-0326-SM-A9G3N 50-59 years, male 2.4
GTEX-1I6K6-2126-SM-B2LX6 30-39 years, male 2.4
GTEX-V1D1-1926-SM-4JBGX 50-59 years, male 2.4
GTEX-XBED-1826-SM-GPI9U 60-69 years, male 2.4
GTEX-ZTTD-2726-SM-57WFA 50-59 years, male 2.4
GTEX-12C56-1326-SM-5FQSV 20-29 years, male 2.3
GTEX-13FTW-1226-SM-5LZZ1 40-49 years, male 2.3
GTEX-148VJ-1826-SM-5Q5DV 70-79 years, male 2.3
GTEX-14BIL-2126-SM-73KW3 50-59 years, male 2.3
GTEX-16GPK-2826-SM-6LPJ6 60-69 years, male 2.3
GTEX-1EU9M-1526-SM-79OLI 60-69 years, male 2.3
GTEX-1R9K5-2426-SM-F33ZN 50-59 years, male 2.3
GTEX-RWSA-2026-SM-47JX8 40-49 years, male 2.3
GTEX-U412-2026-SM-4DXSI 60-69 years, male 2.3
GTEX-YB5E-1826-SM-5IFI4 40-49 years, male 2.3
GTEX-ZEX8-2026-SM-4WKF3 50-59 years, male 2.3
GTEX-139T6-1526-SM-5P9G6 50-59 years, male 2.2
GTEX-13O61-1726-SM-5KM46 60-69 years, male 2.2
GTEX-1CB4E-1726-SM-7IGMS 60-69 years, male 2.2
GTEX-1GF9V-0726-SM-9KNU4 60-69 years, male 2.2
GTEX-1GL5R-1226-SM-7MXUY 50-59 years, male 2.2
GTEX-1GN73-1626-SM-9WYTS 60-69 years, male 2.2
GTEX-1J1R8-0726-SM-GA8ZS 40-49 years, male 2.2
GTEX-S95S-1026-SM-4B64M 60-69 years, male 2.2
GTEX-11O72-2726-SM-5HL6K 40-49 years, male 2.1
GTEX-14BMV-2326-SM-5RQJ4 50-59 years, male 2.1
GTEX-14JG1-2426-SM-H7OF7 40-49 years, male 2.1
GTEX-1JMLX-1226-SM-CY8HW 50-59 years, male 2.1
GTEX-1PFEY-0626-SM-E76PH 30-39 years, male 2.1
GTEX-ZDYS-1226-SM-5IJF3 50-59 years, male 2.1
GTEX-11TUW-2126-SM-5GU7B 60-69 years, male 2.0
GTEX-14E6C-2826-SM-664NC 40-49 years, male 2.0
GTEX-14ICK-1826-SM-69LOP 40-49 years, male 2.0
GTEX-16YQH-2326-SM-7EWDS 30-39 years, male 2.0
GTEX-1LSNL-2326-SM-DHXKN 50-59 years, male 2.0
GTEX-1PPGY-0126-SM-F2I3L 60-69 years, male 2.0
GTEX-1R7EU-0126-SM-EVR4F 60-69 years, male 2.0
GTEX-SIU8-2226-SM-EAZ2T 50-59 years, male 2.0
GTEX-XMK1-1026-SM-4B65H 40-49 years, male 2.0
GTEX-1EH9U-1826-SM-7P8QL 60-69 years, male 1.9
GTEX-1I1GP-2026-SM-CE6SZ 50-59 years, male 1.9
GTEX-1LG7Z-0826-SM-CXKYN 30-39 years, male 1.9
GTEX-S3XE-1326-SM-4AD4H 50-59 years, male 1.9
GTEX-1EKGG-2826-SM-7MGXA 60-69 years, male 1.8
GTEX-1GF9W-2026-SM-7MXVO 60-69 years, male 1.8
GTEX-1HSKV-1726-SM-C1YRO 60-69 years, male 1.8
GTEX-1O97I-2326-SM-F3K4D 60-69 years, male 1.8
GTEX-REY6-2126-SM-48FD9 60-69 years, male 1.8
GTEX-1GN2E-2026-SM-9JGGG 60-69 years, male 1.7
GTEX-117YW-1426-SM-5EGGO 50-59 years, male 1.6
GTEX-14753-2326-SM-GJ3PV 60-69 years, male 1.6
GTEX-17HII-2526-SM-7LT8C 50-59 years, male 1.6
GTEX-13PVQ-2626-SM-HAV3E 50-59 years, male 1.5
GTEX-1BAJH-0626-SM-7P8OY 70-79 years, male 1.5
GTEX-1C6VQ-2426-SM-7EWEU 50-59 years, male 1.5
GTEX-RVPV-2526-SM-EYYVL 60-69 years, male 1.5
GTEX-145LU-2126-SM-5Q5E9 50-59 years, male 1.4
GTEX-SJXC-2026-SM-4DM6N 60-69 years, male 1.4
GTEX-1E1VI-2726-SM-7MXVH 50-59 years, male 1.3
Show allShow less

PROSTATE - FANTOM5 CAGEi

RNA expression in human tissues obtained through Cap Analysis of Gene Expression (CAGE) generated by the FANTOM5 project are reported as Scaled Tags Per Million.

Max subtype Scaled Tags Per Millioni

Max subtype Scaled Tags Per Million is the value for the subtype with the largest average Scaled Tags Per Million across the subtype samples.

9.9
FANTOM5 sample id Sample description Scaled Tags Per Million
Prostate
Scaled Tags Per Million: 9.9
FF:10022-101D4 73,79,93 years, male 9.9

Contact

  • NEWS ARTICLES
  • PRESS ROOM

The Project

  • INTRODUCTION
  • ORGANIZATION
  • PUBLICATIONS

The Human Protein Atlas

  • DOWNLOADABLE DATA
  • LICENCE & CITATION
  • HELP & FAQ
KAW logo The Human Protein Atlas project is funded
by the Knut & Alice Wallenberg Foundation.

Facebook logo X logo Bluesky logo Linkedin logo RSS feed logo contact@proteinatlas.org
GCBR logo Elixir core logo SciLifeLab logo Uppsala university logo KI logo KTH logo