We use cookies to enhance the usability of our website. If you continue, we'll assume that you are happy to receive all cookies. More information. Don't show this again.
PRKCD
HPA
RESOURCES
  • TISSUE
  • BRAIN
  • SINGLE CELL
  • SUBCELLULAR
  • CANCER
  • BLOOD
  • CELL LINE
  • STRUCTURE
  • INTERACTION
ABOUT
  • INTRODUCTION
  • HISTORY
  • ORGANIZATION
  • PUBLICATIONS
  • ACKNOWLEDGMENTS
  • CONTACT
NEWS
  • NEWS ARTICLES
  • PRESS ROOM
LEARN
  • DICTIONARY
  • PROTEIN CLASSES
  • PROTEIN EVIDENCE
  • METHODS
  • EDUCATIONAL VIDEOS
DATA
  • DOWNLOADABLE DATA
  • PUBLICATION DATA
  • RELEASE HISTORY
HELP
  • HELP & FAQ
  • ANTIBODY AVAILABILITY
  • DISCLAIMER
  • PRIVACY STATEMENT
  • LICENCE & CITATION
Fields »
Search result

Field
Term
Gene name
Class
Subclass
Category
Keyword
Chromosome
External id
Tissue
Cell type
Expression
Antibody panel
Tissue
Main location
Patient ID
Annotation
Tissue
Category
Tau score
Tissue
Category
Tau score
Cluster
Reliability
Brain region
Category
Tau score
Brain region
Category
Tau score
Brain region
Category
Tau score
Cluster
Reliability
Cell type
Category
Tau score
Cell type group
Category
Tau score
Single cell
Category
Tau score
Single cell
Category
Tau score
Cell type
Category
Tau score
Cell type
Category
Tau score
Cell lineage
Category
Tau score
Annotation
Annotation
Annotation
Tissue
Cell type
Enrichment
Cluster
Cluster
Location
Searches
Location
Cell line
Class
Type
Phase
Reliability
Cancer
Prognosis
Cancer
Category
Cancer
Category
Tau score
Cluster
Variants
Interacting gene (ensg_id)
Type
Number of interactions
Pathway
ipTM
Category
Category
Category
Category
Validation
Validation
Validation
Validation
Antibodies
Data type
Column


  • SUMMARY

  • TISSUE

  • BRAIN

  • SINGLE CELL

  • SUBCELL

  • CANCER

  • BLOOD

  • CELL LINE

  • STRUCTURE

  • INTERACTION

  • PRKCD
TISSUE PRIMARY DATA SKIN Show tissue menu
ADIPOSE TISSUE ADRENAL GLAND AMYGDALA APPENDIX BASAL GANGLIA BLOOD VESSEL BONE MARROW BREAST BRONCHUS CEREBELLUM CEREBRAL CORTEX CERVIX CHOROID PLEXUS COLON
DUODENUM ENDOMETRIUM EPIDIDYMIS ESOPHAGUS FALLOPIAN TUBE GALLBLADDER HEART MUSCLE HIPPOCAMPAL FORMATION HYPOTHALAMUS KIDNEY LIVER LUNG LYMPH NODE MIDBRAIN
NASOPHARYNX ORAL MUCOSA OVARY PANCREAS PARATHYROID GLAND PITUITARY GLAND PLACENTA PROSTATE RECTUM RETINA SALIVARY GLAND SEMINAL VESICLE SKELETAL MUSCLE SKIN
SMALL INTESTINE SMOOTH MUSCLE SOFT TISSUE SPINAL CORD SPLEEN STOMACH TESTIS THYMUS THYROID GLAND TONGUE TONSIL URINARY BLADDER VAGINA
ANTIBODIES
AND
VALIDATION
Dictionary
Skin
Tissue proteome
Skin
Tissue methods
SKIN - Expression summary
Protein expression
Skini

On the top, protein expression in current human tissue, based on all annotated cell types, is reported with the units not detected (n), low (l), medium (m) and high (h). Underneath, protein expression in each annotated cell type are reported using the same units. Protein expression data is based on knowledge-based annotation. For genes where more than one antibody has been used, a collective score is set. If knowledge-based annotation could not be performed for a gene, no data is displayed here. View antibody staining data further down this page.

h
m
l
n
Epidermal cells: Low
Fibroblasts: Low
Keratinocytes: Low
Langerhans: Low
Melanocytes: Low
RNA expressioni

A summary of mRNA expression data available for current tissue based on several datasets. The mRNA expression levels in human tissues are based on RNA-seq data generated by the Human Protein Atlas HPA, Genotype-Tissue Expression GTEx portal and CAGE data generated by the FANTOM5 consortium. Consensus normalized expression levels for human tissues was created by combining the data from HPA and GTEx datasets. The mRNA expression levels in pig brain are based on RNA-seq data generated by the Human Protein Atlas, and for mouse brain HPA data and in situ hybridization generated by the Allen brain atlas dataset are reported.

Scroll down to view mRNA expression data in more detail.

Consensus:31.5 nTPM
HPA:22.1 nTPM
GTEx:31.5 nTPM
SKIN - SINGLE CELL RNA EXPRESSION
Explore single cell type data

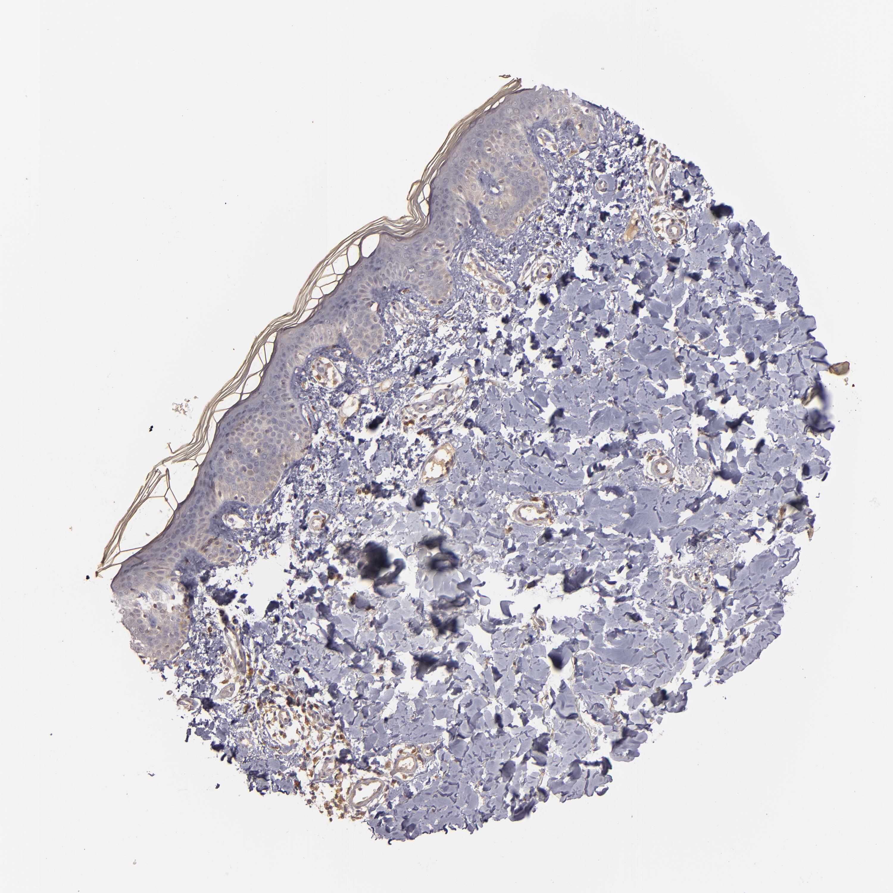
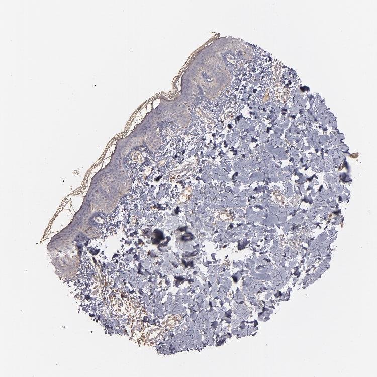
SKIN 1 - Antibody stainingi

Antibody staining in the annotated cell types in the current human tissue is reported as not detected, low, medium, or high, based on conventional immunohistochemistry profiling in selected tissues. This score is based on the combination of the staining intensity and fraction of stained cells. Each image is clickable and will lead to virtual microscopy that enables deeper exploration of all samples and also displays staining intensity scores, fraction scores and subcellular localization as well as patient and tissue information for each sample.

Ascending and descending describe two types of gradient, based on difference in staining intensity between enterocytes in crypts and apical enterocytes.

Ascending - the staining intensity is stronger in apical enterocytes (towards the lumen) compared to enterocytes in the crypts (gland based)

Descending - the staining is weaker in apical enterocytes compared to enterocytes in crypts

Antibody HPA001863Antibody HPA001890Antibody CAB010469Antibody CAB013225
Langerhans Not detectedLowLowMedium
Fibroblasts Not detectedNot detectedMediumMedium
Keratinocytes LowLowMediumMedium
Melanocytes LowNot detectedMediumMedium






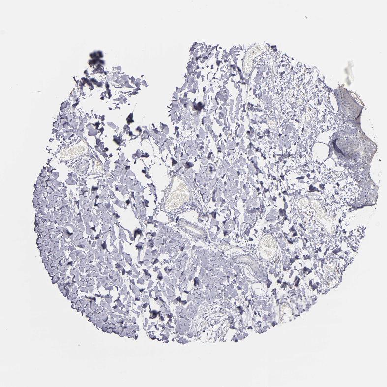
SKIN 2 - Antibody stainingi

Antibody staining in the annotated cell types in the current human tissue is reported as not detected, low, medium, or high, based on conventional immunohistochemistry profiling in selected tissues. This score is based on the combination of the staining intensity and fraction of stained cells. Each image is clickable and will lead to virtual microscopy that enables deeper exploration of all samples and also displays staining intensity scores, fraction scores and subcellular localization as well as patient and tissue information for each sample.

Ascending and descending describe two types of gradient, based on difference in staining intensity between enterocytes in crypts and apical enterocytes.

Ascending - the staining intensity is stronger in apical enterocytes (towards the lumen) compared to enterocytes in the crypts (gland based)

Descending - the staining is weaker in apical enterocytes compared to enterocytes in crypts

Antibody HPA001863Antibody HPA001890Antibody CAB010469Antibody CAB013225
Epidermal cells Not detectedNot detectedLowMedium
    
    
    






SKIN - TISSUE (MS)i

The MS-based protein data details section shows detailed information about the individual samples used for the relative protein abundance measurements.

Intensity values provides a relative protein abundance comparable between different genes and samples. All samples comes from one female donor. Median detection value represents the tissue for specificity and distribution categories. Protein detection is defined as a non-missing intensity value, and protein values are set to missing for a tissue if more than half of its replicates lacked a measurement for that protein.

Read more
Median intensity 608426
Replicate Intensity
Skin_01
608426
Skin_02
537704
Skin_03
3674795

SKIN - HPA RNA-seqi

The RNA-seq details section shows detailed information about the individual samples used for the transcript profiling and results of the RNA-seq analysis.

Information about each individual sample is listed below, including gender, age, a tissue section image and estimated fractions of cell types. nTPM (normalized transcripts per million) values give a quantification of the gene abundance which is comparable between different genes and samples.

Average nTPMi

Max subtype nTPM is the value for the subtype with the largest average nTPM across the subtype samples.

22.1
overview
Female, age 34
Skin sample 225
nTPM: 22.6
Cell types%
Keratinocytes:
60

Other cell types:
40

overview
Female, age 30
Skin sample 226
nTPM: 25
Cell types%
Keratinocytes:
55

Other cell types:
45

N/A
Male, age 57
Skin sample 227
nTPM: 18.7

SKIN - GTEx RNA-seqi

RNA-Seq data generated by the Genotype-Tissue Expression (GTEx) project from human tissues is reported as mean nTPM. More information can be found on the GTEx portal.

Distribution across the dataset is visualized with box plots, shown as median and 25th and 75th percentiles. Points are displayed as outliers if they are above or below 1.5 times the interquartile range. nTPM values of the individual samples are presented next to the box plot.

Max subtype nTPMi

Max subtype nTPM is the value for the subtype with the largest average nTPM across the subtype samples.

31.5
GTEx sample id Sample description nTPM
Skin - Not Sun Exposed (Suprapubic)
Average nTPM: 31.5
Samples: 651

Max nTPM: 68.3
Min nTPM: 9.4
Std nTPM: 9.9
Median nTPM: 30.8
GTEX-1QP2A-1726-SM-E76QC 50-59 years, male 68.3
GTEX-ZTX8-1326-SM-4YCEL 20-29 years, male 66.8
GTEX-WHSB-1326-SM-3LK6W 50-59 years, male 66.5
GTEX-1N2DV-1526-SM-DTXEP 40-49 years, male 66.2
GTEX-1PFEY-0426-SM-GQ1EL 30-39 years, male 65.8
GTEX-1OJC3-1226-SM-DTXER 20-29 years, male 65.3
GTEX-13PDP-0726-SM-5L3HP 60-69 years, male 64.9
GTEX-WFG7-2026-SM-5SI7P 20-29 years, male 64.4
GTEX-1F6RS-2026-SM-7RHHC 60-69 years, female 62.9
GTEX-1PBJJ-1026-SM-E76OS 30-39 years, male 62.7
GTEX-14C5O-0326-SM-5ZZUX 60-69 years, male 62.6
GTEX-13OVK-1426-SM-6PAN7 40-49 years, male 62.4
GTEX-1MJK3-0726-SM-E6CJC 20-29 years, male 60.0
GTEX-1NV5F-0626-SM-DTXEG 60-69 years, female 59.7
GTEX-1HCU7-0726-SM-A9SL1 50-59 years, male 59.0
GTEX-16AAH-0626-SM-793C9 50-59 years, male 57.4
GTEX-11WQC-1826-SM-5GU59 60-69 years, male 56.5
GTEX-13O61-1426-SM-5KM3D 60-69 years, male 56.4
GTEX-18A67-1626-SM-7LT9T 50-59 years, male 55.7
GTEX-14ICL-1626-SM-5YYAO 30-39 years, male 54.6
GTEX-1QPFJ-1926-SM-EVYBD 30-39 years, female 54.1
GTEX-16NFA-1526-SM-7KULS 50-59 years, male 53.9
GTEX-1I1GT-1026-SM-ARZLV 60-69 years, female 53.7
GTEX-1LH75-0126-SM-G8OMB 50-59 years, female 53.2
GTEX-13IVO-0726-SM-5LZYV 70-79 years, male 51.8
GTEX-15EO6-2426-SM-6PALZ 50-59 years, male 51.5
GTEX-1JMPY-0226-SM-CKZOK 30-39 years, male 51.4
GTEX-1GZ4H-0526-SM-9KNU9 50-59 years, female 51.0
GTEX-1PIEJ-1126-SM-GPRY4 20-29 years, female 50.5
GTEX-111CU-1126-SM-5EGIM 50-59 years, male 50.2
GTEX-1C2JI-1026-SM-73KY1 50-59 years, male 49.6
GTEX-12WSJ-1126-SM-5LZVJ 40-49 years, female 49.1
GTEX-1HGF4-0126-SM-CNPPX 60-69 years, male 48.7
GTEX-18QFQ-1826-SM-72D52 30-39 years, male 48.1
GTEX-15UF6-1926-SM-7KUDV 70-79 years, female 48.0
GTEX-1ICLZ-0326-SM-ARL82 60-69 years, male 48.0
GTEX-XBEW-1126-SM-4QARW 40-49 years, male 47.9
GTEX-YJ8A-2026-SM-GPRWE 20-29 years, male 47.7
GTEX-ZP4G-1426-SM-4WWCL 20-29 years, female 47.4
GTEX-1RMOY-1326-SM-E9TIH 50-59 years, male 47.2
GTEX-12WSK-2126-SM-5CVNC 40-49 years, female 47.0
GTEX-17F97-2626-SM-7IGM5 50-59 years, male 47.0
GTEX-1HBPN-0126-SM-CGQEF 50-59 years, male 47.0
GTEX-11DYG-1526-SM-5A5JS 60-69 years, male 46.9
GTEX-13PL6-1126-SM-5L3IE 40-49 years, female 46.9
GTEX-1R7EU-1626-SM-DTXG3 60-69 years, male 46.7
GTEX-1B8KE-1126-SM-7EPHI 50-59 years, male 46.5
GTEX-14PJ4-0226-SM-5YY92 60-69 years, male 46.4
GTEX-1H2FU-0926-SM-9WPPT 60-69 years, female 46.4
GTEX-139UW-0326-SM-5J1ML 60-69 years, male 46.1
GTEX-1MJIX-1426-SM-GPRYJ 40-49 years, male 46.0
GTEX-17F98-1326-SM-7DUEP 40-49 years, female 45.8
GTEX-1PPH8-0126-SM-EWRN8 20-29 years, male 45.5
GTEX-ZLV1-1526-SM-DO91J 60-69 years, female 45.5
GTEX-17F9Y-0126-SM-79OKX 70-79 years, female 45.4
GTEX-1F52S-2926-SM-7MKGA 60-69 years, female 45.4
GTEX-16A39-1726-SM-H6Q6U 30-39 years, female 45.2
GTEX-1NSGN-0726-SM-DTXEF 50-59 years, male 45.2
GTEX-1192X-2726-SM-5N9DN 50-59 years, male 45.1
GTEX-1S83E-1326-SM-E6CJM 40-49 years, male 45.1
GTEX-13NYS-0626-SM-5L3F1 60-69 years, male 44.8
GTEX-1HBPM-0726-SM-9YFL7 60-69 years, female 44.7
GTEX-1QP28-1126-SM-EVYC4 50-59 years, female 44.6
GTEX-15SKB-2826-SM-6PAMH 60-69 years, male 44.5
GTEX-1HSMQ-2626-SM-A9SML 50-59 years, male 44.5
GTEX-12ZZX-2426-SM-5GCOE 40-49 years, female 44.0
GTEX-14LLW-2626-SM-62LDZ 70-79 years, female 43.9
GTEX-14PJ5-1526-SM-6LLIL 60-69 years, female 43.9
GTEX-WI4N-2726-SM-3LK7Y 40-49 years, female 43.6
GTEX-1KAFJ-0126-SM-DIPEK 50-59 years, male 43.5
GTEX-YECK-0326-SM-4W1YS 60-69 years, male 43.5
GTEX-1JJEA-1826-SM-ARU8P 60-69 years, male 43.4
GTEX-1GMRU-2126-SM-7P8RA 50-59 years, male 43.3
GTEX-1S82P-2126-SM-E6CI5 60-69 years, female 43.2
GTEX-131XF-2626-SM-5EQ6K 60-69 years, male 43.0
GTEX-ZT9X-1526-SM-5DUXD 40-49 years, male 42.9
GTEX-15CHR-1126-SM-7EWF4 50-59 years, male 42.8
GTEX-14PJN-1826-SM-6AJ98 30-39 years, male 42.7
GTEX-111YS-1526-SM-5GZYW 60-69 years, male 42.6
GTEX-1399S-0126-SM-5IJCF 30-39 years, female 42.6
GTEX-17HHE-1326-SM-7EWDZ 50-59 years, male 42.5
GTEX-1R46S-2426-SM-E76QA 60-69 years, female 42.5
GTEX-11P7K-1126-SM-5HL4L 30-39 years, male 42.4
GTEX-13G51-1826-SM-5KLZH 60-69 years, male 42.4
GTEX-13QJC-0126-SM-5ZZWJ 60-69 years, female 42.0
GTEX-15ER7-0626-SM-6PANF 20-29 years, female 41.8
GTEX-1R9PM-1926-SM-EVR3O 20-29 years, male 41.7
GTEX-ZF29-0926-SM-4WKFZ 60-69 years, female 41.6
GTEX-Z93S-1626-SM-5CVMB 50-59 years, male 41.5
GTEX-YFCO-1226-SM-5LUAT 40-49 years, male 41.4
GTEX-1OFPY-0526-SM-GNIPK 60-69 years, male 41.3
GTEX-WHWD-1826-SM-3LK6I 50-59 years, male 41.3
GTEX-1QCLY-0226-SM-EWRNH 30-39 years, male 41.2
GTEX-13FHO-0426-SM-5L3F5 60-69 years, male 41.0
GTEX-1LC47-0126-SM-GNIP7 60-69 years, male 41.0
GTEX-UPJH-0226-SM-3GADV 50-59 years, male 40.9
GTEX-11P81-2226-SM-5PNYI 30-39 years, female 40.8
GTEX-17F9E-2326-SM-79OKD 50-59 years, male 40.8
GTEX-1KXAM-1626-SM-D3LAD 60-69 years, male 40.8
GTEX-1GN73-0726-SM-7P8TJ 60-69 years, male 40.6
GTEX-1I1HK-2326-SM-CKZOH 60-69 years, male 40.6
GTEX-1MA7W-1326-SM-HK7AR 20-29 years, female 40.6
GTEX-13NZ8-1226-SM-5KM4A 60-69 years, female 40.5
GTEX-ZPCL-1126-SM-4WWFE 60-69 years, female 40.5
GTEX-1R9JW-1126-SM-F648D 30-39 years, female 40.4
GTEX-ZVT4-2426-SM-5GIEI 50-59 years, female 40.3
GTEX-1269C-0126-SM-5EQ5L 60-69 years, female 40.2
GTEX-14PJ6-2626-SM-6EU2T 60-69 years, female 40.2
GTEX-1NHNU-2026-SM-GOQYO 50-59 years, male 40.2
GTEX-14PJ3-1126-SM-5ZZVX 50-59 years, male 40.1
GTEX-147GR-2426-SM-5ZZWQ 60-69 years, male 40.0
GTEX-111VG-1626-SM-5EGIO 60-69 years, male 39.9
GTEX-1MA7X-1726-SM-GNINI 60-69 years, male 39.8
GTEX-131XG-0326-SM-5L3DX 50-59 years, female 39.7
GTEX-13O3O-2326-SM-5IJD6 60-69 years, female 39.7
GTEX-1R9K4-2826-SM-DTX8F 60-69 years, male 39.7
GTEX-1B8SF-0126-SM-7DUG3 60-69 years, male 39.6
GTEX-YEC3-1326-SM-DO92X 50-59 years, male 39.6
GTEX-ZAB4-2126-SM-5HL8U 40-49 years, male 39.5
GTEX-13OW6-2726-SM-5J2OE 50-59 years, male 39.4
GTEX-1H23P-0626-SM-9WG6T 60-69 years, male 39.4
GTEX-14PHX-2226-SM-6EU2P 50-59 years, male 39.2
GTEX-17HHY-0426-SM-7DHLC 50-59 years, male 39.2
GTEX-1JK1U-0226-SM-ARZMX 60-69 years, male 39.2
GTEX-14C39-1726-SM-5RQIL 40-49 years, male 39.1
GTEX-XMD1-2426-SM-GNTAM 60-69 years, male 39.1
GTEX-1C6VQ-1226-SM-73KYD 50-59 years, male 39.0
GTEX-1GPI6-1926-SM-9KNV7 60-69 years, male 38.9
GTEX-1N2EF-0126-SM-G8OMM 60-69 years, male 38.8
GTEX-1IKOE-1426-SM-CE6T7 30-39 years, female 38.7
GTEX-11GS4-0226-SM-5HL77 60-69 years, male 38.6
GTEX-XQ8I-0926-SM-4BOOF 50-59 years, male 38.6
GTEX-14ICK-2226-SM-GQ1DA 40-49 years, male 38.5
GTEX-15RJE-2826-SM-7KUM9 40-49 years, male 38.5
GTEX-14753-0726-SM-5QGQO 60-69 years, male 38.4
GTEX-1LGRB-0926-SM-COH3K 50-59 years, female 38.4
GTEX-ZC5H-1526-SM-5HL9Y 40-49 years, female 38.4
GTEX-13FTX-1526-SM-5K7VJ 20-29 years, female 38.2
GTEX-13OVH-0526-SM-5L3E6 70-79 years, male 38.2
GTEX-18D9A-1426-SM-7LT8M 30-39 years, female 38.2
GTEX-X585-2426-SM-46MW2 50-59 years, male 38.2
GTEX-13OW5-2326-SM-5L3HO 60-69 years, male 38.1
GTEX-1S82Z-1626-SM-G8OLC 30-39 years, female 38.1
GTEX-11ZU8-0126-SM-5EQ58 60-69 years, male 37.9
GTEX-1399U-1126-SM-5L3DB 50-59 years, female 37.9
GTEX-1LVAM-0726-SM-E6CIL 50-59 years, female 37.9
GTEX-139D8-1126-SM-5LU8W 30-39 years, female 37.8
GTEX-1HT8W-0626-SM-A9G2H 30-39 years, male 37.8
GTEX-139T6-1126-SM-HPAGP 50-59 years, male 37.7
GTEX-13FLV-0126-SM-5K7WT 50-59 years, male 37.7
GTEX-1HR9M-2226-SM-CNPPY 60-69 years, male 37.5
GTEX-1IKJJ-2226-SM-CJI4C 60-69 years, male 37.5
GTEX-XAJ8-1426-SM-47JYM 40-49 years, male 37.5
GTEX-ZXG5-2126-SM-59HKD 60-69 years, male 37.5
GTEX-1IDJU-1726-SM-CMKHU 60-69 years, female 37.4
GTEX-WHSE-0126-SM-3NMBT 20-29 years, male 37.4
GTEX-133LE-2326-SM-5K7W3 20-29 years, female 37.3
GTEX-1J8Q2-2626-SM-ACKWQ 60-69 years, male 37.3
GTEX-11EQ8-0926-SM-5H12V 60-69 years, male 37.1
GTEX-12ZZZ-0726-SM-5GCNZ 60-69 years, male 37.1
GTEX-14PII-0726-SM-6EU2B 60-69 years, male 37.0
GTEX-1F48J-0726-SM-7RHGS 50-59 years, female 37.0
GTEX-ZLFU-1826-SM-4WWBV 40-49 years, male 37.0
GTEX-1MJK2-1026-SM-GNIPF 50-59 years, male 36.9
GTEX-1S5ZU-2526-SM-E6CIF 20-29 years, female 36.9
GTEX-14BIN-1126-SM-5RQJZ 50-59 years, female 36.8
GTEX-18A66-0626-SM-7LT8Z 60-69 years, male 36.8
GTEX-11O72-0626-SM-5PNYE 40-49 years, male 36.6
GTEX-1GN1U-0626-SM-9MQL9 50-59 years, female 36.5
GTEX-ZVZP-1226-SM-5GID7 50-59 years, male 36.5
GTEX-11ZTT-2126-SM-5CVLO 60-69 years, female 36.4
GTEX-15CHQ-0326-SM-69LQD 60-69 years, male 36.4
GTEX-1IE54-1126-SM-A9G2Z 40-49 years, female 36.4
GTEX-11PRG-0726-SM-5EGL1 50-59 years, male 36.3
GTEX-YB5K-2026-SM-4VDT3 40-49 years, female 36.3
GTEX-1PIIG-2326-SM-DTXFR 30-39 years, male 36.2
GTEX-145MH-2826-SM-5RQJF 50-59 years, male 35.9
GTEX-17HII-1426-SM-7EPGG 50-59 years, male 35.8
GTEX-17KNJ-2126-SM-718AM 50-59 years, male 35.8
GTEX-13VXT-1926-SM-5K7UO 20-29 years, female 35.7
GTEX-148VJ-0626-SM-5LUAW 70-79 years, male 35.7
GTEX-1H11D-1826-SM-9QEHM 40-49 years, male 35.7
GTEX-ZDTT-0426-SM-4WKFL 60-69 years, male 35.7
GTEX-1S82U-1026-SM-E6CJK 30-39 years, female 35.6
GTEX-1GF9V-0826-SM-9KNUV 60-69 years, male 35.5
GTEX-ZZ64-1026-SM-5GZXG 20-29 years, male 35.5
GTEX-1HCVE-2726-SM-CL54F 50-59 years, male 35.4
GTEX-1I4MK-0126-SM-CY8G6 50-59 years, female 35.4
GTEX-1RAZS-2526-SM-E6CHT 50-59 years, male 35.4
GTEX-1S5VW-0626-SM-G8OML 60-69 years, male 35.4
GTEX-1HKZK-0726-SM-ACKW2 40-49 years, male 35.3
GTEX-17MFQ-1526-SM-7KFRR 20-29 years, male 35.2
GTEX-1I1GV-0626-SM-ARL7M 60-69 years, male 35.2
GTEX-ZA64-1026-SM-5HL8R 20-29 years, male 35.2
GTEX-14B4R-1326-SM-5Q5EZ 30-39 years, male 35.1
GTEX-16BQI-1326-SM-6M486 30-39 years, female 35.1
GTEX-1A8G6-2726-SM-731AR 60-69 years, male 35.1
GTEX-1I1GP-1326-SM-A9G28 50-59 years, male 35.1
GTEX-1RQEC-1226-SM-GNINB 60-69 years, male 35.1
GTEX-1C64N-2626-SM-7PC2N 50-59 years, male 35.0
GTEX-1J1OQ-0126-SM-D4P2N 40-49 years, female 34.9
GTEX-1MCYP-0526-SM-E9U6Q 20-29 years, female 34.9
GTEX-1399Q-2326-SM-5KM2X 40-49 years, male 34.8
GTEX-139YR-1026-SM-5LZYN 50-59 years, male 34.8
GTEX-1PWST-0126-SM-G8LMD 70-79 years, male 34.8
GTEX-15RIE-1926-SM-7KUKJ 60-69 years, male 34.7
GTEX-11WQK-1026-SM-5EQLX 50-59 years, male 34.6
GTEX-16NPV-0326-SM-GQ1E4 50-59 years, female 34.6
GTEX-1JKYR-0626-SM-ARL8R 20-29 years, male 34.6
GTEX-ZY6K-1426-SM-5GZX2 50-59 years, male 34.6
GTEX-13SLW-0626-SM-5Q5ER 70-79 years, male 34.5
GTEX-14PKU-0126-SM-6LLHV 40-49 years, female 34.5
GTEX-1ICLY-0826-SM-CMKG1 50-59 years, male 34.5
GTEX-144GL-0626-SM-5LU4D 50-59 years, male 34.4
GTEX-1GPI7-1826-SM-9KNU1 20-29 years, male 34.4
GTEX-1NV8Z-0726-SM-GPIAH 60-69 years, male 34.4
GTEX-1QW4Y-1126-SM-DTXE3 30-39 years, male 34.3
GTEX-147F3-1726-SM-5MR7X 50-59 years, female 34.2
GTEX-1CAMQ-1326-SM-7P8RV 40-49 years, male 34.2
GTEX-1GF9X-1326-SM-7PC2Y 40-49 years, female 34.2
GTEX-11DXX-2126-SM-5PNYR 60-69 years, female 34.1
GTEX-1CB4E-0926-SM-7EPHT 60-69 years, male 34.1
GTEX-1PPGY-1626-SM-EVYBL 60-69 years, male 34.1
GTEX-139TU-0726-SM-5L3EK 60-69 years, male 34.0
GTEX-14LZ3-0126-SM-69LPM 60-69 years, female 34.0
GTEX-1GF9W-1426-SM-7PBYM 60-69 years, male 34.0
GTEX-13PVQ-0626-SM-5LU47 50-59 years, male 33.9
GTEX-11DZ1-2426-SM-5GZZX 50-59 years, male 33.8
GTEX-11LCK-2226-SM-5HL4Q 30-39 years, male 33.8
GTEX-1PDJ9-1226-SM-EXUSX 20-29 years, male 33.8
GTEX-12ZZY-0726-SM-5EQ66 60-69 years, male 33.7
GTEX-1HCU6-2526-SM-ADEHL 60-69 years, female 33.7
GTEX-1J8Q3-0526-SM-ARL8U 60-69 years, male 33.5
GTEX-11VI4-1126-SM-5EQMD 40-49 years, female 33.2
GTEX-1399T-0326-SM-GI4XB 60-69 years, male 33.2
GTEX-1F5PK-2226-SM-7SB6N 50-59 years, male 33.2
GTEX-13OW7-0426-SM-5K7VK 50-59 years, male 33.1
GTEX-WHPG-2626-SM-3NMBR 50-59 years, male 33.1
GTEX-146FQ-2126-SM-5RQHU 30-39 years, male 33.0
GTEX-15RJ7-2126-SM-6PAMD 40-49 years, male 33.0
GTEX-1K2DU-1226-SM-CYPT4 20-29 years, male 33.0
GTEX-ZYY3-2926-SM-5GIEB 60-69 years, female 32.9
GTEX-11UD2-2526-SM-5CVNU 50-59 years, male 32.8
GTEX-1C64O-1326-SM-7MGWR 60-69 years, male 32.8
GTEX-WY7C-2126-SM-3NB2R 50-59 years, male 32.8
GTEX-ZE9C-2526-SM-5IJDR 60-69 years, male 32.8
GTEX-13YAN-0226-SM-5TDC6 60-69 years, male 32.7
GTEX-1JMLX-0626-SM-ARL8T 50-59 years, male 32.7
GTEX-1PIGE-1826-SM-E8VOU 20-29 years, male 32.7
GTEX-12WSH-1526-SM-5BC5W 50-59 years, male 32.6
GTEX-1E2YA-2126-SM-7MXUO 50-59 years, male 32.6
GTEX-1GZ4I-2626-SM-9KNU3 50-59 years, male 32.6
GTEX-1OJC4-2726-SM-E76PJ 50-59 years, female 32.6
GTEX-ZYFC-0426-SM-5GICQ 50-59 years, male 32.6
GTEX-1J8EW-2726-SM-CY8HR 60-69 years, female 32.5
GTEX-1RAZQ-1326-SM-E9TK6 30-39 years, male 32.5
GTEX-X5EB-1926-SM-4E3IW 40-49 years, male 32.5
GTEX-ZDTS-0826-SM-4WKHL 60-69 years, male 32.5
GTEX-13NYB-0126-SM-5J1MD 40-49 years, male 32.4
GTEX-1AMEY-0826-SM-72D65 30-39 years, female 32.4
GTEX-1JMQJ-0826-SM-CNPP7 50-59 years, male 32.4
GTEX-11P82-1426-SM-DTXFY 20-29 years, male 32.3
GTEX-16MTA-0926-SM-6M47Z 50-59 years, male 32.3
GTEX-1EU9M-1426-SM-793AI 60-69 years, male 32.3
GTEX-1GN2E-0226-SM-9WG6K 60-69 years, male 32.3
GTEX-1QP29-1826-SM-DTX9S 50-59 years, male 32.3
GTEX-ZTTD-2826-SM-4YCFA 50-59 years, male 32.3
GTEX-11EQ9-1626-SM-5PNY8 30-39 years, male 32.2
GTEX-147F4-0726-SM-5TDDD 50-59 years, male 32.2
GTEX-1BAJH-2426-SM-7IGP8 70-79 years, male 32.2
GTEX-1R9K5-1926-SM-G8LKH 50-59 years, male 32.2
GTEX-14JFF-0626-SM-G8W77 60-69 years, male 32.1
GTEX-1CB4F-1026-SM-7DUH1 60-69 years, male 32.1
GTEX-1CB4J-1326-SM-7P8RX 60-69 years, male 32.1
GTEX-1EKGG-0626-SM-7DUGJ 60-69 years, male 32.1
GTEX-1A8G7-1326-SM-73KVM 60-69 years, male 32.0
GTEX-1MCC2-1826-SM-DIPEX 30-39 years, female 32.0
GTEX-1MCQQ-2026-SM-G8LMK 60-69 years, male 32.0
GTEX-13FTW-0326-SM-5K7UW 40-49 years, male 31.9
GTEX-15FZZ-0526-SM-7KUGD 30-39 years, female 31.9
GTEX-18A6Q-0626-SM-7KFRP 60-69 years, male 31.9
GTEX-1GMR8-0626-SM-7RHI7 50-59 years, female 31.9
GTEX-1HSKV-1226-SM-ADEI4 60-69 years, male 31.9
GTEX-1LSVX-2526-SM-DIPEU 60-69 years, male 31.9
GTEX-14E1K-2026-SM-7DUEI 50-59 years, male 31.8
GTEX-14PHY-1226-SM-5ZZWK 60-69 years, female 31.8
GTEX-1H3O1-1326-SM-9MQLD 60-69 years, male 31.8
GTEX-1LVAN-0626-SM-CNPOQ 50-59 years, female 31.8
GTEX-1S5ZA-1826-SM-GPIAD 20-29 years, male 31.8
GTEX-VUSG-2326-SM-4KL1U 50-59 years, male 31.8
GTEX-WYBS-0626-SM-3NMAS 60-69 years, female 31.8
GTEX-Y8E4-2026-SM-5IFJB 40-49 years, male 31.8
GTEX-Y9LG-1126-SM-4VBQ7 30-39 years, male 31.8
GTEX-16NGA-0726-SM-731AO 40-49 years, female 31.7
GTEX-18D9B-0926-SM-7LG4U 60-69 years, male 31.7
GTEX-1IY9M-2826-SM-ARU8H 60-69 years, male 31.7
GTEX-1QP67-0626-SM-HLJQ9 40-49 years, female 31.7
GTEX-13O3Q-0126-SM-5KM34 50-59 years, male 31.6
GTEX-1JMQK-1226-SM-D4P2S 60-69 years, male 31.6
GTEX-X4EO-2926-SM-4E3JH 60-69 years, female 31.6
GTEX-1GL5R-1326-SM-7RHHF 50-59 years, male 31.5
GTEX-1313W-0626-SM-5EQ4H 50-59 years, female 31.4
GTEX-144FL-0626-SM-5LU43 50-59 years, male 31.4
GTEX-1AYD5-2626-SM-7PBXY 50-59 years, male 31.4
GTEX-1CB4H-1126-SM-7MKGL 60-69 years, female 31.4
GTEX-1LSNL-2726-SM-E9TKJ 50-59 years, male 31.4
GTEX-1KD5A-0126-SM-E9U54 50-59 years, male 31.3
GTEX-ZF2S-1626-SM-57WES 50-59 years, female 31.3
GTEX-11DXZ-2026-SM-5987S 50-59 years, male 31.2
GTEX-145LU-1926-SM-5O99A 50-59 years, male 31.2
GTEX-1LKK1-2626-SM-DKPQE 50-59 years, female 31.2
GTEX-15RIG-0726-SM-7KUM7 40-49 years, male 31.1
GTEX-13JVG-0726-SM-5KM16 60-69 years, male 31.0
GTEX-14AS3-1526-SM-5Q5ED 40-49 years, female 31.0
GTEX-16MT8-2926-SM-7DUFO 60-69 years, female 31.0
GTEX-17HGU-2326-SM-7DUFE 50-59 years, male 31.0
GTEX-1RAZR-2126-SM-E9U6T 40-49 years, male 31.0
GTEX-12WSD-0626-SM-5GCMW 60-69 years, female 30.9
GTEX-13N1W-2426-SM-5IJD1 70-79 years, male 30.9
GTEX-1H1DE-1326-SM-9KNUG 20-29 years, male 30.9
GTEX-1PPH7-1126-SM-DTX9A 40-49 years, male 30.9
GTEX-Y111-0626-SM-4SOIT 50-59 years, male 30.9
GTEX-1F75B-0726-SM-7PC3R 50-59 years, male 30.8
GTEX-1IDJV-0126-SM-COH3Y 60-69 years, male 30.8
GTEX-1JN76-0626-SM-CKZOQ 20-29 years, female 30.8
GTEX-1QMI2-2526-SM-E8VNZ 60-69 years, male 30.8
GTEX-144GM-0526-SM-5O99Y 20-29 years, male 30.6
GTEX-1LBAC-0826-SM-CY8IJ 20-29 years, male 30.6
GTEX-1QP9N-1226-SM-E76QN 30-39 years, male 30.6
GTEX-183FY-1026-SM-7939A 20-29 years, male 30.5
GTEX-1H4P4-2126-SM-9WYSL 50-59 years, male 30.4
GTEX-1J8QM-2426-SM-A9SLS 60-69 years, female 30.4
GTEX-1EMGI-2326-SM-7PBYA 60-69 years, male 30.3
GTEX-XXEK-1626-SM-4BRUZ 50-59 years, male 30.3
GTEX-1B933-2426-SM-7DHMD 50-59 years, female 30.2
GTEX-WXYG-2026-SM-4E3IY 50-59 years, female 30.2
GTEX-ZE7O-2726-SM-51MT5 50-59 years, female 30.2
GTEX-ZVT2-0126-SM-5GIDQ 50-59 years, female 30.2
GTEX-12C56-1526-SM-5FQUQ 20-29 years, male 30.1
GTEX-15CHC-1126-SM-6LLHQ 60-69 years, female 30.1
GTEX-1GMR3-0126-SM-A9SLW 40-49 years, male 30.1
GTEX-1IDFM-0326-SM-ARL7V 60-69 years, male 30.1
GTEX-Y3I4-1726-SM-4TT89 50-59 years, male 30.1
GTEX-ZZPU-0826-SM-5GZX5 50-59 years, female 30.1
GTEX-11TUW-0626-SM-5LU9M 60-69 years, male 30.0
GTEX-15SHU-0526-SM-GNIOC 40-49 years, female 30.0
GTEX-1GZHY-0626-SM-9KNVC 50-59 years, female 30.0
GTEX-1117F-2926-SM-5GZYI 60-69 years, female 29.9
GTEX-13D11-0926-SM-5J2NC 50-59 years, female 29.9
GTEX-15RIF-1626-SM-GNTBL 20-29 years, male 29.9
GTEX-ZYVF-0926-SM-5E44J 50-59 years, female 29.9
GTEX-13NZA-0626-SM-GI4WS 60-69 years, male 29.8
GTEX-15G1A-1626-SM-7KUKN 30-39 years, male 29.8
GTEX-144GO-2026-SM-5O99P 60-69 years, male 29.5
GTEX-1CAMS-2226-SM-7PBXQ 40-49 years, female 29.5
GTEX-1F75I-2226-SM-7SB8U 40-49 years, male 29.5
GTEX-1J1R8-2026-SM-CL53Y 40-49 years, male 29.5
GTEX-ZVE2-2826-SM-5GU51 50-59 years, male 29.5
GTEX-11GSP-2326-SM-5HL63 60-69 years, female 29.4
GTEX-13SLX-2226-SM-62LEP 50-59 years, female 29.4
GTEX-14BMV-2826-SM-5TDED 50-59 years, male 29.4
GTEX-1IOXB-2726-SM-CM2RI 50-59 years, male 29.4
GTEX-1LVAO-2726-SM-E9TJ8 60-69 years, male 29.3
GTEX-ZYT6-2326-SM-5GZY3 30-39 years, male 29.3
GTEX-12KS4-2126-SM-5FQUT 30-39 years, male 29.2
GTEX-1LSNM-0826-SM-DIPG8 50-59 years, male 29.2
GTEX-ZTSS-1426-SM-5985P 40-49 years, male 29.2
GTEX-13RTJ-0126-SM-5S2NN 60-69 years, male 29.1
GTEX-14JG6-1426-SM-9WG7C 30-39 years, female 29.1
GTEX-1AX9I-2226-SM-73KUO 60-69 years, male 29.1
GTEX-1314G-1326-SM-5BC6E 30-39 years, male 29.0
GTEX-1GN1V-2826-SM-9JGIA 60-69 years, male 29.0
GTEX-1GN1W-2426-SM-9KNUU 50-59 years, female 29.0
GTEX-XYKS-1426-SM-4BRUO 60-69 years, female 29.0
GTEX-13NZB-0126-SM-GI4W9 30-39 years, male 28.9
GTEX-V1D1-2026-SM-3GAF4 50-59 years, male 28.9
GTEX-ZVP2-0326-SM-57WBP 50-59 years, male 28.9
GTEX-16MT9-0126-SM-7EPI8 60-69 years, female 28.8
GTEX-1C6VR-0126-SM-7RHGB 60-69 years, male 28.7
GTEX-1EH9U-2826-SM-7DUGT 60-69 years, male 28.6
GTEX-1M5QR-0226-SM-GMXCI 40-49 years, male 28.6
GTEX-WYVS-1626-SM-3NM9R 40-49 years, female 28.6
GTEX-17EVP-2626-SM-7IGMA 40-49 years, male 28.5
GTEX-ZAK1-0626-SM-5HL8E 50-59 years, female 28.5
GTEX-145MN-1526-SM-5MR6U 30-39 years, male 28.4
GTEX-ZYFD-0626-SM-5E44E 50-59 years, male 28.4
GTEX-13W3W-0726-SM-5IJDQ 60-69 years, female 28.3
GTEX-13X6I-1826-SM-5MR7P 60-69 years, male 28.3
GTEX-15DDE-2926-SM-6LLJ3 50-59 years, female 28.3
GTEX-1KANB-2826-SM-CY8I6 50-59 years, male 28.3
GTEX-1EX96-1026-SM-7MKG2 50-59 years, male 28.2
GTEX-1JMQI-1726-SM-ARL93 50-59 years, male 28.2
GTEX-1LNCM-0526-SM-G8OKL 50-59 years, female 28.2
GTEX-1B8KZ-0326-SM-73KY4 50-59 years, male 28.0
GTEX-1F75A-0726-SM-7RHHD 50-59 years, male 28.0
GTEX-1JJE9-2626-SM-ARZMT 70-79 years, male 28.0
GTEX-XBED-1926-SM-47JYP 60-69 years, male 28.0
GTEX-1F5PL-0926-SM-7PC2W 40-49 years, female 27.9
GTEX-WRHK-1226-SM-GQ1CS 20-29 years, female 27.9
GTEX-13PVR-0426-SM-5RQK2 60-69 years, female 27.8
GTEX-1HBPI-2126-SM-ARL9K 50-59 years, male 27.8
GTEX-1I1GS-2626-SM-B2LY3 60-69 years, male 27.8
GTEX-Y8LW-1526-SM-5IFHL 50-59 years, female 27.8
GTEX-12696-0126-SM-5EQ4L 60-69 years, male 27.7
GTEX-12WSM-1926-SM-5BC65 60-69 years, male 27.6
GTEX-13OW8-1026-SM-5J1NQ 60-69 years, male 27.6
GTEX-13X6H-0926-SM-5MR83 50-59 years, female 27.6
GTEX-1LB8K-0726-SM-D5OV2 50-59 years, male 27.6
GTEX-1I6K7-1926-SM-B2LXR 40-49 years, male 27.5
GTEX-18A7A-0126-SM-731AH 50-59 years, female 27.4
GTEX-1HSGN-0826-SM-ACKW3 40-49 years, female 27.4
GTEX-1RB15-1326-SM-E76Q9 60-69 years, male 27.4
GTEX-1RLM8-2926-SM-E8VON 50-59 years, male 27.4
GTEX-1S831-1826-SM-EWROF 20-29 years, male 27.4
GTEX-ZVT3-1426-SM-59HLP 60-69 years, female 27.4
GTEX-144GN-1726-SM-GI4XM 50-59 years, male 27.3
GTEX-15DYW-2726-SM-6EU2I 60-69 years, female 27.3
GTEX-15EU6-2226-SM-6EU2L 50-59 years, male 27.3
GTEX-1N2EE-0626-SM-E76PW 60-69 years, male 27.3
GTEX-11NUK-2726-SM-5A5MC 50-59 years, male 27.1
GTEX-1HB9E-0126-SM-CM2S5 50-59 years, male 27.1
GTEX-1HFI7-2326-SM-CGQFS 50-59 years, female 27.1
GTEX-1IDJH-0126-SM-D3L92 70-79 years, male 27.0
GTEX-1JJ6O-2726-SM-CNPOG 60-69 years, male 27.0
GTEX-14ABY-2026-SM-62LDL 50-59 years, male 26.9
GTEX-16NPX-0726-SM-7KULC 50-59 years, male 26.9
GTEX-1HSMP-0926-SM-A9SKX 70-79 years, male 26.9
GTEX-1IDJF-2026-SM-CL53V 20-29 years, male 26.9
GTEX-1LG7Y-2526-SM-EWRO7 50-59 years, male 26.9
GTEX-1JKYN-0826-SM-ARU8S 30-39 years, male 26.8
GTEX-13NYC-0126-SM-5L3F4 60-69 years, male 26.7
GTEX-ZT9W-1126-SM-57WDR 50-59 years, male 26.7
GTEX-1KANA-1326-SM-DIPFA 20-29 years, male 26.6
GTEX-XUW1-0926-SM-4BONX 50-59 years, female 26.6
GTEX-11OF3-0126-SM-5PNYF 60-69 years, male 26.5
GTEX-139TT-2126-SM-5LZWC 60-69 years, male 26.5
GTEX-ZWKS-0626-SM-5GIDV 30-39 years, male 26.5
GTEX-14DAR-1226-SM-5P9IB 50-59 years, male 26.4
GTEX-178AV-1726-SM-7KUL8 40-49 years, male 26.4
GTEX-18D9U-0126-SM-731BM 40-49 years, male 26.4
GTEX-1A3MX-2626-SM-7PC24 60-69 years, male 26.3
GTEX-1C6WA-2626-SM-7MKGM 60-69 years, male 26.3
GTEX-1EN7A-2426-SM-793DB 40-49 years, male 26.1
GTEX-13OVG-1626-SM-5J1NF 60-69 years, male 26.0
GTEX-1B8L1-2226-SM-7P8PT 60-69 years, male 26.0
GTEX-ZGAY-1826-SM-DO91Q 40-49 years, female 26.0
GTEX-11NSD-0626-SM-5A5LU 20-29 years, male 25.9
GTEX-13112-0126-SM-5P9IU 50-59 years, male 25.9
GTEX-1RNTQ-1526-SM-GPRYO 20-29 years, female 25.9
GTEX-1477Z-0326-SM-7IGLA 60-69 years, male 25.8
GTEX-1N2DW-0126-SM-G8LL5 50-59 years, male 25.8
GTEX-1R9PN-0426-SM-DTXDT 40-49 years, female 25.7
GTEX-18A7B-2726-SM-7LG56 70-79 years, male 25.6
GTEX-1QAET-0326-SM-EVR3U 50-59 years, male 25.6
GTEX-1211K-1526-SM-5FQU4 60-69 years, female 25.5
GTEX-17F96-0126-SM-7EWDU 70-79 years, male 25.4
GTEX-1F6I4-2326-SM-7RHGL 60-69 years, male 25.4
GTEX-1JN1M-2726-SM-CY8I4 60-69 years, female 25.4
GTEX-WRHU-2826-SM-3MJG8 50-59 years, female 25.4
GTEX-X3Y1-2026-SM-3P5YM 40-49 years, male 25.4
GTEX-14PKV-1126-SM-6LLJ1 20-29 years, female 25.3
GTEX-147JS-0226-SM-5S2U9 60-69 years, male 25.2
GTEX-16YQH-2226-SM-7IGM2 30-39 years, male 25.2
GTEX-1AMFI-1326-SM-7939R 50-59 years, female 25.2
GTEX-1CAMR-1326-SM-7PC1F 20-29 years, male 25.2
GTEX-13X6J-0626-SM-5LU5F 50-59 years, male 25.1
GTEX-1EWIQ-0326-SM-7DHMQ 70-79 years, female 25.1
GTEX-12WSN-1426-SM-5GCO6 40-49 years, male 25.0
GTEX-145MO-2826-SM-5LU96 60-69 years, male 25.0
GTEX-15D1Q-2826-SM-6LLH7 40-49 years, male 25.0
GTEX-12WSF-1626-SM-7KUG5 70-79 years, male 24.9
GTEX-14A6H-2026-SM-5Q5DD 30-39 years, male 24.9
GTEX-1S3DN-2126-SM-E9TIN 50-59 years, male 24.9
GTEX-XPVG-2126-SM-4B667 50-59 years, male 24.9
GTEX-12126-0826-SM-5FQTZ 20-29 years, male 24.8
GTEX-131YS-2826-SM-5EQ47 60-69 years, female 24.8
GTEX-14C38-0726-SM-5SI6M 50-59 years, male 24.8
GTEX-14PJO-2526-SM-6AJBQ 60-69 years, male 24.8
GTEX-YJ8O-2526-SM-5HL85 40-49 years, female 24.8
GTEX-13OVJ-0826-SM-5J1OK 50-59 years, female 24.7
GTEX-1H1DF-1126-SM-9WG7G 40-49 years, female 24.7
GTEX-1HC8U-1326-SM-9YFMJ 40-49 years, female 24.7
GTEX-1N5O9-0926-SM-E9J3C 60-69 years, male 24.7
GTEX-12WSA-0426-SM-5EQ5X 60-69 years, male 24.6
GTEX-145ME-1726-SM-5Q5EU 40-49 years, female 24.6
GTEX-1B932-2326-SM-79OL5 40-49 years, female 24.6
GTEX-XMD3-2626-SM-GPI8L 50-59 years, female 24.6
GTEX-145LS-0626-SM-7EPG7 60-69 years, female 24.5
GTEX-14BMU-1226-SM-5S2OR 20-29 years, female 24.4
GTEX-139T8-0626-SM-G8OLS 60-69 years, male 24.3
GTEX-WFG8-2126-SM-G8W6B 20-29 years, male 24.3
GTEX-XQ3S-1426-SM-4BOPR 20-29 years, male 24.3
GTEX-ZDYS-2426-SM-4WKGI 50-59 years, male 24.3
GTEX-12584-0726-SM-5FQTK 40-49 years, male 24.2
GTEX-1POEN-2326-SM-E9J2L 30-39 years, female 24.2
GTEX-1497J-0226-SM-5QGPU 60-69 years, male 24.1
GTEX-1H3NZ-2726-SM-9WYTQ 60-69 years, male 24.1
GTEX-16XZZ-0726-SM-7KUF2 60-69 years, male 24.0
GTEX-1IL2V-1926-SM-B2LW8 70-79 years, male 24.0
GTEX-WH7G-2026-SM-3NMBL 40-49 years, male 24.0
GTEX-ZYFG-1526-SM-5GZYM 60-69 years, female 24.0
GTEX-11DXY-0126-SM-5H11Q 60-69 years, male 23.9
GTEX-1IDJD-2326-SM-ACKWX 30-39 years, male 23.9
GTEX-1JMOU-1026-SM-CYPSS 60-69 years, female 23.9
GTEX-1LVA9-2626-SM-EVYD4 50-59 years, male 23.9
GTEX-15SHW-0226-SM-7LTAT 60-69 years, male 23.8
GTEX-Y5V5-0126-SM-5S2NW 60-69 years, female 23.8
GTEX-16XZY-2026-SM-GQ1DF 70-79 years, male 23.6
GTEX-1A3MV-1826-SM-731CD 30-39 years, male 23.6
GTEX-11EI6-2826-SM-5H11D 60-69 years, male 23.5
GTEX-YEC4-1826-SM-4W1YP 40-49 years, male 23.5
GTEX-ZAJG-1526-SM-5CVML 50-59 years, female 23.5
GTEX-1C475-1326-SM-7SB73 40-49 years, female 23.4
GTEX-1QCLZ-2426-SM-EVYBW 60-69 years, female 23.4
GTEX-XMK1-1926-SM-H7OEU 40-49 years, male 23.4
GTEX-1212Z-0126-SM-59HK4 60-69 years, male 23.3
GTEX-131XW-0626-SM-5PNVD 50-59 years, female 23.3
GTEX-13N11-2326-SM-5IJBF 50-59 years, female 23.3
GTEX-145LT-0526-SM-5LUB2 40-49 years, male 23.3
GTEX-145MI-0626-SM-5MR5T 60-69 years, female 23.3
GTEX-1K2DA-1026-SM-CGQGF 50-59 years, male 23.3
GTEX-11DXW-0826-SM-5H118 40-49 years, male 23.2
GTEX-14A5H-0826-SM-5QGPJ 60-69 years, male 23.2
GTEX-1A8FM-0626-SM-7PC25 50-59 years, female 23.2
GTEX-1122O-1026-SM-9WYSF 60-69 years, female 23.1
GTEX-1JN6P-2926-SM-CL54D 60-69 years, male 23.1
GTEX-1KANC-1226-SM-CYPT7 50-59 years, female 23.0
GTEX-1RNSC-2626-SM-GNIOG 60-69 years, male 23.0
GTEX-XV7Q-1826-SM-4BRUV 40-49 years, female 23.0
GTEX-12BJ1-0926-SM-5EQ62 60-69 years, male 22.9
GTEX-1A3MW-0626-SM-731CB 60-69 years, female 22.9
GTEX-1I6K6-1726-SM-CGQFD 30-39 years, male 22.9
GTEX-15G19-2426-SM-7KUMR 60-69 years, male 22.8
GTEX-1F88E-1626-SM-7SB8Z 60-69 years, female 22.8
GTEX-1ICG6-1226-SM-A9SLN 70-79 years, female 22.8
GTEX-1K9T9-1526-SM-DIPFR 50-59 years, female 22.8
GTEX-Y3IK-1626-SM-4YCF5 50-59 years, female 22.8
GTEX-1F88F-0126-SM-9WYSZ 60-69 years, female 22.7
GTEX-XBEC-0726-SM-4QARZ 50-59 years, male 22.7
GTEX-1HSMO-0626-SM-ACKXC 60-69 years, male 22.6
GTEX-ZVZQ-1926-SM-GPRX8 60-69 years, female 22.6
GTEX-13FTY-2126-SM-5IFFB 40-49 years, female 22.5
GTEX-14JG1-1526-SM-5YY9X 40-49 years, male 22.5
GTEX-1H1DG-2426-SM-9QEHJ 70-79 years, male 22.5
GTEX-13113-1626-SM-5EQ4I 60-69 years, female 22.3
GTEX-13VXU-0626-SM-5L3F9 50-59 years, male 22.2
GTEX-1AX8Z-0726-SM-73KTS 60-69 years, male 22.2
GTEX-1KWVE-1026-SM-D3L9O 30-39 years, male 22.2
GTEX-1I1CD-0626-SM-CE6SW 60-69 years, female 22.1
GTEX-ZPIC-0526-SM-DO91W 40-49 years, female 22.1
GTEX-13X6K-0626-SM-5LU5D 60-69 years, female 22.0
GTEX-1CB4I-0126-SM-7RHGG 50-59 years, male 22.0
GTEX-1HCUA-0826-SM-ADEHM 50-59 years, female 22.0
GTEX-1JMPZ-0726-SM-CY8HZ 30-39 years, male 22.0
GTEX-1E1VI-0326-SM-793D1 50-59 years, male 21.9
GTEX-ZPU1-1126-SM-4YCF3 40-49 years, male 21.9
GTEX-139TS-2126-SM-5K7XC 60-69 years, male 21.8
GTEX-1H1E6-0426-SM-9WYUS 30-39 years, male 21.8
GTEX-16Z82-2626-SM-7KULU 60-69 years, male 21.7
GTEX-U8XE-0226-SM-4E3J3 30-39 years, male 21.6
GTEX-1JMQL-2226-SM-CNPP4 50-59 years, female 21.5
GTEX-WFON-1926-SM-3LK7L 40-49 years, male 21.5
GTEX-X8HC-0626-SM-4E3HQ 50-59 years, female 21.5
GTEX-ZYW4-0626-SM-59HJR 60-69 years, male 21.5
GTEX-1GMR2-0826-SM-7PC3V 50-59 years, male 21.4
GTEX-1J8JJ-0626-SM-ARZMQ 60-69 years, female 21.4
GTEX-X4EP-0626-SM-3P621 60-69 years, female 21.4
GTEX-117YX-1926-SM-5GIEC 50-59 years, male 21.3
GTEX-13OVL-0126-SM-5L3GJ 50-59 years, male 21.3
GTEX-14PK6-0226-SM-62LF5 70-79 years, female 21.3
GTEX-183WM-0326-SM-72D5V 70-79 years, female 21.3
GTEX-1B97I-0626-SM-73KUZ 40-49 years, male 21.3
GTEX-17HG3-2626-SM-7DUF2 30-39 years, female 21.2
GTEX-1GTWX-2026-SM-9YFLM 60-69 years, male 21.1
GTEX-1RAZA-2226-SM-E9U4X 20-29 years, male 20.9
GTEX-12WSL-2026-SM-5GCML 50-59 years, male 20.8
GTEX-1H3VE-0726-SM-9YFL5 40-49 years, male 20.8
GTEX-1M4P7-0726-SM-E6CJ3 60-69 years, male 20.8
GTEX-WK11-2726-SM-3NMAQ 50-59 years, male 20.8
GTEX-ZVE1-0726-SM-51MRN 50-59 years, female 20.8
GTEX-17EUY-1126-SM-GOR14 20-29 years, male 20.7
GTEX-1IDJC-1526-SM-B2LW4 50-59 years, male 20.7
GTEX-13N2G-0226-SM-5K7VF 60-69 years, male 20.6
GTEX-14E6E-0526-SM-5PNXE 30-39 years, male 20.6
GTEX-17MF6-2626-SM-79OKQ 40-49 years, male 20.6
GTEX-1HCU9-0426-SM-9WYSD 20-29 years, male 20.6
GTEX-13U4I-2226-SM-5LU5H 40-49 years, female 20.5
GTEX-1QEPI-2626-SM-DTXF4 60-69 years, female 20.5
GTEX-18465-2826-SM-7LT9J 50-59 years, male 20.4
GTEX-1HR98-2226-SM-ADEI2 60-69 years, male 20.4
GTEX-ZLWG-0826-SM-59888 50-59 years, female 20.1
GTEX-1IDJI-0126-SM-CMKHS 50-59 years, female 20.0
GTEX-11EM3-1226-SM-5N9DD 20-29 years, female 19.9
GTEX-1HCU8-2526-SM-CE6RX 60-69 years, female 19.7
GTEX-1CAV2-0126-SM-7IGN7 40-49 years, female 19.6
GTEX-14PJ2-0626-SM-6LLII 50-59 years, male 19.2
GTEX-1F6IF-0926-SM-7SB7M 60-69 years, male 19.2
GTEX-VJYA-1526-SM-3GIJV 60-69 years, male 19.2
GTEX-145MF-0926-SM-5Q5EA 50-59 years, male 19.1
GTEX-17JCI-2926-SM-7DUFF 60-69 years, female 19.1
GTEX-1IDJE-1426-SM-ADEIW 50-59 years, female 19.0
GTEX-13QBU-1226-SM-5LU4G 40-49 years, female 18.9
GTEX-1H1CY-0126-SM-9YFLY 60-69 years, female 18.9
GTEX-14XAO-1226-SM-6EU1C 60-69 years, female 18.8
GTEX-Y5LM-0926-SM-6LLJG 40-49 years, female 18.7
GTEX-11ZUS-2626-SM-5FQUR 30-39 years, male 18.6
GTEX-14E6C-2426-SM-5S2NF 40-49 years, male 18.6
GTEX-WYJK-0526-SM-3NM8Z 50-59 years, male 18.6
GTEX-13JUV-2026-SM-5K7UA 40-49 years, female 18.5
GTEX-1A32A-0626-SM-731AQ 50-59 years, female 18.2
GTEX-11XUK-1826-SM-HAV3I 40-49 years, female 18.1
GTEX-14DAQ-0626-SM-5PNXM 60-69 years, female 18.1
GTEX-1LG7Z-1626-SM-CXKYR 30-39 years, male 17.8
GTEX-1LGOU-1326-SM-D3L8M 20-29 years, female 17.8
GTEX-131XH-0126-SM-5LZUY 50-59 years, male 17.7
GTEX-XK95-0226-SM-4AT58 40-49 years, male 17.7
GTEX-XOT4-0626-SM-4B66L 60-69 years, female 17.7
GTEX-XMD2-2126-SM-4YCF8 60-69 years, female 17.6
GTEX-ZUA1-2626-SM-5NQ92 40-49 years, male 17.6
GTEX-1B996-0426-SM-7EWF8 60-69 years, male 17.4
GTEX-1I1GU-0926-SM-ACKVS 40-49 years, male 17.3
GTEX-13NZ9-2626-SM-5L3FK 50-59 years, male 17.2
GTEX-ZDXO-3126-SM-5IJDF 60-69 years, male 17.1
GTEX-ZF3C-0626-SM-DO92O 50-59 years, female 17.1
GTEX-15UF7-0626-SM-GOQZK 40-49 years, male 16.9
GTEX-132AR-0326-SM-5KM2C 50-59 years, female 16.7
GTEX-145MG-1526-SM-5Q5EM 50-59 years, male 16.6
GTEX-1I19N-0126-SM-CYPSF 70-79 years, male 16.6
GTEX-1O9I2-0226-SM-EYYXD 50-59 years, male 16.6
GTEX-1H1ZS-2726-SM-9WG75 70-79 years, male 16.4
GTEX-1HFI6-0126-SM-CNPPI 40-49 years, male 16.3
GTEX-12WSC-2826-SM-5BC5Y 50-59 years, male 16.2
GTEX-1QP66-1226-SM-DTX7U 50-59 years, male 16.2
GTEX-1HUB1-1426-SM-CGQF5 60-69 years, male 15.5
GTEX-1GZ2Q-0126-SM-9WG6M 40-49 years, male 15.4
GTEX-1AX9J-1326-SM-731BJ 60-69 years, male 14.9
GTEX-ZU9S-1826-SM-5NQ9E 30-39 years, male 14.9
GTEX-Y5V6-2326-SM-4VDSA 60-69 years, male 14.8
GTEX-11TT1-1826-SM-5EQLV 20-29 years, male 14.5
GTEX-131XE-1626-SM-5K7VO 50-59 years, male 14.4
GTEX-1GF9U-2026-SM-7SB92 40-49 years, female 14.4
GTEX-1QP6S-0326-SM-DTXF7 40-49 years, male 14.2
GTEX-13FH7-1126-SM-5K7UG 50-59 years, female 13.7
GTEX-16GPK-0626-SM-7KFSF 60-69 years, male 13.3
GTEX-YF7O-1526-SM-5IFI6 50-59 years, male 12.9
GTEX-1F75W-2726-SM-7SB8H 60-69 years, male 12.3
GTEX-1L5NE-1126-SM-D3L9P 50-59 years, male 11.5
GTEX-1399R-1326-SM-5PNYS 30-39 years, male 11.0
GTEX-17EVQ-0126-SM-7IGLR 70-79 years, male 10.9
GTEX-ZVTK-0226-SM-51MRG 20-29 years, male 10.2
GTEX-111FC-2526-SM-5GZXU 60-69 years, male 9.4
Show allShow less
Skin - Sun Exposed (Lower leg)
Average nTPM: 29.9
Samples: 754

Max nTPM: 76.2
Min nTPM: 10.4
Std nTPM: 9.6
Median nTPM: 28.6
GTEX-1NSGN-0126-SM-F648G 50-59 years, male 76.2
GTEX-1K2DA-1826-SM-CGQGT 50-59 years, male 72.0
GTEX-1L5NE-2526-SM-E6CIE 50-59 years, male 66.0
GTEX-YB5E-2026-SM-5IFIS 40-49 years, male 65.4
GTEX-ZTX8-1426-SM-5DUVO 20-29 years, male 63.9
GTEX-13OVH-0126-SM-5MR4B 70-79 years, male 63.6
GTEX-WI4N-1026-SM-3LK7N 40-49 years, female 63.5
GTEX-18D9A-1926-SM-7LG6P 30-39 years, female 62.6
GTEX-PSDG-0226-SM-DKPOZ 50-59 years, male 58.4
GTEX-ZXES-1826-SM-5E43S 30-39 years, female 57.0
GTEX-13111-1626-SM-5EGJY 50-59 years, male 56.9
GTEX-1MCC2-2526-SM-GNIP4 30-39 years, female 55.3
GTEX-1OJC3-0126-SM-E76QX 20-29 years, male 54.3
GTEX-1R9PM-2026-SM-E76OY 20-29 years, male 54.3
GTEX-1B8KE-2126-SM-73KYX 50-59 years, male 54.2
GTEX-WFG7-2626-SM-GQ1E7 20-29 years, male 53.5
GTEX-1R7EU-0226-SM-EVR4G 60-69 years, male 53.1
GTEX-1J8QM-2126-SM-CYPSJ 60-69 years, female 53.0
GTEX-XBEW-0626-SM-4QASP 40-49 years, male 52.9
GTEX-XUZC-1726-SM-4BRWS 30-39 years, female 52.0
GTEX-17GQL-2026-SM-718BA 60-69 years, male 51.6
GTEX-1RAZR-0126-SM-G8OKK 40-49 years, male 51.6
GTEX-Y3IK-2426-SM-4WWDU 50-59 years, female 51.5
GTEX-14C5O-0126-SM-5SI6N 60-69 years, male 51.4
GTEX-ZGAY-0526-SM-4WWBB 40-49 years, female 50.9
GTEX-1KANC-1526-SM-D3LAB 50-59 years, female 50.4
GTEX-S3LF-0126-SM-GPRYF 70-79 years, male 49.6
GTEX-12WSJ-1826-SM-5GCNY 40-49 years, female 49.1
GTEX-1I4MK-2226-SM-ACKWD 50-59 years, female 48.5
GTEX-WYJK-0126-SM-3NMAB 50-59 years, male 48.5
GTEX-O5YV-0126-SM-HM8V5 60-69 years, female 48.2
GTEX-15ETS-0126-SM-7KUMW 40-49 years, female 47.9
GTEX-14PHX-2326-SM-62LEM 50-59 years, male 47.8
GTEX-ZLWG-2326-SM-GOQYZ 50-59 years, female 47.7
GTEX-OOBJ-0126-SM-E6CJW 60-69 years, male 47.5
GTEX-ZP4G-2426-SM-57WEY 20-29 years, female 47.4
GTEX-1GMR3-1926-SM-9KNUZ 40-49 years, male 46.9
GTEX-1MJK3-1726-SM-G8OMR 20-29 years, male 46.8
GTEX-1S83E-0126-SM-EWRO4 40-49 years, male 46.7
GTEX-1399U-2326-SM-5K7WY 50-59 years, female 46.6
GTEX-18A67-0126-SM-7LG5P 50-59 years, male 46.5
GTEX-ZYFD-0126-SM-5GIDL 50-59 years, male 46.2
GTEX-1I1GT-0626-SM-CGQER 60-69 years, female 46.1
GTEX-1MA7W-2026-SM-E9TJ6 20-29 years, female 46.0
GTEX-11DXZ-2326-SM-5EGGV 50-59 years, male 45.9
GTEX-12696-2426-SM-5EQ6H 60-69 years, male 45.8
GTEX-13NZ8-0826-SM-5MR3I 60-69 years, female 45.7
GTEX-1F6RS-0126-SM-9MQKZ 60-69 years, female 45.7
GTEX-13NYS-0126-SM-5MR3W 60-69 years, male 45.6
GTEX-1PIIG-0226-SM-EWRN6 30-39 years, male 45.5
GTEX-1LGRB-2526-SM-CNPPQ 50-59 years, female 45.4
GTEX-15SZO-0126-SM-GNTBQ 50-59 years, male 45.3
GTEX-1LG7Z-1726-SM-D3LA4 30-39 years, male 45.3
GTEX-OXRN-0126-SM-48TDM 50-59 years, male 45.3
GTEX-1S3DN-2226-SM-EVYCD 50-59 years, male 45.1
GTEX-PX3G-0126-SM-2I3EN 20-29 years, female 45.1
GTEX-15F5U-1526-SM-6PANO 40-49 years, male 45.0
GTEX-1JMPY-1326-SM-ARL8Y 30-39 years, male 45.0
GTEX-13FTW-2626-SM-5K7WL 40-49 years, male 44.9
GTEX-15SHV-2426-SM-6PAMF 60-69 years, male 44.3
GTEX-WH7G-2326-SM-G8W7K 40-49 years, male 44.1
GTEX-1PIEJ-0126-SM-G8LMC 20-29 years, female 43.7
GTEX-1C475-1826-SM-73KWA 40-49 years, female 43.3
GTEX-13YAN-0326-SM-5O9DF 60-69 years, male 43.2
GTEX-YJ89-0126-SM-4TT3X 60-69 years, male 43.2
GTEX-1HCU7-0226-SM-CL545 50-59 years, male 42.9
GTEX-T5JW-1626-SM-3GADZ 20-29 years, female 42.9
GTEX-1LVAM-0126-SM-GOR1B 50-59 years, female 42.8
GTEX-1PIGE-0126-SM-EVYBJ 20-29 years, male 42.8
GTEX-15RIG-0226-SM-7KFTL 40-49 years, male 42.5
GTEX-139UW-2826-SM-5L3E7 60-69 years, male 42.4
GTEX-1AX9J-0226-SM-73KXM 60-69 years, male 42.4
GTEX-14PII-0226-SM-6EU1T 60-69 years, male 42.3
GTEX-1E2YA-0126-SM-9KNUC 50-59 years, male 42.2
GTEX-ZYT6-0226-SM-5NQ6T 30-39 years, male 42.2
GTEX-13O61-2226-SM-GHWQ2 60-69 years, male 42.1
GTEX-1LVAN-0226-SM-COH3S 50-59 years, female 42.1
GTEX-T6MN-0126-SM-32PLP 50-59 years, male 42.1
GTEX-11DZ1-0126-SM-G8OLJ 50-59 years, male 42.0
GTEX-12ZZX-0126-SM-5EGK9 40-49 years, female 42.0
GTEX-1JJ6O-0126-SM-E6CI8 60-69 years, male 42.0
GTEX-X88G-0126-SM-47JZ3 30-39 years, male 41.9
GTEX-1S831-0226-SM-F648L 20-29 years, male 41.7
GTEX-13CF2-2526-SM-5LZYX 60-69 years, male 41.6
GTEX-1KAFJ-2026-SM-CY8ID 50-59 years, male 41.4
GTEX-1LSNM-1926-SM-E6CII 50-59 years, male 41.4
GTEX-YB5K-2126-SM-4WWDJ 40-49 years, female 41.3
GTEX-13OVK-2026-SM-7KUEO 40-49 years, male 41.2
GTEX-1QPFJ-0226-SM-E76PB 30-39 years, female 41.1
GTEX-ZF2S-2326-SM-4WWCE 50-59 years, female 41.1
GTEX-13PDP-0126-SM-5L3HD 60-69 years, male 40.8
GTEX-ZWKS-0126-SM-5MR7B 30-39 years, male 40.8
GTEX-1IL2U-0226-SM-CE6T8 60-69 years, male 40.6
GTEX-11DYG-0126-SM-59883 60-69 years, male 40.5
GTEX-15ER7-0326-SM-7KUEV 20-29 years, female 40.5
GTEX-132NY-0326-SM-5IJBL 60-69 years, male 40.4
GTEX-U412-0426-SM-3DB9O 60-69 years, male 40.4
GTEX-ZV68-0126-SM-59HKS 50-59 years, female 40.3
GTEX-1I1GV-0526-SM-A9G29 60-69 years, male 40.2
GTEX-17F96-1626-SM-7DUFL 70-79 years, male 40.1
GTEX-1RNTQ-0126-SM-G8OMG 20-29 years, female 40.0
GTEX-17F98-0626-SM-79OMX 40-49 years, female 39.9
GTEX-1QP9N-1426-SM-DTXFL 30-39 years, male 39.9
GTEX-18QFQ-0126-SM-731BE 30-39 years, male 39.8
GTEX-1314G-1526-SM-5EGK2 30-39 years, male 39.6
GTEX-1LBAC-0126-SM-DIPEZ 20-29 years, male 39.5
GTEX-1S5ZA-0126-SM-EVYCV 20-29 years, male 39.5
GTEX-OIZH-0126-SM-2HMIS 50-59 years, male 39.5
GTEX-1GN1U-0126-SM-7PBZK 50-59 years, female 39.4
GTEX-1JMQI-2226-SM-CM2SD 50-59 years, male 39.4
GTEX-ZT9X-1726-SM-GOQZ1 40-49 years, male 39.4
GTEX-13RTK-1426-SM-5QGQJ 20-29 years, male 39.3
GTEX-1HSGN-0226-SM-CGQFV 40-49 years, female 39.3
GTEX-ZVTK-0426-SM-51MRS 20-29 years, male 39.3
GTEX-1B8SF-1426-SM-7DUGL 60-69 years, male 39.2
GTEX-XAJ8-0826-SM-47JY6 40-49 years, male 39.2
GTEX-ZYFC-0226-SM-5NQ75 50-59 years, male 39.2
GTEX-1N2EE-0426-SM-GNTC9 60-69 years, male 39.1
GTEX-1399R-2726-SM-5IJBA 30-39 years, male 39.0
GTEX-ZDTT-2726-SM-4WKF8 60-69 years, male 39.0
GTEX-1EMGI-0126-SM-9KNUE 60-69 years, male 38.9
GTEX-1H4P4-0726-SM-9YFLR 50-59 years, male 38.9
GTEX-T8EM-1026-SM-3DB7M 40-49 years, male 38.9
GTEX-13O3P-0126-SM-5KM4S 50-59 years, male 38.7
GTEX-145MN-2226-SM-5MR7V 30-39 years, male 38.7
GTEX-1P4AB-0126-SM-G8LKW 50-59 years, male 38.7
GTEX-ZF3C-0126-SM-DO92D 50-59 years, female 38.7
GTEX-Y8E4-0626-SM-4WWDL 40-49 years, male 38.6
GTEX-1MJK2-0426-SM-DTXE5 50-59 years, male 38.5
GTEX-1KD4Q-0226-SM-E9TJ9 40-49 years, male 38.4
GTEX-139TS-2826-SM-5J1OO 60-69 years, male 38.3
GTEX-SUCS-1926-SM-32PM3 70-79 years, male 38.3
GTEX-XMD3-0126-SM-GPI8N 50-59 years, female 38.3
GTEX-17JCI-0126-SM-7LG5G 60-69 years, female 38.2
GTEX-1GZ4H-1726-SM-7PBZJ 50-59 years, female 38.2
GTEX-1KWVE-1426-SM-E9TJO 30-39 years, male 38.2
GTEX-11UD2-0226-SM-5EQKY 50-59 years, male 38.1
GTEX-16XZZ-0126-SM-793DV 60-69 years, male 38.1
GTEX-17KNJ-2326-SM-7DHLQ 50-59 years, male 38.1
GTEX-1HBPM-0226-SM-ARL9F 60-69 years, female 38.1
GTEX-1HGF4-2426-SM-ACKXM 60-69 years, male 38.1
GTEX-1IOXB-0126-SM-ARL8G 50-59 years, male 38.0
GTEX-117XS-2726-SM-5N9BL 60-69 years, male 37.9
GTEX-1S82U-1526-SM-GNIP3 30-39 years, female 37.8
GTEX-12WSE-0526-SM-5PNV3 20-29 years, male 37.7
GTEX-1NV5F-0226-SM-E8VNY 60-69 years, female 37.7
GTEX-RTLS-0126-SM-447CA 60-69 years, female 37.7
GTEX-WFON-2126-SM-3LK7O 40-49 years, male 37.7
GTEX-16A39-1826-SM-GOQZC 30-39 years, female 37.6
GTEX-1GF9X-2026-SM-7PC3A 40-49 years, female 37.4
GTEX-1122O-2126-SM-5EGIR 60-69 years, female 37.3
GTEX-1S82Z-0826-SM-E6CHY 30-39 years, female 37.3
GTEX-11EQ9-2426-SM-5HL5T 30-39 years, male 37.1
GTEX-133LE-1826-SM-5J1MV 20-29 years, female 37.1
GTEX-1RB15-2126-SM-E9TIM 60-69 years, male 37.1
GTEX-14JFF-0126-SM-G8W76 60-69 years, male 36.9
GTEX-13JUV-2726-SM-5LZZ8 40-49 years, female 36.8
GTEX-1HT8W-0126-SM-CNPPP 30-39 years, male 36.8
GTEX-1QCLY-0326-SM-E8VOG 30-39 years, male 36.8
GTEX-Y8DK-0126-SM-4TT3L 60-69 years, male 36.8
GTEX-1GN2E-0426-SM-9MQKX 60-69 years, male 36.7
GTEX-ZZ64-1726-SM-5GZYB 20-29 years, male 36.7
GTEX-13NZB-2526-SM-5J1OM 30-39 years, male 36.6
GTEX-16GPK-0126-SM-7DHLE 60-69 years, male 36.6
GTEX-ZQG8-1626-SM-DHXIT 60-69 years, female 36.6
GTEX-1J1R8-1726-SM-ARL8M 40-49 years, male 36.5
GTEX-Q2AI-1326-SM-GI4XS 40-49 years, male 36.5
GTEX-11TT1-2526-SM-5EGIB 20-29 years, male 36.4
GTEX-1JN6P-0126-SM-D3L98 60-69 years, male 36.4
GTEX-ZF29-2326-SM-DO92K 60-69 years, female 36.4
GTEX-13FXS-0226-SM-5IJCK 50-59 years, male 36.3
GTEX-1S82P-0126-SM-GNIOQ 60-69 years, female 36.3
GTEX-1J1OQ-0226-SM-CYPSH 40-49 years, female 36.2
GTEX-1KANA-0726-SM-D3L9I 20-29 years, male 36.2
GTEX-1RAZA-0126-SM-E6CI3 20-29 years, male 36.2
GTEX-1CAV2-2226-SM-7P8P2 40-49 years, female 36.1
GTEX-1HFI7-1826-SM-ACKXH 50-59 years, female 36.1
GTEX-1PDJ9-0326-SM-DTX95 20-29 years, male 36.0
GTEX-T6MO-1626-SM-32QOM 40-49 years, female 35.9
GTEX-14DAR-2026-SM-5S2O3 50-59 years, male 35.8
GTEX-1CB4H-0226-SM-7PBXM 60-69 years, female 35.8
GTEX-1GMR8-0126-SM-9WYTM 50-59 years, female 35.8
GTEX-1PPGY-0226-SM-G8LMT 60-69 years, male 35.8
GTEX-11VI4-1726-SM-5CVLH 40-49 years, female 35.7
GTEX-17EVP-0326-SM-7DHLG 40-49 years, male 35.7
GTEX-1JJEA-0326-SM-CNPOT 60-69 years, male 35.7
GTEX-ZTSS-1926-SM-57WEW 40-49 years, male 35.7
GTEX-ZVT2-2526-SM-51MT1 50-59 years, female 35.7
GTEX-1M5QR-1226-SM-EWROB 40-49 years, male 35.6
GTEX-U8T8-0126-SM-3DB94 60-69 years, male 35.6
GTEX-16AAH-1726-SM-7939C 50-59 years, male 35.5
GTEX-16MT9-0626-SM-GPI9O 60-69 years, female 35.5
GTEX-YEC4-2126-SM-5IFJH 40-49 years, male 35.5
GTEX-ZV6S-2326-SM-4YCEY 40-49 years, female 35.5
GTEX-1HCUA-2426-SM-ADEIS 50-59 years, female 35.4
GTEX-13PVR-2326-SM-5QGR1 60-69 years, female 35.3
GTEX-17HG3-2226-SM-7938L 30-39 years, female 35.3
GTEX-11P81-2326-SM-59875 30-39 years, female 35.2
GTEX-1H1DG-0126-SM-9WYU2 70-79 years, male 35.2
GTEX-1NV8Z-0126-SM-G8OMO 60-69 years, male 35.2
GTEX-1H2FU-0126-SM-9WYSI 60-69 years, female 35.1
GTEX-1KXAM-2226-SM-CYPTC 60-69 years, male 35.1
GTEX-12WSL-2526-SM-5GCNJ 50-59 years, male 35.0
GTEX-145LV-2126-SM-5LU8N 50-59 years, male 35.0
GTEX-1HSKV-0226-SM-A9SKJ 60-69 years, male 34.9
GTEX-1N2EF-0226-SM-EYYXB 60-69 years, male 34.9
GTEX-Z93S-0126-SM-5HL7M 50-59 years, male 34.9
GTEX-17EUY-0426-SM-793BD 20-29 years, male 34.8
GTEX-18A6Q-0126-SM-731BZ 60-69 years, male 34.8
GTEX-1BAJH-0526-SM-793CQ 70-79 years, male 34.8
GTEX-1EWIQ-0126-SM-7RHH2 70-79 years, female 34.8
GTEX-145ME-1826-SM-5MR6H 40-49 years, female 34.7
GTEX-14BIN-0626-SM-5PNXJ 50-59 years, female 34.7
GTEX-18A66-0226-SM-718BD 60-69 years, male 34.7
GTEX-1269C-2526-SM-5EGJ3 60-69 years, female 34.6
GTEX-1OFPY-2426-SM-DTXEJ 60-69 years, male 34.6
GTEX-ZDTS-0126-SM-4WAY5 60-69 years, male 34.6
GTEX-146FQ-0126-SM-5NQA9 30-39 years, male 34.5
GTEX-1H11D-0226-SM-9WG6Z 40-49 years, male 34.5
GTEX-12WSC-0126-SM-5EQ4P 50-59 years, male 34.4
GTEX-1PWST-0226-SM-E76QJ 70-79 years, male 34.4
GTEX-131XH-2226-SM-5DUXJ 50-59 years, male 34.3
GTEX-13W46-0226-SM-5MR7H 50-59 years, male 34.3
GTEX-14A5I-0126-SM-5TDEA 50-59 years, female 34.3
GTEX-14PN3-2426-SM-6LLHS 60-69 years, female 34.3
GTEX-18D9U-0226-SM-718BP 40-49 years, male 34.2
GTEX-1JMLX-0226-SM-CM2RO 50-59 years, male 34.2
GTEX-1PPH8-0226-SM-E8VND 20-29 years, male 34.2
GTEX-131YS-0126-SM-5KM1M 60-69 years, female 34.1
GTEX-131XF-5016-SM-7MGWE 60-69 years, male 34.0
GTEX-14PN4-0126-SM-6EU2V 50-59 years, male 34.0
GTEX-11WQK-0526-SM-5EQLD 50-59 years, male 33.9
GTEX-139D8-0226-SM-5KLZO 30-39 years, female 33.9
GTEX-VUSG-2526-SM-4KL1V 50-59 years, male 33.9
GTEX-16NGA-1726-SM-731B4 40-49 years, female 33.8
GTEX-1HSEH-0126-SM-ACKXN 60-69 years, male 33.8
GTEX-R55D-0226-SM-GPRWT 50-59 years, male 33.7
GTEX-S32W-2126-SM-2XCB1 50-59 years, female 33.7
GTEX-ZVZP-2426-SM-59HKJ 50-59 years, male 33.7
GTEX-12WSK-2326-SM-5GCOH 40-49 years, female 33.6
GTEX-PLZ6-1426-SM-DKPOT 30-39 years, male 33.6
GTEX-X261-0126-SM-3NMD6 50-59 years, male 33.6
GTEX-Y111-0126-SM-4SOIV 50-59 years, male 33.6
GTEX-13SLW-0126-SM-5SI6C 70-79 years, male 33.5
GTEX-1GL5R-1826-SM-9KNUY 50-59 years, male 33.5
GTEX-1GMRU-0126-SM-9YFLV 50-59 years, male 33.5
GTEX-1LB8K-0226-SM-EWRNW 50-59 years, male 33.5
GTEX-Y5LM-1926-SM-5RQJH 40-49 years, female 33.5
GTEX-15EU6-0426-SM-6PAN5 50-59 years, male 33.4
GTEX-17F97-0326-SM-7LG5B 50-59 years, male 33.4
GTEX-1MUQO-0126-SM-EAZ58 60-69 years, male 33.3
GTEX-UPJH-0326-SM-G8OLZ 50-59 years, male 33.3
GTEX-WYVS-2126-SM-3NMA3 40-49 years, female 33.3
GTEX-131XE-2326-SM-5PNZ2 50-59 years, male 33.1
GTEX-1LH75-2426-SM-E9TJE 50-59 years, female 33.0
GTEX-XUYS-0126-SM-47JWZ 50-59 years, male 33.0
GTEX-12WSH-2426-SM-GHWOY 50-59 years, male 32.9
GTEX-1C4CL-0526-SM-73KVK 30-39 years, male 32.9
GTEX-1CB4I-0226-SM-79OLH 50-59 years, male 32.9
GTEX-1F6IF-0726-SM-7P8TW 60-69 years, male 32.9
GTEX-14ICK-0226-SM-6EU25 40-49 years, male 32.8
GTEX-1QMI2-0226-SM-EVYBX 60-69 years, male 32.8
GTEX-ZAK1-0126-SM-5IJD3 50-59 years, female 32.8
GTEX-145MO-0326-SM-5Q5B3 60-69 years, male 32.7
GTEX-1IKJJ-0126-SM-CNPQB 60-69 years, male 32.7
GTEX-12C56-1726-SM-5EQ61 20-29 years, male 32.6
GTEX-1F5PL-0326-SM-7P8PQ 40-49 years, female 32.6
GTEX-1QP66-1726-SM-E8VO1 50-59 years, male 32.6
GTEX-1R46S-0626-SM-E9J41 60-69 years, female 32.5
GTEX-Y5V5-2326-SM-4V6GA 60-69 years, female 32.5
GTEX-1128S-2326-SM-5GZZY 60-69 years, female 32.4
GTEX-1H3VE-0326-SM-9YFLH 40-49 years, male 32.4
GTEX-1HBPN-0226-SM-9YFM1 50-59 years, male 32.4
GTEX-15SHU-0126-SM-7KUEH 40-49 years, female 32.3
GTEX-1C64N-0126-SM-793D7 50-59 years, male 32.3
GTEX-1GZHY-0326-SM-9QEHI 50-59 years, female 32.3
GTEX-1IDJU-2626-SM-CM2RT 60-69 years, female 32.3
GTEX-1QP28-0126-SM-G8LMP 50-59 years, female 32.3
GTEX-1RAZS-0126-SM-G8LMW 50-59 years, male 32.2
GTEX-P4PP-0126-SM-3LK69 30-39 years, female 32.1
GTEX-WRHK-1426-SM-3MJF9 20-29 years, female 32.1
GTEX-139T8-0126-SM-5K7XZ 60-69 years, male 31.9
GTEX-13FTX-1826-SM-5J1NX 20-29 years, female 31.9
GTEX-1CB4E-2226-SM-793DC 60-69 years, male 31.9
GTEX-1F75B-0126-SM-9KNVL 50-59 years, male 31.9
GTEX-13OW5-0126-SM-DTXFS 60-69 years, male 31.8
GTEX-11P7K-2126-SM-5GU7G 30-39 years, male 31.7
GTEX-W5WG-1826-SM-4KL2Y 50-59 years, female 31.7
GTEX-17HHY-0126-SM-7LG5D 50-59 years, male 31.6
GTEX-111FC-0126-SM-5N9DL 60-69 years, male 31.5
GTEX-13IVO-0126-SM-5J1NG 70-79 years, male 31.5
GTEX-1CB4F-0426-SM-9KNV4 60-69 years, male 31.5
GTEX-PLZ5-2026-SM-GI4XI 50-59 years, male 31.5
GTEX-14LLW-0126-SM-6LLIO 70-79 years, female 31.4
GTEX-1S5ZU-0126-SM-G8OKQ 20-29 years, female 31.4
GTEX-TKQ1-1026-SM-4GICL 30-39 years, male 31.4
GTEX-1399T-2826-SM-5KLYZ 60-69 years, male 31.3
GTEX-13D11-2426-SM-5KM1V 50-59 years, female 31.3
GTEX-RM2N-1426-SM-2TF4H 50-59 years, male 31.3
GTEX-1C2JI-1826-SM-73KXC 50-59 years, male 31.2
GTEX-1ICLY-0126-SM-D4P36 50-59 years, male 31.2
GTEX-1JMQL-0226-SM-CNPP5 50-59 years, female 31.2
GTEX-X4EP-0126-SM-3P5YV 60-69 years, female 31.2
GTEX-1192X-0226-SM-5H12D 50-59 years, male 31.1
GTEX-13NYB-2526-SM-5K7Z6 40-49 years, male 31.1
GTEX-1IDJF-0126-SM-CM2RS 20-29 years, male 31.1
GTEX-XUW1-0426-SM-4BOOT 50-59 years, female 31.1
GTEX-YJ8A-0426-SM-5IFID 20-29 years, male 31.1
GTEX-12WSG-2826-SM-E9J4H 50-59 years, female 31.0
GTEX-WFG8-2226-SM-3GIL9 20-29 years, male 31.0
GTEX-13X6H-2126-SM-5O9DP 50-59 years, female 30.9
GTEX-1JN1M-0326-SM-CYPT3 60-69 years, female 30.9
GTEX-ZVE2-0226-SM-59HJB 50-59 years, male 30.9
GTEX-11TUW-2726-SM-E9J4M 60-69 years, male 30.8
GTEX-13N2G-2626-SM-5J1OT 60-69 years, male 30.8
GTEX-1R9K5-0126-SM-G8ON3 50-59 years, male 30.8
GTEX-PVOW-0126-SM-2XCFA 40-49 years, male 30.8
GTEX-R53T-1726-SM-F21ID 50-59 years, female 30.8
GTEX-13X6J-0126-SM-5QGOU 50-59 years, male 30.7
GTEX-1GZ2Q-0226-SM-7P8TL 40-49 years, male 30.7
GTEX-1PBJJ-0126-SM-GPIAI 30-39 years, male 30.7
GTEX-WQUQ-0426-SM-3MJFU 60-69 years, male 30.7
GTEX-14JG1-0426-SM-6ETZZ 40-49 years, male 30.6
GTEX-1JK1U-2026-SM-CM2RZ 60-69 years, male 30.6
GTEX-17MFQ-1726-SM-793C7 20-29 years, male 30.4
GTEX-1GPI7-0126-SM-9MQL8 20-29 years, male 30.4
GTEX-WHPG-2426-SM-3NMBQ 50-59 years, male 30.4
GTEX-16YQH-0126-SM-7DUFJ 30-39 years, male 30.3
GTEX-1IDJH-0326-SM-A9SLQ 70-79 years, male 30.3
GTEX-12ZZY-0226-SM-5LZVE 60-69 years, male 30.2
GTEX-147GR-0526-SM-5S2MY 60-69 years, male 30.1
GTEX-X4EO-0326-SM-3P5YO 60-69 years, female 30.1
GTEX-113JC-2326-SM-5EQ4E 50-59 years, female 30.0
GTEX-11DXW-0226-SM-5H122 40-49 years, male 30.0
GTEX-1A3MV-1926-SM-718BT 30-39 years, male 30.0
GTEX-11DXX-2426-SM-5GZZW 60-69 years, female 29.9
GTEX-13OVJ-0126-SM-5KM36 50-59 years, female 29.9
GTEX-1I6K6-0126-SM-A9SLE 30-39 years, male 29.9
GTEX-1JMQJ-0526-SM-CYPSU 50-59 years, male 29.9
GTEX-1O97I-0326-SM-EYYX7 60-69 years, male 29.9
GTEX-Y114-2426-SM-4TT8A 50-59 years, female 29.9
GTEX-ZYFG-2326-SM-5E44B 60-69 years, female 29.9
GTEX-11EM3-2426-SM-59861 20-29 years, female 29.8
GTEX-11WQC-2526-SM-5CVLE 60-69 years, male 29.8
GTEX-1H1CY-2826-SM-9MQM3 60-69 years, female 29.8
GTEX-1PFEY-1526-SM-E76PP 30-39 years, male 29.8
GTEX-13QJ3-0326-SM-5S2RA 50-59 years, male 29.7
GTEX-16MTA-2226-SM-GPI9K 50-59 years, male 29.7
GTEX-13VXT-0126-SM-5LU4I 20-29 years, female 29.6
GTEX-1LVA9-0126-SM-G8OLG 50-59 years, male 29.6
GTEX-144GL-0126-SM-5TDE2 50-59 years, male 29.5
GTEX-14A5H-0426-SM-5QGQF 60-69 years, male 29.5
GTEX-1B996-0226-SM-7RHGO 60-69 years, male 29.5
GTEX-1GN73-0226-SM-9WG67 60-69 years, male 29.5
GTEX-111VG-2426-SM-5GZXD 60-69 years, male 29.4
GTEX-1313W-0126-SM-5LZUN 50-59 years, female 29.4
GTEX-1B8KZ-2026-SM-7DHMB 50-59 years, male 29.4
GTEX-13O21-1426-SM-5K7XI 50-59 years, male 29.3
GTEX-1B8L1-2526-SM-9WYTF 60-69 years, male 29.3
GTEX-11LCK-1026-SM-5A5KB 30-39 years, male 29.2
GTEX-1212Z-2526-SM-5EGKP 60-69 years, male 29.2
GTEX-13113-5016-SM-7EPIP 60-69 years, female 29.2
GTEX-1EU9M-0226-SM-7P8SP 60-69 years, male 29.2
GTEX-1F5PK-2426-SM-7RHHY 50-59 years, male 29.2
GTEX-1OKEX-2326-SM-GI4XN 60-69 years, male 29.2
GTEX-18A7A-0226-SM-718BH 50-59 years, female 29.1
GTEX-1C64O-0126-SM-7SB8P 60-69 years, male 29.1
GTEX-1HBPI-1526-SM-C1YQ1 50-59 years, male 29.1
GTEX-WXYG-2326-SM-4E3I6 50-59 years, female 29.1
GTEX-14BMV-0126-SM-5S2PO 50-59 years, male 29.0
GTEX-13112-2826-SM-5DUWH 50-59 years, male 28.9
GTEX-1GF9V-0326-SM-7RHI5 60-69 years, male 28.8
GTEX-1HFI6-0226-SM-ADEHZ 40-49 years, male 28.8
GTEX-1R9JW-2626-SM-G8LN2 30-39 years, female 28.8
GTEX-1I1GQ-0126-SM-COH3H 50-59 years, male 28.7
GTEX-13FHP-0126-SM-5IJBG 50-59 years, male 28.6
GTEX-1A3MX-0126-SM-731BR 60-69 years, male 28.6
GTEX-13OW6-0426-SM-5L3HM 50-59 years, male 28.5
GTEX-1POEN-0126-SM-EYYXJ 30-39 years, female 28.5
GTEX-1CB4G-0226-SM-7PC3O 60-69 years, male 28.4
GTEX-S33H-1026-SM-EZ6L6 30-39 years, male 28.4
GTEX-XQ8I-0426-SM-4BOPO 50-59 years, male 28.4
GTEX-12KS4-0326-SM-5EQ41 30-39 years, male 28.3
GTEX-1N2DW-0226-SM-E9TK2 50-59 years, male 28.3
GTEX-1211K-2026-SM-5EQ4Z 60-69 years, female 28.1
GTEX-1RQEC-0426-SM-E6CHU 60-69 years, male 28.1
GTEX-S7PM-0126-SM-4AD6S 60-69 years, male 28.1
GTEX-XYKS-2126-SM-4E3IB 60-69 years, female 28.1
GTEX-1192W-2626-SM-5Q5AF 60-69 years, male 28.0
GTEX-12ZZZ-0626-SM-5DUXI 60-69 years, male 28.0
GTEX-13G51-2526-SM-5LZYK 60-69 years, male 28.0
GTEX-1R7EV-2426-SM-EVYBG 40-49 years, male 28.0
GTEX-SE5C-1626-SM-7SB89 40-49 years, female 28.0
GTEX-11H98-0126-SM-5EGHG 50-59 years, male 27.9
GTEX-146FR-1326-SM-5MR7K 60-69 years, female 27.9
GTEX-14PJ6-2126-SM-6EU1V 60-69 years, female 27.9
GTEX-RWS6-2026-SM-2XCB5 60-69 years, female 27.9
GTEX-117YX-2326-SM-5H12W 50-59 years, male 27.8
GTEX-14PJM-0226-SM-62LF1 50-59 years, female 27.8
GTEX-183FY-0126-SM-7LT9P 20-29 years, male 27.8
GTEX-18A7B-0126-SM-7LG64 70-79 years, male 27.8
GTEX-145LS-0126-SM-5QGP1 60-69 years, female 27.7
GTEX-145MI-0526-SM-5O9A8 60-69 years, female 27.7
GTEX-14LZ3-0226-SM-62LET 60-69 years, female 27.7
GTEX-16BQI-0226-SM-7KUEX 30-39 years, female 27.7
GTEX-1JN76-0126-SM-CNPPE 20-29 years, female 27.7
GTEX-XXEK-2226-SM-4BRUM 50-59 years, male 27.7
GTEX-13S7M-0126-SM-5SI6A 60-69 years, female 27.6
GTEX-17HHE-2026-SM-79OKF 50-59 years, male 27.6
GTEX-O5YW-0126-SM-3LK6D 50-59 years, male 27.6
GTEX-ZAB5-1826-SM-5HL7C 50-59 years, male 27.6
GTEX-13NYC-0326-SM-E9J4S 60-69 years, male 27.5
GTEX-15RIF-1926-SM-7KUDW 20-29 years, male 27.5
GTEX-15UKP-0426-SM-7KUFQ 20-29 years, male 27.5
GTEX-1JMQK-0226-SM-CL543 60-69 years, male 27.4
GTEX-YFC4-0126-SM-5CVLY 40-49 years, female 27.4
GTEX-18465-0126-SM-731BN 50-59 years, male 27.3
GTEX-1B8SG-0126-SM-73KZ3 50-59 years, male 27.3
GTEX-1B97I-1626-SM-73KYO 40-49 years, male 27.3
GTEX-PWO3-1526-SM-48TCM 60-69 years, female 27.3
GTEX-17HII-0226-SM-7LG4E 50-59 years, male 27.2
GTEX-1C6VR-2426-SM-79OLD 60-69 years, male 27.2
GTEX-1HCU9-1526-SM-A9SL7 20-29 years, male 27.2
GTEX-1HSMQ-1226-SM-CGQFX 50-59 years, male 27.2
GTEX-1LGOU-2026-SM-DIPFF 20-29 years, female 27.2
GTEX-14PJ5-1626-SM-GMXB6 60-69 years, female 27.1
GTEX-Q2AH-1626-SM-3GAF8 40-49 years, male 27.1
GTEX-VJYA-1126-SM-3GIJU 60-69 years, male 27.1
GTEX-YECK-0126-SM-GNTAW 60-69 years, male 27.1
GTEX-ZU9S-0226-SM-5E441 30-39 years, male 27.1
GTEX-1GF9W-0326-SM-9KNUN 60-69 years, male 27.0
GTEX-1RDX4-0126-SM-E9J4P 50-59 years, female 27.0
GTEX-ZE9C-2726-SM-57WB5 60-69 years, male 27.0
GTEX-ZXG5-0126-SM-5GIEU 60-69 years, male 27.0
GTEX-13OW8-1326-SM-5J1OW 60-69 years, male 26.9
GTEX-T2IS-0126-SM-4DM6O 20-29 years, female 26.9
GTEX-ZYY3-0126-SM-5GZY5 60-69 years, female 26.9
GTEX-11GSO-2426-SM-5A5LY 60-69 years, male 26.8
GTEX-11OF3-2626-SM-5GU7F 60-69 years, male 26.8
GTEX-1HCU6-0126-SM-CL54K 60-69 years, female 26.8
GTEX-1HR9M-0126-SM-GMXB4 60-69 years, male 26.7
GTEX-ZDYS-2026-SM-5HL5L 50-59 years, male 26.7
GTEX-15SKB-0126-SM-GNIOA 60-69 years, male 26.6
GTEX-ZVZO-0126-SM-5A5L9 40-49 years, male 26.6
GTEX-ZZPU-2526-SM-GOQZ3 50-59 years, female 26.6
GTEX-14E6D-0126-SM-62LDV 50-59 years, male 26.5
GTEX-16MT8-0426-SM-7KUEY 60-69 years, female 26.5
GTEX-1F6I4-0126-SM-9MQL2 60-69 years, male 26.5
GTEX-1J8Q3-1626-SM-CMKGC 60-69 years, male 26.5
GTEX-1I1GR-0126-SM-CL55F 60-69 years, male 26.4
GTEX-1J8JJ-0226-SM-CL53I 60-69 years, female 26.3
GTEX-U8XE-0326-SM-3DB8P 30-39 years, male 26.3
GTEX-139TT-0126-SM-5K7Y5 60-69 years, male 26.2
GTEX-13OVG-1926-SM-5L3DK 60-69 years, male 26.1
GTEX-OHPM-0126-SM-2YUN9 50-59 years, male 26.1
GTEX-1JMPZ-0226-SM-CNPP1 30-39 years, male 26.0
GTEX-Y3I4-2126-SM-4TT7C 50-59 years, male 26.0
GTEX-14JG6-2226-SM-6EU2G 30-39 years, female 25.9
GTEX-1FIGZ-1526-SM-GOQZS 40-49 years, male 25.9
GTEX-1JKYR-0126-SM-CNPOJ 20-29 years, male 25.9
GTEX-1QP2A-0126-SM-E9J43 50-59 years, male 25.9
GTEX-QMRM-1826-SM-GPI8E 50-59 years, male 25.9
GTEX-139TU-0126-SM-5K7WH 60-69 years, male 25.8
GTEX-16NPX-0226-SM-79OMT 50-59 years, male 25.8
GTEX-18D9B-0526-SM-7LTAS 60-69 years, male 25.8
GTEX-X4XX-0126-SM-3NMC2 60-69 years, male 25.8
GTEX-X5EB-2226-SM-46MW4 40-49 years, male 25.8
GTEX-148VI-1626-SM-5SI6E 60-69 years, female 25.7
GTEX-15G19-0126-SM-6PANQ 60-69 years, male 25.7
GTEX-1IKK5-0626-SM-ARL8A 60-69 years, male 25.7
GTEX-1MCQQ-0826-SM-DLHC2 60-69 years, male 25.7
GTEX-X585-0226-SM-4QAS2 50-59 years, male 25.7
GTEX-11P82-1626-SM-59879 20-29 years, male 25.6
GTEX-13VXU-0126-SM-5MR6G 50-59 years, male 25.6
GTEX-144GN-2326-SM-GHWQE 50-59 years, male 25.6
GTEX-1JKYN-1326-SM-CGQG9 30-39 years, male 25.6
GTEX-13OW7-0126-SM-5MR3B 50-59 years, male 25.5
GTEX-1K2DU-2326-SM-E9TIV 20-29 years, male 25.5
GTEX-1R9PN-1626-SM-F2T9N 40-49 years, female 25.5
GTEX-PWCY-1826-SM-DHXIZ 20-29 years, female 25.5
GTEX-QDVN-2026-SM-3GAEP 50-59 years, male 25.5
GTEX-ZY6K-1826-SM-5GZXK 50-59 years, male 25.5
GTEX-1F52S-0126-SM-9MQJU 60-69 years, female 25.4
GTEX-1I19N-0326-SM-ACKVX 70-79 years, male 25.4
GTEX-SN8G-0126-SM-32PLI 50-59 years, female 25.4
GTEX-WY7C-2326-SM-3NB2U 50-59 years, male 25.4
GTEX-145LU-0126-SM-5TDCB 50-59 years, male 25.3
GTEX-1LKK1-0526-SM-GQ1CR 50-59 years, female 25.3
GTEX-1N2DV-0226-SM-E6CJ6 40-49 years, male 25.3
GTEX-1QP29-0626-SM-EWRMX 50-59 years, male 25.3
GTEX-XBED-2226-SM-47JYQ 60-69 years, male 25.3
GTEX-ZVT4-0126-SM-DTXFN 50-59 years, female 25.3
GTEX-12WSA-0226-SM-5BC5V 60-69 years, male 25.2
GTEX-13OVI-1426-SM-5L3EY 60-69 years, female 25.2
GTEX-13RTJ-2426-SM-5S2Q2 60-69 years, male 25.1
GTEX-1HB9E-0226-SM-E9U4R 50-59 years, male 25.1
GTEX-1I1CD-0126-SM-CM2TK 60-69 years, female 25.1
GTEX-XPVG-2626-SM-4B669 50-59 years, male 25.1
GTEX-13OVL-0226-SM-5L3E9 50-59 years, male 25.0
GTEX-1K9T9-0126-SM-EVYCF 50-59 years, female 25.0
GTEX-S95S-1226-SM-4GICG 60-69 years, male 25.0
GTEX-117YW-2626-SM-5GZZH 50-59 years, male 24.9
GTEX-1H3NZ-0126-SM-ACKX7 60-69 years, male 24.9
GTEX-1HR98-0126-SM-B2LWI 60-69 years, male 24.9
GTEX-11NSD-2226-SM-5986V 20-29 years, male 24.8
GTEX-13PVQ-0126-SM-5MR85 50-59 years, male 24.8
GTEX-14PKU-1826-SM-GNTBD 40-49 years, female 24.8
GTEX-1J8Q2-0526-SM-CM2RW 60-69 years, male 24.8
GTEX-183WM-0126-SM-7LTAB 70-79 years, female 24.7
GTEX-1EX96-1626-SM-7PBXR 50-59 years, male 24.7
GTEX-11XUK-2026-SM-5EQLF 40-49 years, female 24.6
GTEX-11ZTS-0126-SM-5EQ6M 60-69 years, female 24.6
GTEX-13SLX-0526-SM-5S2ON 50-59 years, female 24.6
GTEX-15DYW-0126-SM-7KULE 60-69 years, female 24.6
GTEX-1KD5A-0226-SM-D5OV3 50-59 years, male 24.6
GTEX-ZAJG-0126-SM-5HL94 50-59 years, female 24.6
GTEX-11EI6-0126-SM-5985R 60-69 years, male 24.5
GTEX-13O1R-0126-SM-5L3EH 60-69 years, male 24.5
GTEX-1CAMS-0426-SM-7P8T2 40-49 years, female 24.5
GTEX-1IKOH-0226-SM-COH4E 60-69 years, female 24.5
GTEX-QLQW-1126-SM-2S1Q8 30-39 years, male 24.5
GTEX-U3ZH-2026-SM-3DB78 30-39 years, male 24.5
GTEX-WHWD-2026-SM-GNTAV 50-59 years, male 24.5
GTEX-11GS4-2726-SM-5A5LE 60-69 years, male 24.4
GTEX-13N1W-0126-SM-5K7VT 70-79 years, male 24.4
GTEX-13X6I-0626-SM-5QGP9 60-69 years, male 24.4
GTEX-1CAMQ-0226-SM-7IGPK 40-49 years, male 24.4
GTEX-1H1E6-1726-SM-ACKVK 30-39 years, male 24.4
GTEX-QV44-1926-SM-2S1RF 50-59 years, male 24.4
GTEX-RNOR-0126-SM-E9J4R 50-59 years, female 24.4
GTEX-Z93T-0126-SM-5HL5N 50-59 years, male 24.4
GTEX-1ICG6-2526-SM-CGQFZ 70-79 years, female 24.3
GTEX-ZC5H-0226-SM-4WAY9 40-49 years, female 24.3
GTEX-144FL-0126-SM-5TDC8 50-59 years, male 24.2
GTEX-145LT-1726-SM-5QGP3 40-49 years, male 24.2
GTEX-15DDE-0126-SM-6LPKH 50-59 years, female 24.2
GTEX-15SB6-1726-SM-6PAME 50-59 years, female 24.2
GTEX-1MGNQ-0126-SM-EVYCJ 40-49 years, male 24.2
GTEX-1HCVE-0126-SM-CGQEU 50-59 years, male 24.1
GTEX-13N11-2526-SM-5K7UE 50-59 years, female 24.0
GTEX-14BMU-2226-SM-5TDE9 20-29 years, female 24.0
GTEX-1F48J-0126-SM-7P8TT 50-59 years, female 24.0
GTEX-ZAB4-0226-SM-5N9F5 40-49 years, male 24.0
GTEX-169BO-1326-SM-9MQK2 50-59 years, male 23.9
GTEX-1IDFM-0126-SM-COH2V 60-69 years, male 23.9
GTEX-ZEX8-2426-SM-4WKG4 50-59 years, male 23.9
GTEX-1QAET-0926-SM-E76QM 50-59 years, male 23.8
GTEX-11DXY-2626-SM-5GIE7 60-69 years, male 23.7
GTEX-131XW-0426-SM-5LZWP 50-59 years, female 23.7
GTEX-PLZ4-0126-SM-GHWQP 50-59 years, female 23.7
GTEX-15UF6-0826-SM-6PALJ 70-79 years, female 23.6
GTEX-14ASI-0126-SM-GNINV 60-69 years, male 23.5
GTEX-XQ3S-1526-SM-4BOOC 20-29 years, male 23.5
GTEX-145MF-0626-SM-5LUAI 50-59 years, male 23.4
GTEX-1497J-2426-SM-7IGNX 60-69 years, male 23.4
GTEX-1AMFI-2026-SM-731BH 50-59 years, female 23.4
GTEX-OXRK-0226-SM-3NB2G 50-59 years, female 23.4
GTEX-13FHO-0226-SM-5IFGY 60-69 years, male 23.3
GTEX-1EKGG-0226-SM-9WYTH 60-69 years, male 23.3
GTEX-1H3VY-0126-SM-ACKXD 50-59 years, male 23.3
GTEX-QDT8-0126-SM-G8LLZ 30-39 years, female 23.3
GTEX-WVJS-0126-SM-4MVOT 50-59 years, male 23.3
GTEX-XOT4-0126-SM-GPI8M 60-69 years, female 23.3
GTEX-11ZVC-2526-SM-5FQTE 50-59 years, female 23.2
GTEX-15SDE-2226-SM-7IGLO 50-59 years, female 23.2
GTEX-1E1VI-0126-SM-7DHMZ 50-59 years, male 23.2
GTEX-15DCD-0126-SM-7KUEK 70-79 years, female 23.1
GTEX-1AX9I-0126-SM-7SB74 60-69 years, male 23.1
GTEX-1MA7X-2226-SM-E6CIY 60-69 years, male 23.1
GTEX-O5YU-0126-SM-G9EQW 60-69 years, male 23.1
GTEX-12584-0126-SM-5EGKQ 40-49 years, male 23.0
GTEX-13U4I-0126-SM-5LU38 40-49 years, female 23.0
GTEX-1F88F-2726-SM-7PBZZ 60-69 years, female 23.0
GTEX-ZTPG-0326-SM-5O9AX 20-29 years, female 23.0
GTEX-16NFA-2326-SM-7KUE5 50-59 years, male 22.9
GTEX-1LC47-0326-SM-E9TJP 60-69 years, male 22.9
GTEX-13CF3-2426-SM-5IFGX 60-69 years, female 22.8
GTEX-11OC5-0126-SM-5HL6A 60-69 years, male 22.7
GTEX-1LVAO-0126-SM-G8OKY 60-69 years, male 22.7
GTEX-Z9EW-1626-SM-5CVMN 40-49 years, male 22.7
GTEX-1H3O1-0426-SM-9YFKY 60-69 years, male 22.6
GTEX-14753-0426-SM-5NQAM 60-69 years, male 22.5
GTEX-1B933-0126-SM-7PC29 50-59 years, female 22.5
GTEX-1M4P7-0226-SM-DIPEV 60-69 years, male 22.5
GTEX-S4Z8-1626-SM-F21IY 60-69 years, male 22.5
GTEX-11O72-0126-SM-59887 40-49 years, male 22.4
GTEX-131XG-2626-SM-5KM17 50-59 years, female 22.4
GTEX-1A8FM-0226-SM-7SB7Q 50-59 years, female 22.4
GTEX-1I1HK-0126-SM-COH49 60-69 years, male 22.4
GTEX-1JMOU-1526-SM-CL54I 60-69 years, female 22.4
GTEX-S7SE-0126-SM-2XCD5 50-59 years, male 22.4
GTEX-11GSP-2526-SM-5N9BP 60-69 years, female 22.3
GTEX-1KANB-0526-SM-E6CJH 50-59 years, male 22.3
GTEX-ZVT3-0126-SM-5GU6I 60-69 years, female 22.3
GTEX-148VJ-0126-SM-5TDDN 70-79 years, male 22.2
GTEX-14E6C-0126-SM-5RQIP 40-49 years, male 22.2
GTEX-15CHC-2126-SM-6EU21 60-69 years, female 22.1
GTEX-X638-0126-SM-47JZ8 70-79 years, female 22.1
GTEX-14E7W-0126-SM-6LLJ9 70-79 years, male 22.0
GTEX-13NZA-0226-SM-5K7Z7 60-69 years, male 21.9
GTEX-OXRP-0126-SM-3NB32 60-69 years, female 21.9
GTEX-ZZPT-0226-SM-5E43X 50-59 years, male 21.9
GTEX-14DAQ-0126-SM-5S2MQ 60-69 years, female 21.8
GTEX-14PJ3-1826-SM-62LEX 50-59 years, male 21.8
GTEX-1AYD5-2426-SM-73KXR 50-59 years, male 21.8
GTEX-11ZTT-2426-SM-5EQLS 60-69 years, female 21.7
GTEX-1C6WA-0126-SM-7PC2B 60-69 years, male 21.7
GTEX-1IGQW-0126-SM-COH42 60-69 years, male 21.7
GTEX-XMK1-2126-SM-GNTAO 40-49 years, male 21.7
GTEX-13RTL-0126-SM-7LG5S 40-49 years, male 21.6
GTEX-17HGU-0226-SM-7DHKV 50-59 years, male 21.6
GTEX-1HCU8-0626-SM-A9SM9 60-69 years, female 21.6
GTEX-POMQ-2226-SM-2I5FK 20-29 years, female 21.6
GTEX-17MF6-0126-SM-7LG4F 40-49 years, male 21.5
GTEX-Q2AG-0126-SM-33HBV 40-49 years, female 21.5
GTEX-ZF28-0126-SM-4WKGK 60-69 years, male 21.5
GTEX-14E6E-1826-SM-5S2R7 30-39 years, male 21.4
GTEX-1F7RK-0126-SM-7PC2S 20-29 years, female 21.4
GTEX-WZTO-0126-SM-3NM95 40-49 years, male 21.4
GTEX-1J8EW-0126-SM-CJI4F 60-69 years, female 21.3
GTEX-1EN7A-0126-SM-7SB81 40-49 years, male 21.1
GTEX-1O9I2-0126-SM-F64A5 50-59 years, male 21.1
GTEX-OIZG-0726-SM-33HBL 50-59 years, male 21.1
GTEX-1AX9K-2326-SM-73KWU 50-59 years, male 21.0
GTEX-1C6VQ-0126-SM-7P8RI 50-59 years, male 21.0
GTEX-ZQUD-1426-SM-57WER 30-39 years, male 21.0
GTEX-1F75W-0126-SM-9KNVT 60-69 years, male 20.9
GTEX-1HKZK-0326-SM-9WYUH 40-49 years, male 20.9
GTEX-1PPH7-2326-SM-EVYB8 40-49 years, male 20.9
GTEX-SSA3-0126-SM-32QPU 60-69 years, male 20.9
GTEX-U3ZM-1526-SM-3DB9D 40-49 years, male 20.9
GTEX-1GN1V-0126-SM-9WPOS 60-69 years, male 20.8
GTEX-1H1DE-2126-SM-9WG6R 20-29 years, male 20.8
GTEX-1H23P-0126-SM-ADEJ3 60-69 years, male 20.8
GTEX-1RAZQ-0726-SM-EAZ43 30-39 years, male 20.8
GTEX-O5YT-0126-SM-48TBW 20-29 years, male 20.8
GTEX-OIZF-0126-SM-7SB8I 60-69 years, male 20.8
GTEX-X8HC-0126-SM-4E3JW 50-59 years, female 20.8
GTEX-147F4-0226-SM-5QGPW 50-59 years, male 20.7
GTEX-P44H-0226-SM-2XCEU 40-49 years, male 20.7
GTEX-15EOM-0126-SM-7KUGG 20-29 years, female 20.6
GTEX-1CAMR-1926-SM-7EPI2 20-29 years, male 20.6
GTEX-OXRO-0126-SM-G8W7T 60-69 years, female 20.6
GTEX-1A32A-0126-SM-718B1 50-59 years, female 20.5
GTEX-14A6H-0126-SM-5QGPK 30-39 years, male 20.4
GTEX-R55E-0126-SM-2TC5Y 20-29 years, male 20.4
GTEX-ZE7O-0126-SM-57WC1 50-59 years, female 20.4
GTEX-11NUK-0126-SM-5A5L3 50-59 years, male 20.3
GTEX-1IY9M-0126-SM-D3L8S 60-69 years, male 20.3
GTEX-13O3O-0126-SM-E9J49 60-69 years, female 20.2
GTEX-1QEPI-0126-SM-EWRMQ 60-69 years, female 20.2
GTEX-SIU8-0126-SM-2XCDT 50-59 years, male 20.2
GTEX-1HUB1-0426-SM-E9U4U 60-69 years, male 20.1
GTEX-1ICLZ-0126-SM-CKZPO 60-69 years, male 20.1
GTEX-1LNCM-1126-SM-E9U5E 50-59 years, female 20.0
GTEX-WOFL-0126-SM-3MJG2 60-69 years, male 20.0
GTEX-13FTY-0526-SM-5L3EV 40-49 years, female 19.9
GTEX-VJWN-0126-SM-3GIK7 50-59 years, female 19.9
GTEX-1GF9U-2126-SM-7SB7L 40-49 years, female 19.8
GTEX-RVPV-0126-SM-EAZAW 60-69 years, male 19.8
GTEX-W5X1-3026-SM-EAZAX 40-49 years, female 19.8
GTEX-1HSMP-0126-SM-E6CJS 70-79 years, male 19.7
GTEX-1JJE9-0326-SM-CL53Z 70-79 years, male 19.7
GTEX-1R9K4-0126-SM-DTX9X 60-69 years, male 19.7
GTEX-14XAO-2326-SM-6EU1B 60-69 years, female 19.6
GTEX-1IL2V-0126-SM-CM2TX 70-79 years, male 19.6
GTEX-PW2O-1526-SM-7RHHB 20-29 years, male 19.6
GTEX-XV7Q-2526-SM-4BRV9 40-49 years, female 19.6
GTEX-113IC-0126-SM-5HL6T 60-69 years, male 19.5
GTEX-11TTK-0126-SM-5987B 60-69 years, female 19.5
GTEX-QLQ7-1626-SM-2S1R8 60-69 years, male 19.5
GTEX-1N5O9-0326-SM-EY5Z4 60-69 years, male 19.4
GTEX-Y8LW-1826-SM-5S2MV 50-59 years, female 19.4
GTEX-17EVQ-0226-SM-7LG4P 70-79 years, male 19.2
GTEX-1I1GP-2226-SM-CGQFK 50-59 years, male 19.2
GTEX-1LSVX-0326-SM-GMXBS 60-69 years, male 19.2
GTEX-14ABY-0226-SM-5TDCQ 50-59 years, male 19.1
GTEX-1GPI6-0126-SM-9WG69 60-69 years, male 19.1
GTEX-1GTWX-0126-SM-9YFLK 60-69 years, male 19.1
GTEX-OHPK-0126-SM-HM8V8 50-59 years, female 19.1
GTEX-12126-0326-SM-5PNW3 20-29 years, male 19.0
GTEX-14PHW-0126-SM-6LLJI 60-69 years, female 18.9
GTEX-178AV-2026-SM-GNTCD 40-49 years, male 18.9
GTEX-ZDXO-3026-SM-5J1N5 60-69 years, male 18.9
GTEX-147F3-0526-SM-5MR69 50-59 years, female 18.7
GTEX-146FH-0126-SM-5QGPP 50-59 years, female 18.5
GTEX-11EMC-2926-SM-5EQ4F 60-69 years, female 18.4
GTEX-12WSD-0126-SM-59HKN 60-69 years, female 18.4
GTEX-1AX8Z-0126-SM-7DHM6 60-69 years, male 18.4
GTEX-11ZU8-2526-SM-5EQKI 60-69 years, male 18.3
GTEX-V1D1-2226-SM-3NMAX 50-59 years, male 18.3
GTEX-1C6VS-0526-SM-7DUEN 60-69 years, male 18.2
GTEX-XMD2-0126-SM-4YCDU 60-69 years, female 18.2
GTEX-13FH7-2026-SM-E9J4I 50-59 years, female 18.1
GTEX-1I1GS-0126-SM-B2LVW 60-69 years, male 18.1
GTEX-13O3Q-2426-SM-5IJBR 50-59 years, male 18.0
GTEX-15SHW-0326-SM-6PAML 60-69 years, male 18.0
GTEX-1F75A-0126-SM-7RHGM 50-59 years, male 18.0
GTEX-1LG7Y-0526-SM-DKPQC 50-59 years, male 18.0
GTEX-ZPIC-1726-SM-G8OM6 40-49 years, female 18.0
GTEX-14BIL-0126-SM-5MR63 50-59 years, male 17.7
GTEX-12WSN-5019-SM-79OM6 40-49 years, male 17.6
GTEX-U3ZN-2326-SM-3DB7W 30-39 years, female 17.4
GTEX-15CHQ-0126-SM-H6Q7R 60-69 years, male 17.3
GTEX-1CB4J-0626-SM-7DHMP 60-69 years, male 17.3
GTEX-1OJC4-0126-SM-E9J2E 50-59 years, female 17.3
GTEX-1GN1W-0526-SM-9MQJQ 50-59 years, female 17.2
GTEX-1A3MW-0126-SM-73KXX 60-69 years, female 17.1
GTEX-1AMEY-1326-SM-73KYK 30-39 years, female 17.1
GTEX-1IE54-0126-SM-CMKHW 40-49 years, female 17.0
GTEX-13W3W-2426-SM-5LU5B 60-69 years, female 16.8
GTEX-1MCYP-1926-SM-E9J2R 20-29 years, female 16.8
GTEX-RN64-0126-SM-2TC68 50-59 years, male 16.8
GTEX-12ZZW-0126-SM-5DUVB 50-59 years, male 16.7
GTEX-13X6K-0126-SM-GI4X1 60-69 years, female 16.7
GTEX-11UD1-0126-SM-5PNYG 40-49 years, female 16.6
GTEX-1H1ZS-0426-SM-9WG6G 70-79 years, male 16.6
GTEX-TMZS-0126-SM-3DB9Q 60-69 years, male 16.6
GTEX-13QIC-1726-SM-GHWPA 60-69 years, female 16.4
GTEX-R45C-0126-SM-EAZ2R 60-69 years, female 16.0
GTEX-Y5V6-2426-SM-4VDSB 60-69 years, male 16.0
GTEX-1NHNU-1026-SM-E9J2A 50-59 years, male 15.9
GTEX-14BIM-0226-SM-7IGLD 60-69 years, female 15.8
GTEX-15D1Q-0126-SM-7KUG6 40-49 years, male 15.5
GTEX-1AYCT-2426-SM-7IGQ3 50-59 years, male 15.5
GTEX-1EH9U-0126-SM-7SB87 60-69 years, male 15.2
GTEX-R55F-0126-SM-48FCK 50-59 years, male 15.2
GTEX-1HSMO-0126-SM-CL547 60-69 years, male 15.1
GTEX-1QP67-1626-SM-EAZ3X 40-49 years, female 15.1
GTEX-1S5VW-0126-SM-G8OM7 60-69 years, male 15.0
GTEX-1RLM8-2326-SM-EWRN4 50-59 years, male 14.9
GTEX-ZYW4-0126-SM-5E44A 60-69 years, male 14.9
GTEX-ZUA1-0126-SM-5GU76 40-49 years, male 14.7
GTEX-111CU-1926-SM-5GZYZ 50-59 years, male 14.6
GTEX-OXRL-0126-SM-2YUMP 50-59 years, male 14.6
GTEX-16XZY-2126-SM-79OK1 70-79 years, male 14.3
GTEX-1F75I-0326-SM-9YFLU 40-49 years, male 14.3
GTEX-14PK6-1926-SM-6ETZU 70-79 years, female 14.1
GTEX-X62O-0126-SM-4E3JN 50-59 years, male 14.1
GTEX-1B932-0126-SM-7PC2M 40-49 years, female 13.7
GTEX-U4B1-1826-SM-4DXSU 40-49 years, male 13.5
GTEX-14JIY-0126-SM-6LLH6 60-69 years, male 13.3
GTEX-1A8G6-0426-SM-72D6Q 60-69 years, male 12.7
GTEX-1HBPH-0426-SM-B2LW5 40-49 years, female 12.7
GTEX-1I1GU-2226-SM-CGQFA 40-49 years, male 12.3
GTEX-139T4-0226-SM-5HL5S 50-59 years, female 12.0
GTEX-X4XY-0226-SM-4E3IZ 60-69 years, male 11.9
GTEX-1R9PO-2126-SM-E9J4O 60-69 years, female 11.7
GTEX-15DCE-0226-SM-GMXBG 20-29 years, male 11.4
GTEX-N7MS-0225-SM-4E3HO 60-69 years, male 11.2
GTEX-1PBJI-0526-SM-E8VNK 20-29 years, female 11.0
GTEX-P4PQ-0126-SM-GHWQK 60-69 years, male 10.8
GTEX-11ZUS-0626-SM-59885 30-39 years, male 10.5
GTEX-1QW4Y-1526-SM-EAZ3Z 30-39 years, male 10.4
Show allShow less

Contact

  • NEWS ARTICLES
  • PRESS ROOM

The Project

  • INTRODUCTION
  • ORGANIZATION
  • PUBLICATIONS

The Human Protein Atlas

  • DOWNLOADABLE DATA
  • LICENCE & CITATION
  • HELP & FAQ
KAW logo The Human Protein Atlas project is funded
by the Knut & Alice Wallenberg Foundation.

Facebook logo X logo Bluesky logo Linkedin logo RSS feed logo contact@proteinatlas.org
GCBR logo Elixir core logo SciLifeLab logo Uppsala university logo KI logo KTH logo