We use cookies to enhance the usability of our website. If you continue, we'll assume that you are happy to receive all cookies. More information. Don't show this again.
ILRUN
HPA
RESOURCES
  • TISSUE
  • BRAIN
  • SINGLE CELL
  • SUBCELLULAR
  • CANCER
  • BLOOD
  • CELL LINE
  • STRUCTURE
  • INTERACTION
ABOUT
  • INTRODUCTION
  • HISTORY
  • ORGANIZATION
  • PUBLICATIONS
  • ACKNOWLEDGMENTS
  • CONTACT
NEWS
  • NEWS ARTICLES
  • PRESS ROOM
LEARN
  • DICTIONARY
  • PROTEIN CLASSES
  • PROTEIN EVIDENCE
  • METHODS
  • EDUCATIONAL VIDEOS
DATA
  • DOWNLOADABLE DATA
  • PUBLICATION DATA
  • RELEASE HISTORY
HELP
  • HELP & FAQ
  • ANTIBODY AVAILABILITY
  • DISCLAIMER
  • PRIVACY STATEMENT
  • LICENCE & CITATION
Fields »
Search result

Field
Term
Gene name
Class
Subclass
Category
Keyword
Chromosome
External id
Tissue
Cell type
Expression
Antibody panel
Tissue
Main location
Patient ID
Annotation
Tissue
Category
Tau score
Cluster
Reliability
Brain region
Category
Tau score
Brain region
Category
Tau score
Brain region
Category
Tau score
Cluster
Reliability
Tissue
Cell type
Enrichment
Cell type
Category
Tau score
Cell type group
Category
Tau score
Cell type
Category
Tau score
Cell type
Category
Tau score
Cell lineage
Category
Tau score
Cluster
Cluster
Location
Searches
Location
Cell line
Class
Type
Phase
Reliability
Cancer
Prognosis
Cancer
Category
Cancer
Category
Tau score
Cluster
Variants
Interacting gene (ensg_id)
Type
Number of interactions
Pathway
ipTM
Category
Category
Category
Category
Validation
Validation
Validation
Validation
Antibodies
Data type
Column


  • SUMMARY

  • TISSUE

  • BRAIN

  • SINGLE CELL

  • SUBCELL

  • CANCER

  • BLOOD

  • CELL LINE

  • STRUCTURE

  • INTERACTION

  • ILRUN
TISSUE PRIMARY DATA PROSTATE Show tissue menu
ADIPOSE TISSUE ADRENAL GLAND AMYGDALA APPENDIX BASAL GANGLIA BLOOD VESSEL BONE MARROW BREAST BRONCHUS CEREBELLUM CEREBRAL CORTEX CERVIX CHOROID PLEXUS COLON
DUODENUM ENDOMETRIUM EPIDIDYMIS ESOPHAGUS FALLOPIAN TUBE GALLBLADDER HEART MUSCLE HIPPOCAMPAL FORMATION HYPOTHALAMUS KIDNEY LIVER LUNG LYMPH NODE MIDBRAIN
NASOPHARYNX ORAL MUCOSA OVARY PANCREAS PARATHYROID GLAND PITUITARY GLAND PLACENTA PROSTATE RECTUM RETINA SALIVARY GLAND SEMINAL VESICLE SKELETAL MUSCLE SKIN
SMALL INTESTINE SMOOTH MUSCLE SOFT TISSUE SPINAL CORD SPLEEN STOMACH TESTIS THYMUS THYROID GLAND TONGUE TONSIL URINARY BLADDER VAGINA
ANTIBODIES
AND
VALIDATION
Dictionary
Prostate
Tissue proteome
Prostate
Tissue methods
PROSTATE - Expression summary
Protein expression
Prostatei

On the top, protein expression in current human tissue, based on all annotated cell types, is reported with the units not detected (n), low (l), medium (m) and high (h). Underneath, protein expression in each annotated cell type are reported using the same units. Protein expression data is based on knowledge-based annotation. For genes where more than one antibody has been used, a collective score is set. If knowledge-based annotation could not be performed for a gene, no data is displayed here. View antibody staining data further down this page.

h
m
l
n
Glandular cells: Low
RNA expressioni

A summary of mRNA expression data available for current tissue based on several datasets. The mRNA expression levels in human tissues are based on RNA-seq data generated by the Human Protein Atlas HPA, Genotype-Tissue Expression GTEx portal and CAGE data generated by the FANTOM5 consortium. Consensus normalized expression levels for human tissues was created by combining the data from HPA and GTEx datasets. The mRNA expression levels in pig brain are based on RNA-seq data generated by the Human Protein Atlas, and for mouse brain HPA data and in situ hybridization generated by the Allen brain atlas dataset are reported.

Scroll down to view mRNA expression data in more detail.

Consensus:29.3 nTPM
HPA:26.1 nTPM
GTEx:29.3 nTPM
FANTOM5:10.7 Scaled Tags Per Million
PROSTATE - SINGLE CELL RNA EXPRESSION
Explore single cell type data

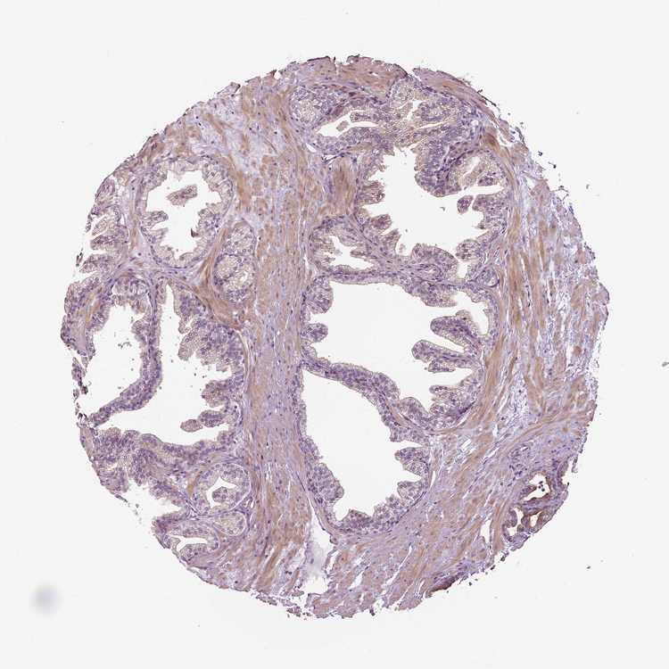
PROSTATE - Antibody stainingi

Antibody staining in the annotated cell types in the current human tissue is reported as not detected, low, medium, or high, based on conventional immunohistochemistry profiling in selected tissues. This score is based on the combination of the staining intensity and fraction of stained cells. Each image is clickable and will lead to virtual microscopy that enables deeper exploration of all samples and also displays staining intensity scores, fraction scores and subcellular localization as well as patient and tissue information for each sample.

Ascending and descending describe two types of gradient, based on difference in staining intensity between enterocytes in crypts and apical enterocytes.

Ascending - the staining intensity is stronger in apical enterocytes (towards the lumen) compared to enterocytes in the crypts (gland based)

Descending - the staining is weaker in apical enterocytes compared to enterocytes in crypts

Antibody HPA034489Antibody HPA034490
Glandular cells LowLow




PROSTATE - HPA RNA-seqi

The RNA-seq details section shows detailed information about the individual samples used for the transcript profiling and results of the RNA-seq analysis.

Information about each individual sample is listed below, including gender, age, a tissue section image and estimated fractions of cell types. nTPM (normalized transcripts per million) values give a quantification of the gene abundance which is comparable between different genes and samples.

Average nTPMi

Max subtype nTPM is the value for the subtype with the largest average nTPM across the subtype samples.

26.1
overview
Male, age 62
Prostate sample 59
nTPM: 29.5
Cell types%
Glandular cells:
30

Smooth muscle cells:
55

Skeletal muscle cells:
5

Other cell types:
10

N/A
Male, age 65
Prostate sample 205
nTPM: 20.8
Cell types%
Glandular cells:
20

Smooth muscle cells:
60

Other cell types:
20

overview
Male, age 65
Prostate sample 206
nTPM: 20.4
Cell types%
Glandular cells:
30

Smooth muscle cells:
65

Other cell types:
5

overview
Male, age 68
Prostate sample 207
nTPM: 21.8
Cell types%
Glandular cells:
30

Smooth muscle cells:
65

Other cell types:
5

overview
Male, age 60
Prostate sample 361
nTPM: 31.2
Cell types%
Glandular cells:
40

Smooth muscle cells:
55

Other cell types:
5

overview
Male, age 66
Prostate sample 364
nTPM: 32.7
Cell types%
Glandular cells:
50

Smooth muscle cells:
45

Other cell types:
5

overview
Male, age 63
Prostate sample 365
nTPM: 23.2
Cell types%
Glandular cells:
60

Smooth muscle cells:
35

Other cell types:
5

overview
Male, age 66
Prostate sample 388
nTPM: 21.3
Cell types%
Glandular cells:
65

Smooth muscle cells:
30

Other cell types:
5

overview
Male, age 58
Prostate sample 412
nTPM: 34
Cell types%
Glandular cells:
45

Smooth muscle cells:
50

Other cell types:
5


PROSTATE - GTEx RNA-seqi

RNA-Seq data generated by the Genotype-Tissue Expression (GTEx) project from human tissues is reported as mean nTPM. More information can be found on the GTEx portal.

Distribution across the dataset is visualized with box plots, shown as median and 25th and 75th percentiles. Points are displayed as outliers if they are above or below 1.5 times the interquartile range. nTPM values of the individual samples are presented next to the box plot.

Max subtype nTPMi

Max subtype nTPM is the value for the subtype with the largest average nTPM across the subtype samples.

29.3
GTEx sample id Sample description nTPM
Prostate
Average nTPM: 29.3
Samples: 282

Max nTPM: 65.0
Min nTPM: 17.2
Std nTPM: 7.3
Median nTPM: 27.6
GTEX-16MTA-1426-SM-6PALY 50-59 years, male 65.0
GTEX-1HBPN-2126-SM-9WPNQ 50-59 years, male 57.2
GTEX-1497J-0926-SM-GNINU 60-69 years, male 56.8
GTEX-17HHE-1126-SM-793BS 50-59 years, male 55.2
GTEX-11DXZ-1826-SM-5H12Y 50-59 years, male 53.4
GTEX-OOBK-2025-SM-3LK5S 40-49 years, male 51.0
GTEX-14PJ3-1726-SM-5ZZVH 50-59 years, male 48.8
GTEX-SUCS-1126-SM-4DM61 70-79 years, male 48.6
GTEX-ZG7Y-2226-SM-DO92I 50-59 years, male 47.5
GTEX-1R7EU-0126-SM-EVR4F 60-69 years, male 46.0
GTEX-1KXAM-1126-SM-E9TJU 60-69 years, male 45.9
GTEX-T5JC-1226-SM-4DM7C 20-29 years, male 45.4
GTEX-1N2DV-1226-SM-GPI8R 40-49 years, male 43.8
GTEX-15RIF-1526-SM-6M46K 20-29 years, male 43.2
GTEX-XXEK-1226-SM-4BRUY 50-59 years, male 42.9
GTEX-14C5O-2826-SM-5RQI6 60-69 years, male 42.5
GTEX-14E6E-1126-SM-5S2R4 30-39 years, male 42.4
GTEX-12696-2226-SM-5EQ65 60-69 years, male 41.9
GTEX-15G1A-1326-SM-G8W6T 30-39 years, male 41.4
GTEX-U8XE-2526-SM-4E3IT 30-39 years, male 41.4
GTEX-1MJK2-0726-SM-DTXE7 50-59 years, male 41.2
GTEX-1GN2E-2026-SM-9JGGG 60-69 years, male 41.1
GTEX-NPJ8-2426-SM-3MJHL 40-49 years, male 41.0
GTEX-S3XE-1326-SM-4AD4H 50-59 years, male 41.0
GTEX-14753-2326-SM-GJ3PV 60-69 years, male 40.1
GTEX-1E1VI-2726-SM-7MXVH 50-59 years, male 39.5
GTEX-YJ8A-1126-SM-5IFJU 20-29 years, male 39.2
GTEX-1S5VW-2826-SM-HK7AS 60-69 years, male 38.9
GTEX-1CAMR-5009-SM-HL122 20-29 years, male 38.8
GTEX-1IDJD-2026-SM-A96TC 30-39 years, male 38.5
GTEX-1KANA-1026-SM-D3L9L 20-29 years, male 37.5
GTEX-14PJ4-1226-SM-5YY9U 60-69 years, male 37.2
GTEX-16YQH-2326-SM-7EWDS 30-39 years, male 37.1
GTEX-1LSNM-1826-SM-GPRY6 50-59 years, male 36.8
GTEX-14DAR-1026-SM-73KV3 50-59 years, male 36.5
GTEX-Q2AI-1126-SM-48U19 40-49 years, male 36.3
GTEX-11EQ9-1726-SM-5HL6U 30-39 years, male 35.9
GTEX-144GO-1926-SM-G8OLL 60-69 years, male 35.9
GTEX-1MUQO-1526-SM-DPRYK 60-69 years, male 35.9
GTEX-14E6C-2826-SM-664NC 40-49 years, male 35.8
GTEX-ZVZP-1326-SM-G8W73 50-59 years, male 35.7
GTEX-1K2DA-1226-SM-CGQGH 50-59 years, male 35.4
GTEX-WK11-2626-SM-4M9QW 50-59 years, male 35.3
GTEX-11WQK-2726-SM-5EQMU 50-59 years, male 35.1
GTEX-132QS-1126-SM-5P9GC 60-69 years, male 35.1
GTEX-1GMR3-1826-SM-HAUZB 40-49 years, male 34.8
GTEX-WL46-2126-SM-GQ1DY 50-59 years, male 34.8
GTEX-ZEX8-2026-SM-4WKF3 50-59 years, male 34.8
GTEX-1B8KE-1026-SM-731EQ 50-59 years, male 34.7
GTEX-QLQ7-1326-SM-CNNOR 60-69 years, male 34.6
GTEX-1J8Q3-0926-SM-A96SU 60-69 years, male 34.3
GTEX-132NY-2826-SM-5P9G2 60-69 years, male 34.2
GTEX-RM2N-1126-SM-48FCY 50-59 years, male 34.0
GTEX-1JKYN-0926-SM-AHZ47 30-39 years, male 33.7
GTEX-145LT-0626-SM-5O99E 40-49 years, male 33.6
GTEX-1KWVE-1226-SM-EV7AG 30-39 years, male 33.6
GTEX-XBED-1826-SM-GPI9U 60-69 years, male 33.6
GTEX-13RTJ-2126-SM-5S2PZ 60-69 years, male 33.5
GTEX-1H1E6-0526-SM-9WPQ3 30-39 years, male 33.5
GTEX-111CU-1526-SM-5N9FS 50-59 years, male 33.4
GTEX-1L5NE-1026-SM-D3LAP 50-59 years, male 33.3
GTEX-13111-1326-SM-5GCNO 50-59 years, male 33.2
GTEX-145LU-2126-SM-5Q5E9 50-59 years, male 33.1
GTEX-1JJ6O-0726-SM-CY8HS 60-69 years, male 33.1
GTEX-ZUA1-2826-SM-59HLE 40-49 years, male 33.1
GTEX-1CB4G-2526-SM-7MXTG 60-69 years, male 32.9
GTEX-1I6K7-2326-SM-ARZM2 40-49 years, male 32.9
GTEX-SNOS-1026-SM-4DM4Y 40-49 years, male 32.9
GTEX-ZYFD-2526-SM-5E45L 50-59 years, male 32.7
GTEX-1H3VY-2726-SM-A96TL 50-59 years, male 32.6
GTEX-1QP29-0526-SM-EAZ3T 50-59 years, male 32.6
GTEX-NFK9-2226-SM-3MJGP 40-49 years, male 32.6
GTEX-1I1GU-1126-SM-A96S9 40-49 years, male 32.4
GTEX-1RAZQ-0826-SM-EVR4L 30-39 years, male 32.4
GTEX-17MFQ-1326-SM-718BX 20-29 years, male 32.3
GTEX-1HSMO-2326-SM-CGQF3 60-69 years, male 32.3
GTEX-1JK1U-0926-SM-AHZ43 60-69 years, male 32.3
GTEX-ZT9W-1626-SM-4YCDQ 50-59 years, male 32.2
GTEX-111YS-1726-SM-5GIED 60-69 years, male 32.0
GTEX-1C6WA-2326-SM-7P8OW 60-69 years, male 31.9
GTEX-1GF9W-2026-SM-7MXVO 60-69 years, male 31.9
GTEX-V1D1-1926-SM-4JBGX 50-59 years, male 31.9
GTEX-ZTX8-1026-SM-5EGHD 20-29 years, male 31.9
GTEX-1AX9J-1426-SM-731BV 60-69 years, male 31.8
GTEX-1QCLY-1826-SM-DTX89 30-39 years, male 31.8
GTEX-OOBJ-2026-SM-3NB1R 60-69 years, male 31.8
GTEX-XGQ4-1826-SM-4AT6F 50-59 years, male 31.8
GTEX-1OFPY-0426-SM-HL9SZ 60-69 years, male 31.6
GTEX-S33H-1826-SM-4AD65 30-39 years, male 31.3
GTEX-S4Z8-1126-SM-G8W6Z 60-69 years, male 31.3
GTEX-1KAFJ-1226-SM-D4P46 50-59 years, male 31.2
GTEX-OIZH-2026-SM-3NB1M 50-59 years, male 31.2
GTEX-WH7G-1726-SM-4LVKY 40-49 years, male 31.2
GTEX-12BJ1-1226-SM-5LUAE 60-69 years, male 31.1
GTEX-1S831-1226-SM-EVR5D 20-29 years, male 31.1
GTEX-14ICK-1826-SM-69LOP 40-49 years, male 30.9
GTEX-1HSEH-0626-SM-GA91P 60-69 years, male 30.6
GTEX-1I6K6-2126-SM-B2LX6 30-39 years, male 30.6
GTEX-13NYS-1026-SM-5KLZT 60-69 years, male 30.5
GTEX-13O61-1726-SM-5KM46 60-69 years, male 30.5
GTEX-1OKEX-1826-SM-DTX8J 60-69 years, male 30.4
GTEX-U3ZM-0926-SM-4DXSW 40-49 years, male 30.3
GTEX-17F96-2326-SM-GOQZI 70-79 years, male 30.2
GTEX-1HBPI-0326-SM-A9G3N 50-59 years, male 30.2
GTEX-1ICLY-2826-SM-HL9UL 50-59 years, male 30.2
GTEX-1BAJH-0626-SM-7P8OY 70-79 years, male 30.1
GTEX-XQ3S-2526-SM-4BOOG 20-29 years, male 30.0
GTEX-139T6-1526-SM-5P9G6 50-59 years, male 29.9
GTEX-17EUY-2026-SM-79OMV 20-29 years, male 29.9
GTEX-1QP2A-1526-SM-E6CPN 50-59 years, male 29.9
GTEX-SNMC-0926-SM-4DM5U 20-29 years, male 29.8
GTEX-18QFQ-2026-SM-72D7J 30-39 years, male 29.7
GTEX-R55C-1326-SM-H6Q79 40-49 years, male 29.7
GTEX-1PFEY-0626-SM-E76PH 30-39 years, male 29.5
GTEX-ZVP2-0926-SM-59HK6 50-59 years, male 29.5
GTEX-15CHR-5014-SM-HTQ8D 50-59 years, male 29.4
GTEX-WFON-1626-SM-4LVMV 40-49 years, male 29.4
GTEX-11P7K-0626-SM-5985Z 30-39 years, male 29.3
GTEX-1LBAC-1926-SM-DHXK2 20-29 years, male 29.3
GTEX-1I1GP-2026-SM-CE6SZ 50-59 years, male 29.0
GTEX-1GN73-1626-SM-9WYTS 60-69 years, male 28.8
GTEX-QV44-1526-SM-DHXIP 50-59 years, male 28.8
GTEX-11TT1-2026-SM-5EQM8 20-29 years, male 28.7
GTEX-178AV-0426-SM-6LPJG 40-49 years, male 28.6
GTEX-17HII-2526-SM-7LT8C 50-59 years, male 28.6
GTEX-1CB4J-1526-SM-7MXVB 60-69 years, male 28.6
GTEX-1O97I-2326-SM-F3K4D 60-69 years, male 28.6
GTEX-QEG5-2426-SM-EYYVC 20-29 years, male 28.5
GTEX-17HGU-2226-SM-7IGLI 50-59 years, male 28.4
GTEX-1GZ2Q-2426-SM-9KNV8 40-49 years, male 28.4
GTEX-1JN6P-2626-SM-D4P3C 60-69 years, male 28.4
GTEX-Q2AH-1426-SM-EXOHC 40-49 years, male 28.4
GTEX-1RAZR-2326-SM-F2T9L 40-49 years, male 28.1
GTEX-WZTO-0926-SM-4PQZ3 40-49 years, male 28.1
GTEX-1JMLX-1226-SM-CY8HW 50-59 years, male 27.9
GTEX-117YX-1526-SM-5H12T 50-59 years, male 27.8
GTEX-1PIGE-1726-SM-E6CQH 20-29 years, male 27.7
GTEX-V955-1826-SM-4JBIL 60-69 years, male 27.7
GTEX-YB5E-1826-SM-5IFI4 40-49 years, male 27.7
GTEX-16XZZ-2426-SM-7KULN 60-69 years, male 27.6
GTEX-1EH9U-1826-SM-7P8QL 60-69 years, male 27.6
GTEX-14BIL-2126-SM-73KW3 50-59 years, male 27.5
GTEX-1AX8Z-5019-SM-AHZ2C 60-69 years, male 27.5
GTEX-P4QS-2026-SM-3NMCG 60-69 years, male 27.5
GTEX-QEG4-2226-SM-CXZJD 30-39 years, male 27.5
GTEX-1I1GV-1926-SM-CNPQH 60-69 years, male 27.4
GTEX-1PPGY-0126-SM-F2I3L 60-69 years, male 27.4
GTEX-1399R-0526-SM-5IJEF 30-39 years, male 27.3
GTEX-1R9K5-2426-SM-F33ZN 50-59 years, male 27.3
GTEX-ZT9X-1326-SM-H6Q6C 40-49 years, male 27.3
GTEX-11TUW-2126-SM-5GU7B 60-69 years, male 27.2
GTEX-1AX9K-1526-SM-73KVP 50-59 years, male 27.2
GTEX-WFG8-1826-SM-4LVM4 20-29 years, male 27.2
GTEX-13PVQ-2626-SM-HAV3E 50-59 years, male 27.1
GTEX-1S3DN-1926-SM-E6CIR 50-59 years, male 27.1
GTEX-14ICL-1426-SM-H6Q7A 30-39 years, male 27.0
GTEX-1PDJ9-1326-SM-HL9SU 20-29 years, male 27.0
GTEX-OIZF-2026-SM-3MJH1 60-69 years, male 27.0
GTEX-XAJ8-0626-SM-47JY4 40-49 years, male 27.0
GTEX-ZZ64-0926-SM-5E44L 20-29 years, male 27.0
GTEX-144GM-5005-SM-HL11P 20-29 years, male 26.9
GTEX-1JMQK-2226-SM-ARU8U 60-69 years, male 26.8
GTEX-1LG7Z-0826-SM-CXKYN 30-39 years, male 26.8
GTEX-12WSC-2626-SM-GIN9C 50-59 years, male 26.7
GTEX-QMRM-1426-SM-CM2U2 50-59 years, male 26.7
GTEX-1P4AB-1926-SM-E6CQL 50-59 years, male 26.6
GTEX-U4B1-1426-SM-4DXTX 40-49 years, male 26.6
GTEX-14PJ2-2126-SM-5YY96 50-59 years, male 26.5
GTEX-1HSMQ-5014-SM-HAUXN 50-59 years, male 26.5
GTEX-ZPU1-2026-SM-57WFI 40-49 years, male 26.5
GTEX-1399T-1226-SM-5P9J5 60-69 years, male 26.4
GTEX-T6MN-2126-SM-EZ6LC 50-59 years, male 26.4
GTEX-17HHY-2526-SM-7IGME 50-59 years, male 26.3
GTEX-1F6I4-1326-SM-7P8QQ 60-69 years, male 26.3
GTEX-1LG7Y-2426-SM-EVR57 50-59 years, male 26.3
GTEX-1LSNL-2326-SM-DHXKN 50-59 years, male 26.3
GTEX-SIU8-2226-SM-EAZ2T 50-59 years, male 26.3
GTEX-RVPV-2526-SM-EYYVL 60-69 years, male 26.2
GTEX-Y111-2326-SM-HL9TX 50-59 years, male 26.2
GTEX-14A5H-2026-SM-HAV19 60-69 years, male 26.1
GTEX-1JJE9-0426-SM-D4P2P 70-79 years, male 26.1
GTEX-XMK1-1026-SM-4B65H 40-49 years, male 26.1
GTEX-XPVG-2026-SM-4B65E 50-59 years, male 26.1
GTEX-QV31-1026-SM-CNNOS 30-39 years, male 26.0
GTEX-T8EM-1826-SM-4DM7F 40-49 years, male 26.0
GTEX-X5EB-1826-SM-4E3K8 40-49 years, male 26.0
GTEX-1PPH8-1426-SM-DTXA3 20-29 years, male 25.9
GTEX-ZDYS-1226-SM-5IJF3 50-59 years, male 25.9
GTEX-1C6VQ-2426-SM-7EWEU 50-59 years, male 25.8
GTEX-13FTW-1226-SM-5LZZ1 40-49 years, male 25.7
GTEX-PLZ6-1126-SM-3P5ZR 30-39 years, male 25.7
GTEX-12WSN-5007-SM-7MGWH 40-49 years, male 25.6
GTEX-146FQ-1726-SM-5QGPX 30-39 years, male 25.6
GTEX-148VJ-1826-SM-5Q5DV 70-79 years, male 25.6
GTEX-1OJC3-1926-SM-DPRYV 20-29 years, male 25.6
GTEX-1N2EE-1026-SM-EXUS8 60-69 years, male 25.3
GTEX-WYJK-0626-SM-4ONCZ 50-59 years, male 25.3
GTEX-1MGNQ-2226-SM-EV7A2 40-49 years, male 25.2
GTEX-S4Q7-1026-SM-4AD75 20-29 years, male 25.2
GTEX-UTHO-2726-SM-4JBH9 60-69 years, male 25.2
GTEX-ZY6K-1526-SM-5GZXE 50-59 years, male 25.2
GTEX-11O72-2726-SM-5HL6K 40-49 years, male 25.1
GTEX-ZLFU-1726-SM-4WWBU 40-49 years, male 25.1
GTEX-18A66-2326-SM-7LT8Q 60-69 years, male 25.0
GTEX-1GZ4I-2226-SM-9WPPO 50-59 years, male 25.0
GTEX-1HSKV-1726-SM-C1YRO 60-69 years, male 25.0
GTEX-147JS-2826-SM-5YYA7 60-69 years, male 24.9
GTEX-REY6-2126-SM-48FD9 60-69 years, male 24.9
GTEX-1EKGG-2826-SM-7MGXA 60-69 years, male 24.8
GTEX-13OW8-0426-SM-5J2NR 60-69 years, male 24.7
GTEX-14JG1-2426-SM-H7OF7 40-49 years, male 24.7
GTEX-1J1R8-0726-SM-GA8ZS 40-49 years, male 24.7
GTEX-1JKYR-1726-SM-C1YR6 20-29 years, male 24.7
GTEX-XQ8I-2526-SM-EAZB3 50-59 years, male 24.7
GTEX-13O21-1126-SM-5N9EV 50-59 years, male 24.5
GTEX-1B97I-0826-SM-731DN 40-49 years, male 24.2
GTEX-1S5ZA-1626-SM-E9TKG 20-29 years, male 24.2
GTEX-13FXS-2826-SM-5LZYC 50-59 years, male 24.1
GTEX-1AX9I-2326-SM-7PBXV 60-69 years, male 24.1
GTEX-11LCK-0626-SM-GINA6 30-39 years, male 24.0
GTEX-16GPK-2826-SM-6LPJ6 60-69 years, male 24.0
GTEX-111FC-2026-SM-5GZYO 60-69 years, male 23.9
GTEX-11NSD-0826-SM-5986S 20-29 years, male 23.7
GTEX-1GL5R-1226-SM-7MXUY 50-59 years, male 23.7
GTEX-ZYT6-2526-SM-5GZYF 30-39 years, male 23.7
GTEX-13G51-2326-SM-5LZXV 60-69 years, male 23.6
GTEX-1HKZK-1626-SM-B2LWH 40-49 years, male 23.5
GTEX-Y9LG-1826-SM-4VBQC 30-39 years, male 23.5
GTEX-1ICLZ-2626-SM-A9G2K 60-69 years, male 23.3
GTEX-131XF-5013-SM-7EWFI 60-69 years, male 23.2
GTEX-1GF9V-0726-SM-9KNU4 60-69 years, male 23.2
GTEX-1IDJF-2126-SM-AHZ2S 20-29 years, male 23.2
GTEX-12C56-1326-SM-5FQSV 20-29 years, male 23.1
GTEX-1PBJJ-1626-SM-F2I3K 30-39 years, male 23.1
GTEX-YF7O-1926-SM-4W1YQ 50-59 years, male 23.1
GTEX-XPT6-1526-SM-HL9TQ 20-29 years, male 22.9
GTEX-ZTTD-2726-SM-57WFA 50-59 years, male 22.9
GTEX-117YW-1426-SM-5EGGO 50-59 years, male 22.8
GTEX-14BMV-2326-SM-5RQJ4 50-59 years, male 22.8
GTEX-1RQEC-2326-SM-F33ZO 60-69 years, male 22.8
GTEX-N7MS-2226-SM-H6Q67 60-69 years, male 22.8
GTEX-1B8KZ-1626-SM-73KUU 50-59 years, male 22.6
GTEX-S95S-1026-SM-4B64M 60-69 years, male 22.6
GTEX-14ABY-0726-SM-5Q5DF 50-59 years, male 22.5
GTEX-1C64O-2026-SM-7IGPA 60-69 years, male 22.5
GTEX-SJXC-2026-SM-4DM6N 60-69 years, male 22.5
GTEX-11P82-1126-SM-5BC5K 20-29 years, male 22.4
GTEX-11ZUS-2126-SM-5N9E6 30-39 years, male 22.4
GTEX-1CB4F-2326-SM-7MKFO 60-69 years, male 22.4
GTEX-1HFI6-2326-SM-9WYUN 40-49 years, male 22.3
GTEX-RWSA-2026-SM-47JX8 40-49 years, male 22.3
GTEX-U412-2026-SM-4DXSI 60-69 years, male 22.2
GTEX-WY7C-2026-SM-4ONCM 50-59 years, male 22.2
GTEX-12KS4-2526-SM-GIN9O 30-39 years, male 22.0
GTEX-Y8E4-2126-SM-5RQHO 40-49 years, male 22.0
GTEX-1CAMQ-2226-SM-G8W6J 40-49 years, male 21.9
GTEX-1GPI7-1626-SM-7P8TN 20-29 years, male 21.7
GTEX-18A6Q-2526-SM-HAV38 60-69 years, male 21.4
GTEX-WOFM-0326-SM-4M9QX 20-29 years, male 21.4
GTEX-1QP6S-0726-SM-E76QS 40-49 years, male 21.1
GTEX-P4PQ-2026-SM-E9U4E 60-69 years, male 21.1
GTEX-11OF3-1726-SM-5GU5Q 60-69 years, male 21.0
GTEX-1EU9M-1526-SM-79OLI 60-69 years, male 20.9
GTEX-145LV-1226-SM-5S2QH 50-59 years, male 20.6
GTEX-1CB4E-1726-SM-7IGMS 60-69 years, male 20.6
GTEX-15CHQ-2826-SM-HAUZ4 60-69 years, male 20.5
GTEX-12ZZZ-2026-SM-5LZWJ 60-69 years, male 20.4
GTEX-1IL2U-2826-SM-A96SR 60-69 years, male 20.3
GTEX-1I19N-2226-SM-A96TS 70-79 years, male 20.2
GTEX-13N2G-1826-SM-5KM1I 60-69 years, male 20.1
GTEX-14PJO-2826-SM-6AJA6 60-69 years, male 20.0
GTEX-1JMPZ-2326-SM-CE6RW 30-39 years, male 19.9
GTEX-13YAN-2226-SM-GJ3QA 60-69 years, male 19.8
GTEX-11DYG-2526-SM-5N9BB 60-69 years, male 19.7
GTEX-OXRL-2026-SM-E6CHN 50-59 years, male 19.1
GTEX-16NFA-5014-SM-HL121 50-59 years, male 18.7
GTEX-1A3MV-0826-SM-72D6J 30-39 years, male 18.7
GTEX-1IDJH-2426-SM-CNNQW 70-79 years, male 18.6
GTEX-U3ZH-0926-SM-4DXU4 30-39 years, male 18.6
GTEX-1KANB-2026-SM-DIPEY 50-59 years, male 18.4
GTEX-13FHO-2826-SM-5K7ZA 60-69 years, male 17.6
GTEX-1H3NZ-2826-SM-9WPQ7 60-69 years, male 17.2
Show allShow less

PROSTATE - FANTOM5 CAGEi

RNA expression in human tissues obtained through Cap Analysis of Gene Expression (CAGE) generated by the FANTOM5 project are reported as Scaled Tags Per Million.

Max subtype Scaled Tags Per Millioni

Max subtype Scaled Tags Per Million is the value for the subtype with the largest average Scaled Tags Per Million across the subtype samples.

10.7
FANTOM5 sample id Sample description Scaled Tags Per Million
Prostate
Scaled Tags Per Million: 10.7
FF:10022-101D4 73,79,93 years, male 10.7

Contact

  • NEWS ARTICLES
  • PRESS ROOM

The Project

  • INTRODUCTION
  • ORGANIZATION
  • PUBLICATIONS

The Human Protein Atlas

  • DOWNLOADABLE DATA
  • LICENCE & CITATION
  • HELP & FAQ
KAW logo The Human Protein Atlas project is funded
by the Knut & Alice Wallenberg Foundation.

Facebook logo X logo Bluesky logo Linkedin logo RSS feed logo contact@proteinatlas.org
GCBR logo Elixir core logo SciLifeLab logo Uppsala university logo KI logo KTH logo