SMIM17 - a `Gene Doe` of the brain

2025-03-20
Human Protein Atlas

SMIM17.PNG

Among the about 20,000 genes giving rise to the human proteome there are still many rather unknown but potentially interesting genes that deserve some extra attention. Here we will focus on SMIM17, a gene with little evidence and specific expression in the brain.

SMIM17 or Small Integral Membrane protein17 is, as the name suggests, not a particularly well-annotated gene. It has two protein-coding isoforms of about 100 amino acids of which one has a C-terminal membrane region according to Ensembl, but this protein lacks both protein and transcript evidence in UniProt. However, data in the Human Protein Atlas suggest that this protein deserves a little more attention.

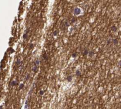
The expression profiles in both bulk and single cell RNAseq show elevated expression in brain and more specifically in inhibitory neurons, excitatory neurons, bipolar cells and astrocytes. Expression clustering and correlation of tissue and single cell RNAseq data further show SMIM17 to cluster together with other genes known to be related to Neuronal - Synaptic function and Neurons - Neuronal signaling. These findings have been partly confirmed on the protein level using immunohistochemistry that show staining of the protein almost exclusively in neuropil in cerebral cortex . This could be a starting point to further understand the function of this interesting protein.