We use cookies to enhance the usability of our website. If you continue, we'll assume that you are happy to receive all cookies. More information. Don't show this again.
AMPH
HPA
RESOURCES
  • TISSUE
  • BRAIN
  • SINGLE CELL
  • SUBCELLULAR
  • CANCER
  • BLOOD
  • CELL LINE
  • STRUCTURE
  • INTERACTION
ABOUT
  • INTRODUCTION
  • HISTORY
  • ORGANIZATION
  • PUBLICATIONS
  • ACKNOWLEDGMENTS
  • CONTACT
NEWS
  • NEWS ARTICLES
  • PRESS ROOM
LEARN
  • DICTIONARY
  • PROTEIN CLASSES
  • PROTEIN EVIDENCE
  • METHODS
  • EDUCATIONAL VIDEOS
DATA
  • DOWNLOADABLE DATA
  • PUBLICATION DATA
  • RELEASE HISTORY
HELP
  • HELP & FAQ
  • ANTIBODY AVAILABILITY
  • DISCLAIMER
  • PRIVACY STATEMENT
  • LICENCE & CITATION
Fields »
Search result

Field
Term
Gene name
Class
Subclass
Category
Keyword
Chromosome
External id
Tissue
Cell type
Expression
Antibody panel
Tissue
Main location
Patient ID
Annotation
Tissue
Category
Tau score
Cluster
Reliability
Brain region
Category
Tau score
Brain region
Category
Tau score
Brain region
Category
Tau score
Cluster
Reliability
Tissue
Cell type
Enrichment
Cell type
Category
Tau score
Cell type group
Category
Tau score
Cell type
Category
Tau score
Cell type
Category
Tau score
Cell lineage
Category
Tau score
Cluster
Cluster
Location
Searches
Location
Cell line
Class
Type
Phase
Reliability
Cancer
Prognosis
Cancer
Category
Cancer
Category
Tau score
Cluster
Variants
Interacting gene (ensg_id)
Type
Number of interactions
Pathway
ipTM
Category
Category
Category
Category
Validation
Validation
Validation
Validation
Antibodies
Data type
Column


  • SUMMARY

  • TISSUE

  • BRAIN

  • SINGLE CELL

  • SUBCELL

  • CANCER

  • BLOOD

  • CELL LINE

  • STRUCTURE

  • INTERACTION

  • AMPH
TISSUE PRIMARY DATA PANCREAS Show tissue menu
ADIPOSE TISSUE ADRENAL GLAND AMYGDALA APPENDIX BASAL GANGLIA BLOOD VESSEL BONE MARROW BREAST BRONCHUS CEREBELLUM CEREBRAL CORTEX CERVIX CHOROID PLEXUS COLON
DUODENUM ENDOMETRIUM EPIDIDYMIS ESOPHAGUS FALLOPIAN TUBE GALLBLADDER HEART MUSCLE HIPPOCAMPAL FORMATION HYPOTHALAMUS KIDNEY LIVER LUNG LYMPH NODE MIDBRAIN
NASOPHARYNX ORAL MUCOSA OVARY PANCREAS PARATHYROID GLAND PITUITARY GLAND PLACENTA PROSTATE RECTUM RETINA SALIVARY GLAND SEMINAL VESICLE SKELETAL MUSCLE SKIN
SMALL INTESTINE SMOOTH MUSCLE SOFT TISSUE SPINAL CORD SPLEEN STOMACH TESTIS THYMUS THYROID GLAND TONGUE TONSIL URINARY BLADDER VAGINA
ANTIBODIES
AND
VALIDATION
Dictionary
Pancreas
Tissue proteome
Pancreas
Tissue methods
PANCREAS - Expression summary
Protein expression
Pancreasi

On the top, protein expression in current human tissue, based on all annotated cell types, is reported with the units not detected (n), low (l), medium (m) and high (h). Underneath, protein expression in each annotated cell type are reported using the same units. Protein expression data is based on knowledge-based annotation. For genes where more than one antibody has been used, a collective score is set. If knowledge-based annotation could not be performed for a gene, no data is displayed here. View antibody staining data further down this page.

h
m
l
n
Exocrine glandular cells: Not detected
Pancreatic endocrine cells: Low
RNA expressioni

A summary of mRNA expression data available for current tissue based on several datasets. The mRNA expression levels in human tissues are based on RNA-seq data generated by the Human Protein Atlas HPA, Genotype-Tissue Expression GTEx portal and CAGE data generated by the FANTOM5 consortium. Consensus normalized expression levels for human tissues was created by combining the data from HPA and GTEx datasets. The mRNA expression levels in pig brain are based on RNA-seq data generated by the Human Protein Atlas, and for mouse brain HPA data and in situ hybridization generated by the Allen brain atlas dataset are reported.

Scroll down to view mRNA expression data in more detail.

Consensus:1.7 nTPM
HPA:1.7 nTPM
GTEx:1.3 nTPM
FANTOM5:6.3 Scaled Tags Per Million
PANCREAS - SINGLE CELL RNA EXPRESSION
Explore single cell type data

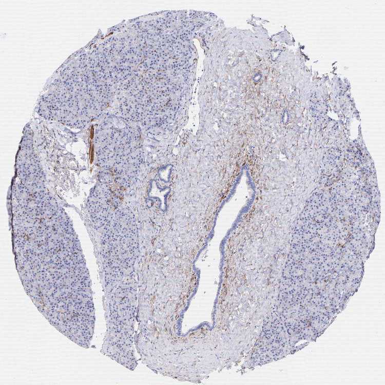
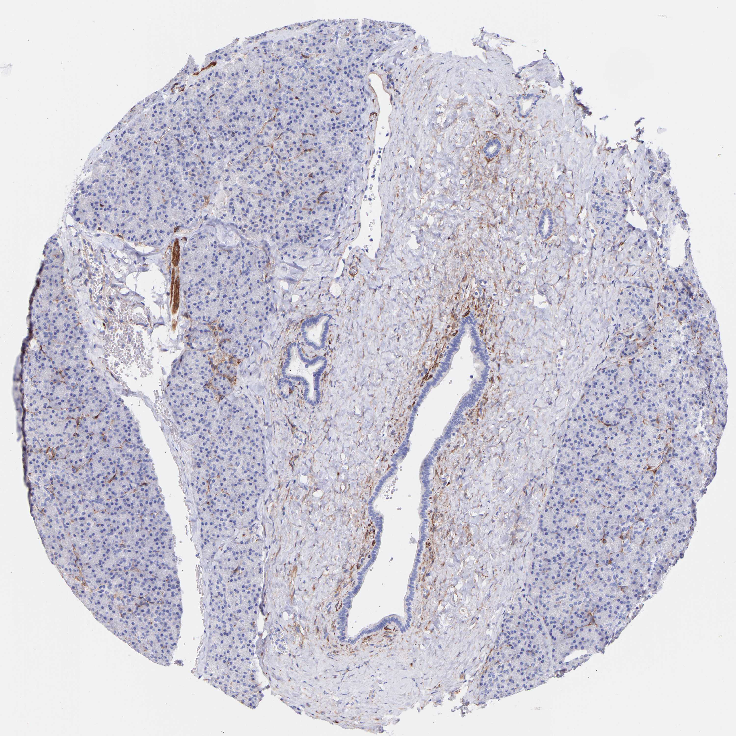
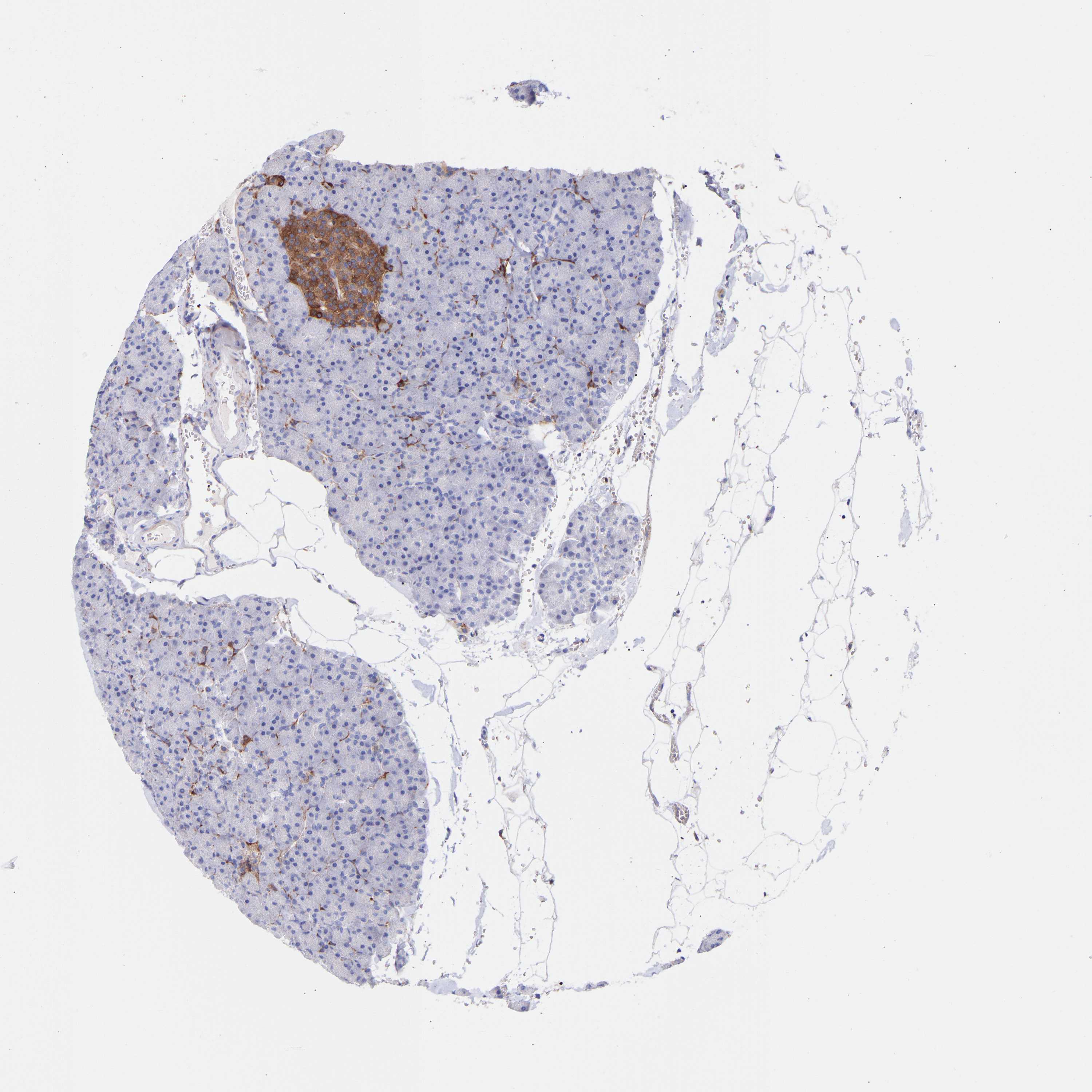
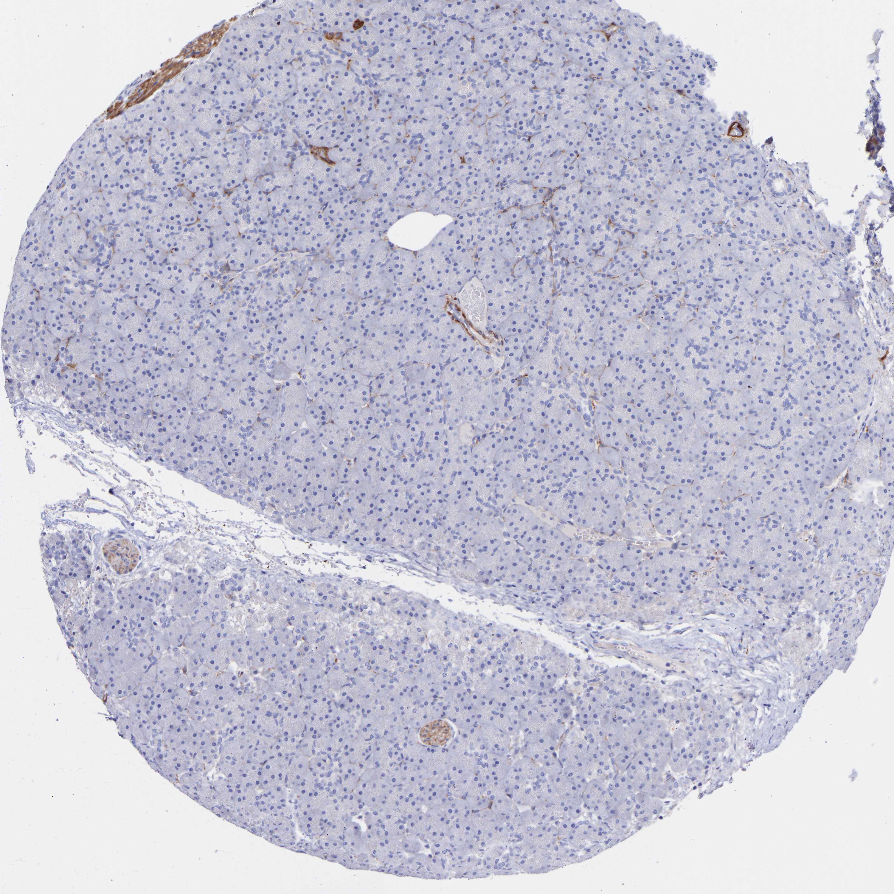
PANCREAS - Antibody stainingi

Antibody staining in the annotated cell types in the current human tissue is reported as not detected, low, medium, or high, based on conventional immunohistochemistry profiling in selected tissues. This score is based on the combination of the staining intensity and fraction of stained cells. Each image is clickable and will lead to virtual microscopy that enables deeper exploration of all samples and also displays staining intensity scores, fraction scores and subcellular localization as well as patient and tissue information for each sample.

Ascending and descending describe two types of gradient, based on difference in staining intensity between enterocytes in crypts and apical enterocytes.

Ascending - the staining intensity is stronger in apical enterocytes (towards the lumen) compared to enterocytes in the crypts (gland based)

Descending - the staining is weaker in apical enterocytes compared to enterocytes in crypts

Antibody HPA019828Antibody HPA019829Antibody CAB008559
Exocrine glandular cells MediumNot detectedNot detected
Pancreatic endocrine cells Not detectedHighMedium






PANCREAS - HPA RNA-seqi

The RNA-seq details section shows detailed information about the individual samples used for the transcript profiling and results of the RNA-seq analysis.

Information about each individual sample is listed below, including gender, age, a tissue section image and estimated fractions of cell types. nTPM (normalized transcripts per million) values give a quantification of the gene abundance which is comparable between different genes and samples.

Average nTPMi

Max subtype nTPM is the value for the subtype with the largest average nTPM across the subtype samples.

1.7
overview
Female, age 59
Pancreas sample 194
nTPM: 2.7
Cell types%
Exocrine glandular cells:
75

Pancreatic endocrine cells:
10

Ductal cells:
5

Other cell types:
10

overview
Male, age 60
Pancreas sample 195
nTPM: 0.7
Cell types%
Exocrine glandular cells:
90

Pancreatic endocrine cells:
5

Ductal cells:
5


PANCREAS - GTEx RNA-seqi

RNA-Seq data generated by the Genotype-Tissue Expression (GTEx) project from human tissues is reported as mean nTPM. More information can be found on the GTEx portal.

Distribution across the dataset is visualized with box plots, shown as median and 25th and 75th percentiles. Points are displayed as outliers if they are above or below 1.5 times the interquartile range. nTPM values of the individual samples are presented next to the box plot.

Max subtype nTPMi

Max subtype nTPM is the value for the subtype with the largest average nTPM across the subtype samples.

1.3
GTEx sample id Sample description nTPM
Pancreas
Average nTPM: 1.3
Samples: 362

Max nTPM: 4.2
Min nTPM: 0.2
Std nTPM: 0.5
Median nTPM: 1.2
GTEX-1PPH8-2326-SM-EAZ48 20-29 years, male 4.2
GTEX-14XAO-0626-SM-HAV1L 60-69 years, female 3.8
GTEX-16MT8-1726-SM-7EWE7 60-69 years, female 3.8
GTEX-1CB4G-1826-SM-7MKGO 60-69 years, male 3.4
GTEX-ZF3C-2026-SM-4WWB5 50-59 years, female 3.4
GTEX-11I78-0626-SM-5A5LZ 50-59 years, female 3.0
GTEX-1K9T9-1726-SM-CXZK1 50-59 years, female 3.0
GTEX-Q2AH-0926-SM-48TZK 40-49 years, male 3.0
GTEX-13YAN-2126-SM-5Q5C4 60-69 years, male 2.9
GTEX-13FTX-1226-SM-5IFGN 20-29 years, female 2.7
GTEX-1LVAN-1226-SM-CNNQY 50-59 years, female 2.7
GTEX-1PWST-1526-SM-EXOIT 70-79 years, male 2.7
GTEX-XYKS-1226-SM-4BRVI 60-69 years, female 2.7
GTEX-11EMC-0626-SM-HAV2O 60-69 years, female 2.5
GTEX-13D11-2226-SM-5IFEO 50-59 years, female 2.5
GTEX-144GN-0826-SM-5LU5G 50-59 years, male 2.5
GTEX-1HSMO-2026-SM-CNNQO 60-69 years, male 2.5
GTEX-1J1R8-0926-SM-GA8ZT 40-49 years, male 2.5
GTEX-WFON-0626-SM-4LVLX 40-49 years, male 2.5
GTEX-1JKYN-0426-SM-CGQG2 30-39 years, male 2.4
GTEX-XV7Q-0926-SM-4BRVQ 40-49 years, female 2.4
GTEX-1399R-0426-SM-5IJE3 30-39 years, male 2.3
GTEX-145ME-0326-SM-5S2QO 40-49 years, female 2.3
GTEX-1QPFJ-2226-SM-EXOJW 30-39 years, female 2.3
GTEX-132AR-1826-SM-5EGHR 50-59 years, female 2.2
GTEX-1AYD5-0326-SM-7EWEO 50-59 years, male 2.2
GTEX-QLQ7-0626-SM-CE6QX 60-69 years, male 2.2
GTEX-Y8LW-1026-SM-5IFJY 50-59 years, female 2.2
GTEX-1CAMR-1126-SM-7MGXF 20-29 years, male 2.1
GTEX-1I1GT-0926-SM-AHZ2G 60-69 years, female 2.1
GTEX-OIZI-1526-SM-E6CHI 40-49 years, male 2.1
GTEX-PLZ6-0726-SM-3P619 30-39 years, male 2.1
GTEX-T5JW-0226-SM-4DM7I 20-29 years, female 2.1
GTEX-ZQG8-0826-SM-HL9S8 60-69 years, female 2.1
GTEX-1314G-0726-SM-HK7AG 30-39 years, male 2.0
GTEX-139YR-1526-SM-5IFJ1 50-59 years, male 2.0
GTEX-14PKV-0926-SM-6AJB4 20-29 years, female 2.0
GTEX-1C6VQ-1726-SM-7IGLQ 50-59 years, male 2.0
GTEX-1K2DU-1026-SM-DHXKC 20-29 years, male 2.0
GTEX-PWCY-0626-SM-EYYV7 20-29 years, female 2.0
GTEX-SE5C-0326-SM-4BRWX 40-49 years, female 2.0
GTEX-ZDYS-2526-SM-4WKGU 50-59 years, male 2.0
GTEX-12BJ1-1126-SM-5EGGG 60-69 years, male 1.9
GTEX-13PVR-0726-SM-5S2PX 60-69 years, female 1.9
GTEX-17EUY-1026-SM-HAV24 20-29 years, male 1.9
GTEX-18D9U-1626-SM-7KFTW 40-49 years, male 1.9
GTEX-1F5PK-1026-SM-HL9S5 50-59 years, male 1.9
GTEX-1QEPI-1626-SM-EAZ3I 60-69 years, female 1.9
GTEX-N7MT-1626-SM-3LK71 60-69 years, female 1.9
GTEX-OHPL-1026-SM-3MJGI 60-69 years, female 1.9
GTEX-P4PQ-1026-SM-3NMCN 60-69 years, male 1.9
GTEX-W5X1-0226-SM-HL9T5 40-49 years, female 1.9
GTEX-WFJO-0626-SM-4LVMC 30-39 years, male 1.9
GTEX-12WSK-0226-SM-5BC62 40-49 years, female 1.8
GTEX-132QS-0926-SM-5P9GB 60-69 years, male 1.8
GTEX-13X6H-0626-SM-5LU53 50-59 years, female 1.8
GTEX-178AV-0226-SM-793B7 40-49 years, male 1.8
GTEX-1A8FM-1826-SM-7MGXO 50-59 years, female 1.8
GTEX-1I6K6-1126-SM-GA8ZI 30-39 years, male 1.8
GTEX-S32W-0826-SM-4AD5Z 50-59 years, female 1.8
GTEX-U8XE-2026-SM-3DB8S 30-39 years, male 1.8
GTEX-V955-0326-SM-4JBGV 60-69 years, male 1.8
GTEX-X4LF-0326-SM-4QAS9 50-59 years, male 1.8
GTEX-Y9LG-0726-SM-4VDS3 30-39 years, male 1.8
GTEX-YEC3-0626-SM-CMKFG 50-59 years, male 1.8
GTEX-ZZPU-0726-SM-5N9C8 50-59 years, female 1.8
GTEX-117YX-0226-SM-5EGH6 50-59 years, male 1.7
GTEX-12WSN-0826-SM-5GCOF 40-49 years, male 1.7
GTEX-13FH7-1426-SM-5IFIC 50-59 years, female 1.7
GTEX-14E6E-1426-SM-5RQI2 30-39 years, male 1.7
GTEX-14PHX-2026-SM-6872C 50-59 years, male 1.7
GTEX-14PN3-0126-SM-6AJAU 60-69 years, female 1.7
GTEX-18A66-2126-SM-7189D 60-69 years, male 1.7
GTEX-1B933-1726-SM-731FC 50-59 years, female 1.7
GTEX-1C64O-1426-SM-7EWER 60-69 years, male 1.7
GTEX-1GZ4H-0626-SM-9OSXJ 50-59 years, female 1.7
GTEX-1MCYP-0326-SM-F2I3G 20-29 years, female 1.7
GTEX-R55G-0326-SM-48FDM 40-49 years, female 1.7
GTEX-WFG8-0326-SM-4LVN4 20-29 years, male 1.7
GTEX-WXYG-0826-SM-4ONC7 50-59 years, female 1.7
GTEX-YB5E-0526-SM-4VDSD 40-49 years, male 1.7
GTEX-13CF3-1026-SM-5LZWY 60-69 years, female 1.6
GTEX-13OVI-0526-SM-5IFFQ 60-69 years, female 1.6
GTEX-13PL7-2226-SM-5L3IC 60-69 years, female 1.6
GTEX-14ICL-1126-SM-5S2RE 30-39 years, male 1.6
GTEX-14PJ6-0926-SM-686ZA 60-69 years, female 1.6
GTEX-16A39-0226-SM-HAV1X 30-39 years, female 1.6
GTEX-1IDJD-0126-SM-C1YQZ 30-39 years, male 1.6
GTEX-1JK1U-1026-SM-AHZ44 60-69 years, male 1.6
GTEX-1JMPZ-1026-SM-CXZJS 30-39 years, male 1.6
GTEX-1LSNM-0726-SM-DHXL1 50-59 years, male 1.6
GTEX-1S83E-1426-SM-EV7B8 40-49 years, male 1.6
GTEX-NPJ8-2126-SM-3MJGK 40-49 years, male 1.6
GTEX-QDVJ-1226-SM-48U1V 50-59 years, male 1.6
GTEX-TML8-0526-SM-32QOQ 40-49 years, female 1.6
GTEX-WFG7-0426-SM-4LMK5 20-29 years, male 1.6
GTEX-ZYW4-2126-SM-59HJ9 60-69 years, male 1.6
GTEX-13VXT-1226-SM-5LU3M 20-29 years, female 1.5
GTEX-1477Z-0726-SM-HAV1H 60-69 years, male 1.5
GTEX-14DAR-0526-SM-664MX 50-59 years, male 1.5
GTEX-15RIF-0626-SM-6LLI3 20-29 years, male 1.5
GTEX-17HGU-2026-SM-79OKS 50-59 years, male 1.5
GTEX-1B97J-1526-SM-79ONI 50-59 years, female 1.5
GTEX-1CB4F-1226-SM-7DHKU 60-69 years, male 1.5
GTEX-1GMR3-1226-SM-7MGY1 40-49 years, male 1.5
GTEX-1H1DE-0726-SM-HL9S7 20-29 years, male 1.5
GTEX-1PBJI-2126-SM-DPRYG 20-29 years, female 1.5
GTEX-1PFEY-1126-SM-DPRZ3 30-39 years, male 1.5
GTEX-1QW4Y-0926-SM-DPRY2 30-39 years, male 1.5
GTEX-1R9K5-1226-SM-E6CPQ 50-59 years, male 1.5
GTEX-1RAZA-1626-SM-EV79I 20-29 years, male 1.5
GTEX-1RAZQ-1426-SM-EV7B2 30-39 years, male 1.5
GTEX-QMRM-0326-SM-CKZNB 50-59 years, male 1.5
GTEX-RUSQ-0726-SM-F21KV 50-59 years, male 1.5
GTEX-S4Z8-1426-SM-CM2U3 60-69 years, male 1.5
GTEX-WY7C-1026-SM-4OND3 50-59 years, male 1.5
GTEX-XBED-0226-SM-47JY8 60-69 years, male 1.5
GTEX-ZPCL-0726-SM-DO91S 60-69 years, female 1.5
GTEX-ZPIC-0926-SM-4WWFK 40-49 years, female 1.5
GTEX-ZXES-0526-SM-5E45D 30-39 years, female 1.5
GTEX-11EQ9-1026-SM-5H134 30-39 years, male 1.4
GTEX-131XF-1426-SM-5BC68 60-69 years, male 1.4
GTEX-13O1R-1826-SM-5KM3B 60-69 years, male 1.4
GTEX-13SLX-1326-SM-5S2QS 50-59 years, female 1.4
GTEX-14BMU-0726-SM-5P9FK 20-29 years, female 1.4
GTEX-14DAQ-1926-SM-HAV1S 60-69 years, female 1.4
GTEX-17F9E-1426-SM-793BG 50-59 years, male 1.4
GTEX-1GF9X-1126-SM-7MKHC 40-49 years, female 1.4
GTEX-1GN1W-1126-SM-9OSW3 50-59 years, female 1.4
GTEX-1JKYR-1026-SM-CGQGI 20-29 years, male 1.4
GTEX-OHPM-1026-SM-3LK74 50-59 years, male 1.4
GTEX-PW2O-0826-SM-48TC5 20-29 years, male 1.4
GTEX-QCQG-0426-SM-48U29 50-59 years, female 1.4
GTEX-QLQW-0326-SM-447A8 30-39 years, male 1.4
GTEX-U3ZN-1326-SM-GPI96 30-39 years, female 1.4
GTEX-WHWD-0726-SM-4M9QA 50-59 years, male 1.4
GTEX-WYJK-2426-SM-4ONDQ 50-59 years, male 1.4
GTEX-XXEK-1726-SM-4BRVB 50-59 years, male 1.4
GTEX-Y5LM-0526-SM-4V6G3 40-49 years, female 1.4
GTEX-ZLWG-0326-SM-4WWC7 50-59 years, female 1.4
GTEX-11TT1-0326-SM-5LUAY 20-29 years, male 1.3
GTEX-13W3W-1026-SM-5IFG4 60-69 years, female 1.3
GTEX-146FQ-1526-SM-5Q5CX 30-39 years, male 1.3
GTEX-14JG6-0426-SM-68715 30-39 years, female 1.3
GTEX-14PJ2-1526-SM-686Z4 50-59 years, male 1.3
GTEX-15EU6-1126-SM-68721 50-59 years, male 1.3
GTEX-15UF7-0826-SM-6M46E 40-49 years, male 1.3
GTEX-16MTA-0326-SM-HAV1Y 50-59 years, male 1.3
GTEX-18A7A-1726-SM-7LT93 50-59 years, female 1.3
GTEX-1AX9J-1726-SM-731FF 60-69 years, male 1.3
GTEX-1AYCT-1226-SM-7EPGH 50-59 years, male 1.3
GTEX-1HC8U-1026-SM-GA91O 40-49 years, female 1.3
GTEX-1HKZK-1126-SM-9WG82 40-49 years, male 1.3
GTEX-1I1GU-0326-SM-AHZ2K 40-49 years, male 1.3
GTEX-1IL2U-2326-SM-CNNQV 60-69 years, male 1.3
GTEX-1J8EW-1926-SM-CGQGR 60-69 years, female 1.3
GTEX-1JMLX-1726-SM-HL9TG 50-59 years, male 1.3
GTEX-1O97I-1726-SM-EXOIP 60-69 years, male 1.3
GTEX-1QP2A-1326-SM-EAZ3K 50-59 years, male 1.3
GTEX-1R9PN-0826-SM-G9EPW 40-49 years, female 1.3
GTEX-O5YT-1026-SM-3MJGF 20-29 years, male 1.3
GTEX-OOBJ-1026-SM-3NB2L 60-69 years, male 1.3
GTEX-OXRK-1526-SM-E6CHJ 50-59 years, female 1.3
GTEX-P78B-1426-SM-HL9T1 40-49 years, female 1.3
GTEX-ZDTT-1126-SM-4WKFW 60-69 years, male 1.3
GTEX-ZTPG-1026-SM-5DUWP 20-29 years, female 1.3
GTEX-11XUK-0626-SM-5N9ES 40-49 years, female 1.2
GTEX-1211K-1126-SM-5EGGB 60-69 years, female 1.2
GTEX-1399U-0926-SM-5IFHA 50-59 years, female 1.2
GTEX-14PK6-1026-SM-664NZ 70-79 years, female 1.2
GTEX-14PN4-1626-SM-6AJB5 50-59 years, male 1.2
GTEX-15FZZ-0626-SM-7KFTO 30-39 years, female 1.2
GTEX-15SDE-0826-SM-6M463 50-59 years, female 1.2
GTEX-15SHV-1526-SM-6LLIB 60-69 years, male 1.2
GTEX-1AX8Z-1726-SM-731DE 60-69 years, male 1.2
GTEX-1B996-1326-SM-731EO 60-69 years, male 1.2
GTEX-1CAMS-1926-SM-7DUEU 40-49 years, female 1.2
GTEX-1H11D-0926-SM-9OSXO 40-49 years, male 1.2
GTEX-1HSMQ-0826-SM-GA8ZC 50-59 years, male 1.2
GTEX-1KXAM-0226-SM-EV7AP 60-69 years, male 1.2
GTEX-1LGRB-0426-SM-CNNRD 50-59 years, female 1.2
GTEX-1M5QR-0926-SM-DHXK8 40-49 years, male 1.2
GTEX-1MJIX-1326-SM-HK79Z 40-49 years, male 1.2
GTEX-1N2EF-2126-SM-DPRYL 60-69 years, male 1.2
GTEX-1OKEX-1726-SM-E9U4F 60-69 years, male 1.2
GTEX-1QP29-1926-SM-DPRZO 50-59 years, male 1.2
GTEX-1R9PM-0626-SM-F2I1U 20-29 years, male 1.2
GTEX-1S82P-1026-SM-EAZ4W 60-69 years, female 1.2
GTEX-OOBK-1026-SM-48TC2 40-49 years, male 1.2
GTEX-Q2AI-0426-SM-48U13 40-49 years, male 1.2
GTEX-Q734-0426-SM-48TZX 40-49 years, female 1.2
GTEX-R53T-0426-SM-48FEM 50-59 years, female 1.2
GTEX-S4P3-0626-SM-4AD59 50-59 years, female 1.2
GTEX-U4B1-0726-SM-4DXUA 40-49 years, male 1.2
GTEX-WHSB-0726-SM-4M1XQ 50-59 years, male 1.2
GTEX-YJ8A-0326-SM-HAUXP 20-29 years, male 1.2
GTEX-ZEX8-1026-SM-4WKHE 50-59 years, male 1.2
GTEX-ZYFG-0826-SM-5BC5T 60-69 years, female 1.2
GTEX-ZYY3-0826-SM-5E44R 60-69 years, female 1.2
GTEX-111YS-1226-SM-5EGGJ 60-69 years, male 1.1
GTEX-1128S-0826-SM-5GZZI 60-69 years, female 1.1
GTEX-11P7K-0526-SM-5BC5I 30-39 years, male 1.1
GTEX-13U4I-1526-SM-5IFFF 40-49 years, female 1.1
GTEX-145MN-1426-SM-5MR6I 30-39 years, male 1.1
GTEX-14C39-1026-SM-5P9IG 40-49 years, male 1.1
GTEX-14ICK-0926-SM-HAV22 40-49 years, male 1.1
GTEX-14PKU-0626-SM-6EU1Q 40-49 years, female 1.1
GTEX-17HHE-0526-SM-7DUGR 50-59 years, male 1.1
GTEX-1AX9K-2026-SM-731D1 50-59 years, male 1.1
GTEX-1GL5R-0926-SM-9JGFO 50-59 years, male 1.1
GTEX-1HSGN-1426-SM-A8NAA 40-49 years, female 1.1
GTEX-1I4MK-1026-SM-AHZ2H 50-59 years, female 1.1
GTEX-1NSGN-1726-SM-EXOJG 50-59 years, male 1.1
GTEX-1R7EV-1126-SM-DPRXU 40-49 years, male 1.1
GTEX-PLZ5-1026-SM-HL9T2 50-59 years, male 1.1
GTEX-PX3G-1026-SM-48TZW 20-29 years, female 1.1
GTEX-S33H-1226-SM-4AD69 30-39 years, male 1.1
GTEX-S95S-0726-SM-4B64H 60-69 years, male 1.1
GTEX-SUCS-1426-SM-4DM5W 70-79 years, male 1.1
GTEX-TMMY-1326-SM-4DXU9 40-49 years, female 1.1
GTEX-UJHI-0626-SM-3DB8T 50-59 years, female 1.1
GTEX-V1D1-0726-SM-4JBH7 50-59 years, male 1.1
GTEX-WQUQ-2126-SM-4M9R1 60-69 years, male 1.1
GTEX-X15G-0726-SM-4PQZ5 50-59 years, female 1.1
GTEX-XBEW-1626-SM-4SOJP 40-49 years, male 1.1
GTEX-XGQ4-0226-SM-4GIDS 50-59 years, male 1.1
GTEX-ZVZP-0626-SM-59HL5 50-59 years, male 1.1
GTEX-11VI4-0426-SM-5EGHZ 40-49 years, female 1.0
GTEX-133LE-0826-SM-HK7AK 20-29 years, female 1.0
GTEX-13FTW-0526-SM-5IFIP 40-49 years, male 1.0
GTEX-144GM-0726-SM-5O9AN 20-29 years, male 1.0
GTEX-14AS3-0326-SM-5Q5DB 40-49 years, female 1.0
GTEX-14PJ4-0726-SM-6872E 60-69 years, male 1.0
GTEX-14PJN-1526-SM-6AJBP 30-39 years, male 1.0
GTEX-15ER7-1326-SM-6LPK9 20-29 years, female 1.0
GTEX-17KNJ-1926-SM-7KFRV 50-59 years, male 1.0
GTEX-1C4CL-0926-SM-79OL2 30-39 years, male 1.0
GTEX-1CB4I-1326-SM-79OLY 50-59 years, male 1.0
GTEX-1GN1U-1126-SM-9WPPZ 50-59 years, female 1.0
GTEX-1H1E6-0826-SM-9WG83 30-39 years, male 1.0
GTEX-1H23P-2026-SM-9OSXY 60-69 years, male 1.0
GTEX-1IDJC-0526-SM-AHZ2Q 50-59 years, male 1.0
GTEX-1IDJU-0326-SM-CGQEE 60-69 years, female 1.0
GTEX-1L5NE-0826-SM-DHXKU 50-59 years, male 1.0
GTEX-1MCC2-0926-SM-HL9SC 30-39 years, female 1.0
GTEX-PSDG-1526-SM-48TCY 50-59 years, male 1.0
GTEX-QV44-0426-SM-4R1KF 50-59 years, male 1.0
GTEX-TKQ2-0426-SM-4DXUO 50-59 years, male 1.0
GTEX-WI4N-1826-SM-4M9QR 40-49 years, female 1.0
GTEX-WYVS-0926-SM-4SOJV 40-49 years, female 1.0
GTEX-XPVG-0326-SM-4B653 50-59 years, male 1.0
GTEX-Y3IK-0426-SM-4WWE2 50-59 years, female 1.0
GTEX-Y8E4-1326-SM-5IFIY 40-49 years, male 1.0
GTEX-YB5K-1826-SM-5IFJC 40-49 years, female 1.0
GTEX-ZAB5-0826-SM-5P9FU 50-59 years, male 1.0
GTEX-ZLFU-0726-SM-57WF6 40-49 years, male 1.0
GTEX-ZVT2-2026-SM-5NQ8Q 50-59 years, female 1.0
GTEX-131XE-1926-SM-5IFER 50-59 years, male 0.9
GTEX-131XG-1426-SM-5GCMO 50-59 years, female 0.9
GTEX-1399S-0326-SM-5IFFS 30-39 years, female 0.9
GTEX-13N11-0226-SM-5KM3C 50-59 years, female 0.9
GTEX-145MO-2126-SM-5Q5CZ 60-69 years, male 0.9
GTEX-15RJ7-0826-SM-6LLI8 40-49 years, male 0.9
GTEX-15UF6-1826-SM-6LLI9 70-79 years, female 0.9
GTEX-16Z82-1726-SM-7MGX3 60-69 years, male 0.9
GTEX-18A67-1726-SM-7KFT9 50-59 years, male 0.9
GTEX-1B932-1626-SM-731EA 40-49 years, female 0.9
GTEX-1I1GQ-2226-SM-B2LX1 50-59 years, male 0.9
GTEX-1J8Q3-0626-SM-AHZ3V 60-69 years, male 0.9
GTEX-1KANA-1526-SM-CXZKG 20-29 years, male 0.9
GTEX-1N2DV-1726-SM-DPRYR 40-49 years, male 0.9
GTEX-1QP28-1026-SM-EAZ4K 50-59 years, female 0.9
GTEX-NFK9-1626-SM-3LK5J 40-49 years, male 0.9
GTEX-P4QT-1026-SM-F21IA 50-59 years, female 0.9
GTEX-QEL4-1326-SM-447AD 50-59 years, male 0.9
GTEX-SNOS-0926-SM-4DM7A 40-49 years, male 0.9
GTEX-X3Y1-0726-SM-3P5YU 40-49 years, male 0.9
GTEX-XUW1-1726-SM-4BOOZ 50-59 years, female 0.9
GTEX-YF7O-1326-SM-4W1ZR 50-59 years, male 0.9
GTEX-ZAB4-1726-SM-5HL8C 40-49 years, male 0.9
GTEX-ZC5H-0826-SM-5N9FH 40-49 years, female 0.9
GTEX-111CU-0526-SM-5EGHK 50-59 years, male 0.8
GTEX-11DXX-0926-SM-5H112 60-69 years, female 0.8
GTEX-11NSD-0526-SM-5A5LT 20-29 years, male 0.8
GTEX-12WSL-0426-SM-5GCNX 50-59 years, male 0.8
GTEX-148VI-0826-SM-5TDDI 60-69 years, female 0.8
GTEX-14PJ3-0426-SM-6LLHF 50-59 years, male 0.8
GTEX-15UKP-1326-SM-6LPI8 20-29 years, male 0.8
GTEX-17F98-0426-SM-79ONZ 40-49 years, female 0.8
GTEX-1AMFI-0726-SM-731D9 50-59 years, female 0.8
GTEX-1B8KE-0726-SM-72D7G 50-59 years, male 0.8
GTEX-1F5PL-0726-SM-7MKH8 40-49 years, female 0.8
GTEX-1R46S-1426-SM-EXOJD 60-69 years, female 0.8
GTEX-RM2N-0326-SM-48FD8 50-59 years, male 0.8
GTEX-T8EM-0826-SM-4DM76 40-49 years, male 0.8
GTEX-VJYA-0826-SM-4KL1M 60-69 years, male 0.8
GTEX-X5EB-0526-SM-46MVP 40-49 years, male 0.8
GTEX-YEC4-1326-SM-5IFHG 40-49 years, male 0.8
GTEX-ZGAY-1426-SM-HL9S6 40-49 years, female 0.8
GTEX-ZTTD-1826-SM-HL9T4 50-59 years, male 0.8
GTEX-ZY6K-0926-SM-HL9S4 50-59 years, male 0.8
GTEX-11GSP-0426-SM-5A5KX 60-69 years, female 0.7
GTEX-11ONC-0526-SM-5BC57 60-69 years, male 0.7
GTEX-12WSD-1626-SM-5GCNR 60-69 years, female 0.7
GTEX-144GL-2426-SM-GJ3R5 50-59 years, male 0.7
GTEX-15CHR-2026-SM-7MXU2 50-59 years, male 0.7
GTEX-1A3MW-1926-SM-7IGM8 60-69 years, female 0.7
GTEX-1C2JI-0926-SM-731F1 50-59 years, male 0.7
GTEX-1CAMQ-1626-SM-7MGXG 40-49 years, male 0.7
GTEX-1K2DA-0326-SM-CGQGX 50-59 years, male 0.7
GTEX-1R7EU-0726-SM-DPRZM 60-69 years, male 0.7
GTEX-1S831-0626-SM-EV79N 20-29 years, male 0.7
GTEX-P4PP-1026-SM-3NM9O 30-39 years, female 0.7
GTEX-QESD-0226-SM-447BH 20-29 years, male 0.7
GTEX-R55D-1426-SM-48FEN 50-59 years, male 0.7
GTEX-RWS6-1126-SM-47JXC 60-69 years, female 0.7
GTEX-S3XE-0526-SM-4AD4G 50-59 years, male 0.7
GTEX-W5WG-0826-SM-4RGNE 50-59 years, female 0.7
GTEX-WH7G-0826-SM-4LVMR 40-49 years, male 0.7
GTEX-XQ8I-1926-SM-4BOOK 50-59 years, male 0.7
GTEX-ZAK1-2326-SM-5CVMY 50-59 years, female 0.7
GTEX-ZF29-1126-SM-4WKGO 60-69 years, female 0.7
GTEX-ZG7Y-0326-SM-4WWEY 50-59 years, male 0.7
GTEX-ZPU1-0226-SM-4WWC9 40-49 years, male 0.7
GTEX-ZV7C-0726-SM-59HKH 50-59 years, male 0.7
GTEX-ZVP2-0726-SM-59HKY 50-59 years, male 0.7
GTEX-1122O-0726-SM-5GIEV 60-69 years, female 0.6
GTEX-11LCK-0226-SM-5A5M6 30-39 years, male 0.6
GTEX-1339X-1026-SM-5IFH5 40-49 years, male 0.6
GTEX-144FL-1526-SM-5Q5CA 50-59 years, male 0.6
GTEX-146FR-0126-SM-5Q5F3 60-69 years, female 0.6
GTEX-1497J-0426-SM-5Q5CO 60-69 years, male 0.6
GTEX-14PHY-1126-SM-664OR 60-69 years, female 0.6
GTEX-14PJO-1826-SM-69LPR 60-69 years, male 0.6
GTEX-18A6Q-1726-SM-7LT9A 60-69 years, male 0.6
GTEX-1B8KZ-0926-SM-731D7 50-59 years, male 0.6
GTEX-1LG7Z-0326-SM-DHXK3 30-39 years, male 0.6
GTEX-1MGNQ-1226-SM-EV7BM 40-49 years, male 0.6
GTEX-1NUQO-0826-SM-DPS16 20-29 years, female 0.6
GTEX-1OFPY-0626-SM-EXOJ4 60-69 years, male 0.6
GTEX-QV31-0226-SM-447BO 30-39 years, male 0.6
GTEX-WHPG-0326-SM-4M1XV 50-59 years, male 0.6
GTEX-WRHK-0226-SM-4MVOH 20-29 years, female 0.6
GTEX-XMK1-0326-SM-4B652 40-49 years, male 0.6
GTEX-Y3I4-0826-SM-4TT2A 50-59 years, male 0.6
GTEX-YFCO-1026-SM-5LU9S 40-49 years, male 0.6
GTEX-ZP4G-0426-SM-4YCER 20-29 years, female 0.6
GTEX-ZT9W-0926-SM-57WFS 50-59 years, male 0.6
GTEX-13FLV-0626-SM-5IFEY 50-59 years, male 0.5
GTEX-13O61-2126-SM-5IJEO 60-69 years, male 0.5
GTEX-14PJM-2126-SM-6AJAS 50-59 years, female 0.5
GTEX-15DYW-1626-SM-6LLI1 60-69 years, female 0.5
GTEX-16NFA-0126-SM-H7OEX 50-59 years, male 0.5
GTEX-1H1DG-1426-SM-9OSXP 70-79 years, male 0.5
GTEX-1MUQO-1426-SM-DPRYJ 60-69 years, male 0.5
GTEX-P4QS-1026-SM-3NMCW 60-69 years, male 0.5
GTEX-Y114-0826-SM-4TT77 50-59 years, female 0.5
GTEX-11DXZ-0826-SM-HAV1R 50-59 years, male 0.4
GTEX-1HCU6-1926-SM-GA91T 60-69 years, female 0.4
GTEX-1QAET-1326-SM-E9U64 50-59 years, male 0.4
GTEX-12WSG-1026-SM-5EGII 50-59 years, female 0.3
GTEX-15EOM-1326-SM-HAV1V 20-29 years, female 0.2
Show allShow less

PANCREAS - FANTOM5 CAGEi

RNA expression in human tissues obtained through Cap Analysis of Gene Expression (CAGE) generated by the FANTOM5 project are reported as Scaled Tags Per Million.

Max subtype Scaled Tags Per Millioni

Max subtype Scaled Tags Per Million is the value for the subtype with the largest average Scaled Tags Per Million across the subtype samples.

6.3
FANTOM5 sample id Sample description Scaled Tags Per Million
Pancreas
Scaled Tags Per Million: 6.3
FF:10049-101G4 52 years, male 6.3

Contact

  • NEWS ARTICLES
  • PRESS ROOM

The Project

  • INTRODUCTION
  • ORGANIZATION
  • PUBLICATIONS

The Human Protein Atlas

  • DOWNLOADABLE DATA
  • LICENCE & CITATION
  • HELP & FAQ
KAW logo The Human Protein Atlas project is funded
by the Knut & Alice Wallenberg Foundation.

Facebook logo X logo Bluesky logo Linkedin logo RSS feed logo contact@proteinatlas.org
GCBR logo Elixir core logo SciLifeLab logo Uppsala university logo KI logo KTH logo