We use cookies to enhance the usability of our website. If you continue, we'll assume that you are happy to receive all cookies. More information. Don't show this again.
AMPH
HPA
RESOURCES
  • TISSUE
  • BRAIN
  • SINGLE CELL
  • SUBCELLULAR
  • CANCER
  • BLOOD
  • CELL LINE
  • STRUCTURE
  • INTERACTION
ABOUT
  • INTRODUCTION
  • HISTORY
  • ORGANIZATION
  • PUBLICATIONS
  • ACKNOWLEDGMENTS
  • CONTACT
NEWS
  • NEWS ARTICLES
  • PRESS ROOM
LEARN
  • DICTIONARY
  • PROTEIN CLASSES
  • PROTEIN EVIDENCE
  • METHODS
  • EDUCATIONAL VIDEOS
DATA
  • DOWNLOADABLE DATA
  • PUBLICATION DATA
  • RELEASE HISTORY
HELP
  • HELP & FAQ
  • ANTIBODY AVAILABILITY
  • DISCLAIMER
  • PRIVACY STATEMENT
  • LICENCE & CITATION
Fields »
Search result

Field
Term
Gene name
Class
Subclass
Category
Keyword
Chromosome
External id
Tissue
Cell type
Expression
Antibody panel
Tissue
Main location
Patient ID
Annotation
Tissue
Category
Tau score
Cluster
Reliability
Brain region
Category
Tau score
Brain region
Category
Tau score
Brain region
Category
Tau score
Cluster
Reliability
Tissue
Cell type
Enrichment
Cell type
Category
Tau score
Cell type group
Category
Tau score
Cell type
Category
Tau score
Cell type
Category
Tau score
Cell lineage
Category
Tau score
Cluster
Cluster
Location
Searches
Location
Cell line
Class
Type
Phase
Reliability
Cancer
Prognosis
Cancer
Category
Cancer
Category
Tau score
Cluster
Variants
Interacting gene (ensg_id)
Type
Number of interactions
Pathway
ipTM
Category
Category
Category
Category
Validation
Validation
Validation
Validation
Antibodies
Data type
Column


  • SUMMARY

  • TISSUE

  • BRAIN

  • SINGLE CELL

  • SUBCELL

  • CANCER

  • BLOOD

  • CELL LINE

  • STRUCTURE

  • INTERACTION

  • AMPH
TISSUE PRIMARY DATA STOMACH Show tissue menu
ADIPOSE TISSUE ADRENAL GLAND AMYGDALA APPENDIX BASAL GANGLIA BLOOD VESSEL BONE MARROW BREAST BRONCHUS CEREBELLUM CEREBRAL CORTEX CERVIX CHOROID PLEXUS COLON
DUODENUM ENDOMETRIUM EPIDIDYMIS ESOPHAGUS FALLOPIAN TUBE GALLBLADDER HEART MUSCLE HIPPOCAMPAL FORMATION HYPOTHALAMUS KIDNEY LIVER LUNG LYMPH NODE MIDBRAIN
NASOPHARYNX ORAL MUCOSA OVARY PANCREAS PARATHYROID GLAND PITUITARY GLAND PLACENTA PROSTATE RECTUM RETINA SALIVARY GLAND SEMINAL VESICLE SKELETAL MUSCLE SKIN
SMALL INTESTINE SMOOTH MUSCLE SOFT TISSUE SPINAL CORD SPLEEN STOMACH TESTIS THYMUS THYROID GLAND TONGUE TONSIL URINARY BLADDER VAGINA
ANTIBODIES
AND
VALIDATION
Dictionary
Tissue proteome
Stomach
Tissue methods
STOMACH - Expression summary
Protein expression
Stomachi

On the top, protein expression in current human tissue, based on all annotated cell types, is reported with the units not detected (n), low (l), medium (m) and high (h). Underneath, protein expression in each annotated cell type are reported using the same units. Protein expression data is based on knowledge-based annotation. For genes where more than one antibody has been used, a collective score is set. If knowledge-based annotation could not be performed for a gene, no data is displayed here. View antibody staining data further down this page.

h
m
l
n
Glandular cells: Not detected
RNA expressioni

A summary of mRNA expression data available for current tissue based on several datasets. The mRNA expression levels in human tissues are based on RNA-seq data generated by the Human Protein Atlas HPA, Genotype-Tissue Expression GTEx portal and CAGE data generated by the FANTOM5 consortium. Consensus normalized expression levels for human tissues was created by combining the data from HPA and GTEx datasets. The mRNA expression levels in pig brain are based on RNA-seq data generated by the Human Protein Atlas, and for mouse brain HPA data and in situ hybridization generated by the Allen brain atlas dataset are reported.

Scroll down to view mRNA expression data in more detail.

Consensus:2.7 nTPM
HPA:0.9 nTPM
GTEx:2.7 nTPM
STOMACH - SINGLE CELL RNA EXPRESSION
Explore single cell type data

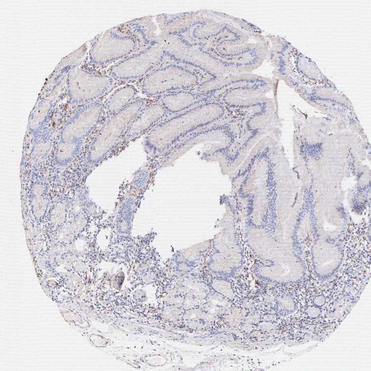
STOMACH 1 - Antibody stainingi

Antibody staining in the annotated cell types in the current human tissue is reported as not detected, low, medium, or high, based on conventional immunohistochemistry profiling in selected tissues. This score is based on the combination of the staining intensity and fraction of stained cells. Each image is clickable and will lead to virtual microscopy that enables deeper exploration of all samples and also displays staining intensity scores, fraction scores and subcellular localization as well as patient and tissue information for each sample.

Ascending and descending describe two types of gradient, based on difference in staining intensity between enterocytes in crypts and apical enterocytes.

Ascending - the staining intensity is stronger in apical enterocytes (towards the lumen) compared to enterocytes in the crypts (gland based)

Descending - the staining is weaker in apical enterocytes compared to enterocytes in crypts

Antibody HPA019828Antibody HPA019829Antibody CAB008559
Glandular cells Not detectedNot detectedNot detected





STOMACH 2 - Antibody stainingi

Antibody staining in the annotated cell types in the current human tissue is reported as not detected, low, medium, or high, based on conventional immunohistochemistry profiling in selected tissues. This score is based on the combination of the staining intensity and fraction of stained cells. Each image is clickable and will lead to virtual microscopy that enables deeper exploration of all samples and also displays staining intensity scores, fraction scores and subcellular localization as well as patient and tissue information for each sample.

Ascending and descending describe two types of gradient, based on difference in staining intensity between enterocytes in crypts and apical enterocytes.

Ascending - the staining intensity is stronger in apical enterocytes (towards the lumen) compared to enterocytes in the crypts (gland based)

Descending - the staining is weaker in apical enterocytes compared to enterocytes in crypts

Antibody HPA019828Antibody HPA019829Antibody CAB008559
Glandular cells LowNot detectedNot detected







STOMACH - HPA RNA-seqi

The RNA-seq details section shows detailed information about the individual samples used for the transcript profiling and results of the RNA-seq analysis.

Information about each individual sample is listed below, including gender, age, a tissue section image and estimated fractions of cell types. nTPM (normalized transcripts per million) values give a quantification of the gene abundance which is comparable between different genes and samples.

Average nTPMi

Max subtype nTPM is the value for the subtype with the largest average nTPM across the subtype samples.

0.9
overview
Female, age 33
Stomach sample 61
nTPM: 1.1
Cell types%
Glandular cells:
60

Smooth muscle cells:
5

Other cell types:
35

N/A
Male, age 82
Stomach sample 240
nTPM: 1
Cell types%
Glandular cells:
65

Smooth muscle cells:
5

Other cell types:
30

overview
Male, age 71
Stomach sample 241
nTPM: 0.7
Cell types%
Glandular cells:
50

Smooth muscle cells:
5

Other cell types:
45

overview
Female, age 66
Stomach sample 369
nTPM: 0.9
Cell types%
Glandular cells:
50

Smooth muscle cells:
10

Other cell types:
40


STOMACH - GTEx RNA-seqi

RNA-Seq data generated by the Genotype-Tissue Expression (GTEx) project from human tissues is reported as mean nTPM. More information can be found on the GTEx portal.

Distribution across the dataset is visualized with box plots, shown as median and 25th and 75th percentiles. Points are displayed as outliers if they are above or below 1.5 times the interquartile range. nTPM values of the individual samples are presented next to the box plot.

Max subtype nTPMi

Max subtype nTPM is the value for the subtype with the largest average nTPM across the subtype samples.

2.7
GTEx sample id Sample description nTPM
Stomach
Average nTPM: 2.7
Samples: 407

Max nTPM: 21.4
Min nTPM: 0.3
Std nTPM: 2.5
Median nTPM: 1.7
GTEX-X8HC-2226-SM-GRR2F 50-59 years, female 21.4
GTEX-REY6-2226-SM-GNTAC 60-69 years, male 17.0
GTEX-1HR9M-2326-SM-CNPPZ 60-69 years, male 13.6
GTEX-1HT8W-2326-SM-A9SLA 30-39 years, male 13.6
GTEX-13X6I-2426-SM-GJ3PG 60-69 years, male 13.1
GTEX-ZYVF-2726-SM-5GID4 50-59 years, female 12.8
GTEX-ZE7O-3026-SM-51MS4 50-59 years, female 11.3
GTEX-1CB4H-2426-SM-7PBYR 60-69 years, female 10.6
GTEX-11WQK-2126-SM-5EQME 50-59 years, male 8.7
GTEX-QDT8-2026-SM-EZ6LS 30-39 years, female 8.5
GTEX-1E1VI-2826-SM-7MGWU 50-59 years, male 8.4
GTEX-13N1W-2026-SM-5K7YU 70-79 years, male 8.3
GTEX-1B8L1-1526-SM-79OLK 60-69 years, male 8.0
GTEX-1MCQQ-1926-SM-F33ZU 60-69 years, male 7.9
GTEX-1F5PK-1826-SM-7RHHX 50-59 years, male 7.8
GTEX-1LVAM-1426-SM-E9TJ4 50-59 years, female 7.8
GTEX-131XE-2226-SM-5PNYX 50-59 years, male 7.5
GTEX-P4PQ-1526-SM-3NMCK 60-69 years, male 7.5
GTEX-15G1A-1226-SM-7KUF3 30-39 years, male 7.4
GTEX-13O3Q-2126-SM-5KM4C 50-59 years, male 7.3
GTEX-14E1K-1526-SM-664MN 50-59 years, male 7.3
GTEX-1EH9U-2226-SM-7PBXX 60-69 years, male 7.2
GTEX-WFJO-1126-SM-4LVLZ 30-39 years, male 7.2
GTEX-11EI6-2426-SM-5PNVS 60-69 years, male 7.0
GTEX-1S82Z-1726-SM-E6CHZ 30-39 years, female 7.0
GTEX-13OVI-2426-SM-5KM4J 60-69 years, female 6.8
GTEX-15SHW-2126-SM-6M46Y 60-69 years, male 6.8
GTEX-1KD5A-1426-SM-D4P3V 50-59 years, male 6.7
GTEX-1QW4Y-0726-SM-DTX8E 30-39 years, male 6.7
GTEX-1S3DN-1526-SM-EVYCB 50-59 years, male 6.3
GTEX-11P82-0726-SM-5PNYL 20-29 years, male 6.2
GTEX-XAJ8-0326-SM-47JYI 40-49 years, male 6.2
GTEX-UPK5-2126-SM-4JBJK 40-49 years, male 6.1
GTEX-13X6H-1626-SM-5Q5CT 50-59 years, female 6.0
GTEX-14PN3-1326-SM-6AJ9U 60-69 years, female 5.7
GTEX-1QP67-1026-SM-EVR47 40-49 years, female 5.7
GTEX-11EQ9-1226-SM-5987E 30-39 years, male 5.6
GTEX-13111-1226-SM-5GCNC 50-59 years, male 5.6
GTEX-1H3NZ-2226-SM-9WYUT 60-69 years, male 5.6
GTEX-1211K-1426-SM-5FQTF 60-69 years, female 5.5
GTEX-17JCI-2226-SM-7LTA1 60-69 years, female 5.5
GTEX-1E2YA-2426-SM-7EPIG 50-59 years, male 5.5
GTEX-1LC47-2126-SM-GQ1DD 60-69 years, male 5.5
GTEX-1H23P-2726-SM-9JGHN 60-69 years, male 5.4
GTEX-NPJ8-0926-SM-GRR2B 40-49 years, male 5.4
GTEX-PLZ6-0826-SM-3P61K 30-39 years, male 5.4
GTEX-RUSQ-1126-SM-EAZAU 50-59 years, male 5.4
GTEX-ZG7Y-1726-SM-GNINM 50-59 years, male 5.4
GTEX-12C56-0526-SM-5FQST 20-29 years, male 5.3
GTEX-14PKU-1126-SM-69LOU 40-49 years, female 5.3
GTEX-17KNJ-1526-SM-7LTA9 50-59 years, male 5.3
GTEX-1IL2V-2026-SM-ARZMA 70-79 years, male 5.3
GTEX-13QJ3-2726-SM-5SI6L 50-59 years, male 5.2
GTEX-1PIGE-1126-SM-EWRMV 20-29 years, male 5.2
GTEX-OHPN-2026-SM-E9TIA 60-69 years, female 5.2
GTEX-T5JC-1926-SM-4DM6Q 20-29 years, male 5.2
GTEX-ZV6S-0926-SM-57WGB 40-49 years, female 5.2
GTEX-11P7K-1726-SM-5GU6F 30-39 years, male 5.1
GTEX-15EU6-2526-SM-7KUGB 50-59 years, male 5.1
GTEX-1JMQJ-1326-SM-D4P3B 50-59 years, male 5.1
GTEX-O5YV-1926-SM-EV797 60-69 years, female 5.1
GTEX-146FR-2026-SM-5NQAI 60-69 years, female 5.0
GTEX-1CB4E-1326-SM-7DUGD 60-69 years, male 5.0
GTEX-TKQ2-0926-SM-4DXU5 50-59 years, male 5.0
GTEX-12WSJ-0926-SM-5P9JD 40-49 years, female 4.9
GTEX-1399U-1626-SM-5P9J3 50-59 years, female 4.9
GTEX-15RIF-1126-SM-7KUG2 20-29 years, male 4.9
GTEX-R55C-1026-SM-48FCM 40-49 years, male 4.9
GTEX-WH7G-1526-SM-4LVMX 40-49 years, male 4.9
GTEX-1339X-1426-SM-5K7YO 40-49 years, male 4.8
GTEX-1LGRB-1726-SM-CNNRA 50-59 years, female 4.8
GTEX-Y114-1226-SM-4TT88 50-59 years, female 4.8
GTEX-13O61-1126-SM-5L3FI 60-69 years, male 4.7
GTEX-1A3MX-1926-SM-72D7F 60-69 years, male 4.7
GTEX-1C64O-2226-SM-73KTV 60-69 years, male 4.7
GTEX-1H1DE-1226-SM-9JGHH 20-29 years, male 4.7
GTEX-1OJC3-1526-SM-GPRXU 20-29 years, male 4.7
GTEX-145MO-2226-SM-5Q5BN 60-69 years, male 4.6
GTEX-TKQ1-0526-SM-4DXTG 30-39 years, male 4.6
GTEX-13RTK-0226-SM-5RQHR 20-29 years, male 4.5
GTEX-1PPH8-1326-SM-DTXFO 20-29 years, male 4.5
GTEX-1S5ZA-1226-SM-F648J 20-29 years, male 4.5
GTEX-S4P3-0726-SM-4AD57 50-59 years, female 4.5
GTEX-Z9EW-1026-SM-HPAFC 40-49 years, male 4.4
GTEX-11ZUS-2026-SM-HAV1T 30-39 years, male 4.3
GTEX-14PHY-0926-SM-5ZZWL 60-69 years, female 4.3
GTEX-1GPI7-1326-SM-9KNVA 20-29 years, male 4.3
GTEX-1IDJF-1426-SM-ACKWK 20-29 years, male 4.3
GTEX-18D9B-2226-SM-718BM 60-69 years, male 4.2
GTEX-1JN76-0926-SM-ARZNH 20-29 years, female 4.2
GTEX-1S831-1126-SM-EWROI 20-29 years, male 4.2
GTEX-XPT6-0726-SM-GRR2L 20-29 years, male 4.2
GTEX-1NSGN-1926-SM-E9J36 50-59 years, male 4.1
GTEX-RU1J-0526-SM-46MUT 20-29 years, female 4.1
GTEX-WZTO-2126-SM-4PQYW 40-49 years, male 4.1
GTEX-1AX9J-2626-SM-731EK 60-69 years, male 4.0
GTEX-1N2DV-0926-SM-E9TJT 40-49 years, male 4.0
GTEX-O5YT-1526-SM-HAUYH 20-29 years, male 4.0
GTEX-OIZH-1526-SM-3NB1J 50-59 years, male 4.0
GTEX-146FH-2126-SM-5MR6V 50-59 years, female 3.9
GTEX-1H11D-2226-SM-9OSXN 40-49 years, male 3.9
GTEX-RNOR-1926-SM-HPAFF 50-59 years, female 3.9
GTEX-YECK-2126-SM-H65ZI 60-69 years, male 3.9
GTEX-17EUY-1526-SM-793CA 20-29 years, male 3.8
GTEX-1LSNM-1026-SM-DHXL2 50-59 years, male 3.8
GTEX-R55G-1126-SM-48FDG 40-49 years, female 3.8
GTEX-QESD-1226-SM-GOQYF 20-29 years, male 3.7
GTEX-ZTX8-0426-SM-59HLG 20-29 years, male 3.7
GTEX-1HCUA-1626-SM-A9SMG 50-59 years, female 3.6
GTEX-1HSMQ-2426-SM-CE6RY 50-59 years, male 3.6
GTEX-Y3I4-1626-SM-4TT7W 50-59 years, male 3.6
GTEX-13X6J-2126-SM-5TDCV 50-59 years, male 3.5
GTEX-1I4MK-0926-SM-A9SLD 50-59 years, female 3.5
GTEX-1K2DA-0826-SM-CGQGD 50-59 years, male 3.5
GTEX-Y8E4-1526-SM-4WWDI 40-49 years, male 3.5
GTEX-ZVT4-0926-SM-GRR2C 50-59 years, female 3.5
GTEX-XV7Q-1326-SM-4BRWM 40-49 years, female 3.4
GTEX-132AR-2426-SM-5IFFD 50-59 years, female 3.3
GTEX-14BMV-2226-SM-5RQHX 50-59 years, male 3.3
GTEX-178AV-1126-SM-GOQZZ 40-49 years, male 3.3
GTEX-1JMPY-0926-SM-ARL92 30-39 years, male 3.3
GTEX-1QP28-2126-SM-DTX8B 50-59 years, female 3.3
GTEX-P4QT-1526-SM-3NMCT 50-59 years, female 3.3
GTEX-1I1GT-1726-SM-C1YS3 60-69 years, female 3.2
GTEX-QDVN-1226-SM-48TZ5 50-59 years, male 3.2
GTEX-12BJ1-1726-SM-5HL9B 60-69 years, male 3.1
GTEX-14DAQ-2826-SM-664MU 60-69 years, female 3.1
GTEX-1HB9E-2226-SM-HPAFR 50-59 years, male 3.1
GTEX-W5X1-1326-SM-H6Q78 40-49 years, female 3.1
GTEX-X3Y1-1426-SM-GPRY2 40-49 years, male 3.1
GTEX-XPVG-1526-SM-4B66C 50-59 years, male 3.1
GTEX-Y9LG-1026-SM-5IFJN 30-39 years, male 3.1
GTEX-15G19-1526-SM-6LPKP 60-69 years, male 3.0
GTEX-17MF6-2126-SM-7KFS7 40-49 years, male 3.0
GTEX-OIZI-1626-SM-HPAFJ 40-49 years, male 3.0
GTEX-PLZ5-1226-SM-EXOHA 50-59 years, male 3.0
GTEX-Q2AH-1126-SM-43V7K 40-49 years, male 3.0
GTEX-S7SF-0626-SM-4AD4V 20-29 years, female 3.0
GTEX-YEC3-1426-SM-D4P1S 50-59 years, male 3.0
GTEX-ZVT3-2126-SM-59HL2 60-69 years, female 3.0
GTEX-139D8-2326-SM-5IFGE 30-39 years, female 2.9
GTEX-13S7M-1826-SM-5RQK6 60-69 years, female 2.9
GTEX-16MTA-1026-SM-GPI9L 50-59 years, male 2.9
GTEX-1GN1W-2126-SM-9JGI7 50-59 years, female 2.9
GTEX-1RQEC-2126-SM-DPS15 60-69 years, male 2.9
GTEX-R55D-1526-SM-48FEJ 50-59 years, male 2.9
GTEX-139YR-1926-SM-5LZXM 50-59 years, male 2.8
GTEX-16NGA-1526-SM-72D56 40-49 years, female 2.8
GTEX-RTLS-2626-SM-46MUJ 60-69 years, female 2.8
GTEX-XBEW-1826-SM-4RTWX 40-49 years, male 2.8
GTEX-1QCLZ-1826-SM-DPRXP 60-69 years, female 2.7
GTEX-UJHI-1026-SM-4IHJP 50-59 years, female 2.7
GTEX-132QS-1826-SM-5IFFN 60-69 years, male 2.6
GTEX-11VI4-0326-SM-5EQ6L 40-49 years, female 2.5
GTEX-1GMRU-2526-SM-9WG7T 50-59 years, male 2.5
GTEX-1QP29-2326-SM-EXOJO 50-59 years, male 2.5
GTEX-WYVS-1326-SM-4ONCQ 40-49 years, female 2.5
GTEX-ZEX8-1626-SM-4WKG7 50-59 years, male 2.5
GTEX-1HSEH-1526-SM-B2LXG 60-69 years, male 2.4
GTEX-1J8JJ-1726-SM-C1YQG 60-69 years, female 2.4
GTEX-1JKYN-1726-SM-AHZ48 30-39 years, male 2.4
GTEX-1MCYP-1126-SM-E9J2P 20-29 years, female 2.4
GTEX-N7MS-1926-SM-HPAFN 60-69 years, male 2.4
GTEX-OHPK-1526-SM-3MJGM 50-59 years, female 2.4
GTEX-18A66-2226-SM-7189E 60-69 years, male 2.3
GTEX-1GF9U-1126-SM-AHZ4H 40-49 years, female 2.3
GTEX-1MJK3-0526-SM-F2I3I 20-29 years, male 2.3
GTEX-P4QS-1526-SM-HPAFM 60-69 years, male 2.3
GTEX-16AAH-1226-SM-79OO9 50-59 years, male 2.2
GTEX-1H1DG-2126-SM-9WPPB 70-79 years, male 2.2
GTEX-131XG-1226-SM-5EGH9 50-59 years, female 2.1
GTEX-13CF3-1926-SM-5K7WF 60-69 years, female 2.1
GTEX-13FH7-1026-SM-5IJGF 50-59 years, female 2.1
GTEX-1I1GU-1526-SM-GA8YZ 40-49 years, male 2.1
GTEX-1LVAN-2426-SM-CNNPZ 50-59 years, female 2.1
GTEX-1MUQO-1926-SM-EAZ59 60-69 years, male 2.1
GTEX-1QMI2-2126-SM-DPRXQ 60-69 years, male 2.1
GTEX-OHPL-1526-SM-HPAFO 60-69 years, female 2.1
GTEX-QXCU-1926-SM-48FE4 50-59 years, male 2.1
GTEX-WHWD-1426-SM-4M9Q7 50-59 years, male 2.1
GTEX-1A3MV-1226-SM-718BW 30-39 years, male 2.0
GTEX-1IDJC-0926-SM-GA8ZV 50-59 years, male 2.0
GTEX-1J8Q3-1926-SM-C1YSJ 60-69 years, male 2.0
GTEX-1JMLX-2426-SM-CXZJQ 50-59 years, male 2.0
GTEX-O5YW-1526-SM-3MJGL 50-59 years, male 2.0
GTEX-SNOS-0826-SM-4DM5N 40-49 years, male 2.0
GTEX-ZAB4-1526-SM-5CVN7 40-49 years, male 2.0
GTEX-117YX-1026-SM-5H11V 50-59 years, male 1.9
GTEX-12WSD-2326-SM-59HKQ 60-69 years, female 1.9
GTEX-13PVR-2126-SM-5P9ID 60-69 years, female 1.9
GTEX-1CAMR-0726-SM-7EPIE 20-29 years, male 1.9
GTEX-1F75I-1826-SM-7MKGX 40-49 years, male 1.9
GTEX-YF7O-1126-SM-HPAFQ 50-59 years, male 1.9
GTEX-17GQL-1226-SM-7KFTS 60-69 years, male 1.8
GTEX-17HGU-2126-SM-7IGOV 50-59 years, male 1.8
GTEX-17HHE-1026-SM-79ON6 50-59 years, male 1.8
GTEX-17HII-2426-SM-7KFTT 50-59 years, male 1.8
GTEX-18A7A-2726-SM-7LG6U 50-59 years, female 1.8
GTEX-1AMEY-1226-SM-731DU 30-39 years, female 1.8
GTEX-1JMPZ-1826-SM-CXZJT 30-39 years, male 1.8
GTEX-QMRM-1126-SM-447BN 50-59 years, male 1.8
GTEX-U8XE-2126-SM-HPAFD 30-39 years, male 1.8
GTEX-13U4I-2526-SM-5MR61 40-49 years, female 1.7
GTEX-14XAO-1626-SM-HAV2C 60-69 years, female 1.7
GTEX-15UF7-1226-SM-6M46G 40-49 years, male 1.7
GTEX-1F5PL-1426-SM-7MKFH 40-49 years, female 1.7
GTEX-R53T-1226-SM-48FCT 50-59 years, female 1.7
GTEX-SUCS-0926-SM-4DM4Z 70-79 years, male 1.7
GTEX-T8EM-1226-SM-4DM5J 40-49 years, male 1.7
GTEX-U4B1-1026-SM-4DXT1 40-49 years, male 1.7
GTEX-XBED-1226-SM-4AT5V 60-69 years, male 1.7
GTEX-YB5K-1326-101792-SM-EY5X9 40-49 years, female 1.7
GTEX-YJ8A-1526-SM-5P9FT 20-29 years, male 1.7
GTEX-ZTPG-1826-SM-HPAFE 20-29 years, female 1.7
GTEX-1J8EW-2226-SM-AHZ3T 60-69 years, female 1.6
GTEX-Q734-1026-SM-48U16 40-49 years, female 1.6
GTEX-S341-0626-SM-4AD5T 40-49 years, female 1.6
GTEX-WRHK-0626-SM-4MVOE 20-29 years, female 1.6
GTEX-WY7C-1726-SM-4ONCC 50-59 years, male 1.6
GTEX-ZZPU-1426-SM-5GZZ6 50-59 years, female 1.6
GTEX-13FLV-3026-SM-HK7AM 50-59 years, male 1.5
GTEX-14ICL-0826-SM-5YY9W 30-39 years, male 1.5
GTEX-14JG6-1226-SM-664O6 30-39 years, female 1.5
GTEX-1HFI7-1526-SM-9WG7W 50-59 years, female 1.5
GTEX-WHSB-1226-SM-4M1XR 50-59 years, male 1.5
GTEX-Y5LM-1326-SM-5RQIS 40-49 years, female 1.5
GTEX-Y8LW-0826-SM-4WWDO 50-59 years, female 1.5
GTEX-ZLV1-0826-SM-DO11P 60-69 years, female 1.5
GTEX-11NUK-2426-SM-5BC4U 50-59 years, male 1.4
GTEX-11TT1-0726-SM-5GU5A 20-29 years, male 1.4
GTEX-12WSG-2026-SM-5FQUU 50-59 years, female 1.4
GTEX-14PJ4-1626-SM-664OB 60-69 years, male 1.4
GTEX-18D9A-0626-SM-7KFTY 30-39 years, female 1.4
GTEX-1AYCT-1326-SM-7MKHB 50-59 years, male 1.4
GTEX-1B97I-1226-SM-7MGWQ 40-49 years, male 1.4
GTEX-1KXAM-0926-SM-CXZKA 60-69 years, male 1.4
GTEX-1OFPY-1726-SM-HPAEY 60-69 years, male 1.4
GTEX-1RAZR-1526-SM-EAZ4U 40-49 years, male 1.4
GTEX-NFK9-1526-SM-3LK7B 40-49 years, male 1.4
GTEX-OXRK-1626-SM-3NB17 50-59 years, female 1.4
GTEX-P78B-1826-SM-3P5YX 40-49 years, female 1.4
GTEX-QCQG-0526-SM-48U2A 50-59 years, female 1.4
GTEX-T6MO-0726-SM-4DM58 40-49 years, female 1.4
GTEX-U3ZN-2026-SM-4DXUC 30-39 years, female 1.4
GTEX-WEY5-1226-SM-4LMIQ 40-49 years, female 1.4
GTEX-WOFM-0926-SM-EYYVF 20-29 years, male 1.4
GTEX-Y5V6-1326-SM-4VDTF 60-69 years, male 1.4
GTEX-ZF2S-1426-SM-57WET 50-59 years, female 1.4
GTEX-12WSK-1426-SM-5CVNN 40-49 years, female 1.3
GTEX-1399S-1626-SM-5P9GI 30-39 years, female 1.3
GTEX-13D11-2126-SM-5IFH2 50-59 years, female 1.3
GTEX-13OW6-2526-SM-5IJEC 50-59 years, male 1.3
GTEX-13QBU-1126-SM-5LU44 40-49 years, female 1.3
GTEX-144GN-1226-SM-5O991 50-59 years, male 1.3
GTEX-14BIL-1926-SM-5P9FA 50-59 years, male 1.3
GTEX-15SDE-0526-SM-H7OFV 50-59 years, female 1.3
GTEX-1B97J-1826-SM-7IGPP 50-59 years, female 1.3
GTEX-1H3VY-2326-SM-9WG81 50-59 years, male 1.3
GTEX-1HBPI-0726-SM-9WG7Z 50-59 years, male 1.3
GTEX-1HSMP-2126-SM-GA8Z6 70-79 years, male 1.3
GTEX-1I1HK-2026-SM-CNNRB 60-69 years, male 1.3
GTEX-1JK1U-1326-SM-AHZ45 60-69 years, male 1.3
GTEX-1N2EE-2626-SM-F2I1M 60-69 years, male 1.3
GTEX-1NUQO-2426-SM-F2I24 20-29 years, female 1.3
GTEX-1R9K5-1026-SM-EAZ4F 50-59 years, male 1.3
GTEX-OIZF-1526-SM-2I5GR 60-69 years, male 1.3
GTEX-OOBJ-1526-SM-3NB1Q 60-69 years, male 1.3
GTEX-POMQ-0826-SM-3P61H 20-29 years, female 1.3
GTEX-QDVJ-1426-SM-48U1Y 50-59 years, male 1.3
GTEX-RM2N-0826-SM-48FD3 50-59 years, male 1.3
GTEX-V1D1-1726-SM-4JBHB 50-59 years, male 1.3
GTEX-WHPG-0426-SM-4M1XW 50-59 years, male 1.3
GTEX-ZVP2-1626-SM-5GU5D 50-59 years, male 1.3
GTEX-11EM3-1026-SM-5A5KL 20-29 years, female 1.2
GTEX-12696-1726-SM-5EQLH 60-69 years, male 1.2
GTEX-133LE-1326-SM-5IFGO 20-29 years, female 1.2
GTEX-145LT-1426-SM-5O9B3 40-49 years, male 1.2
GTEX-17F98-1526-SM-7EWD8 40-49 years, female 1.2
GTEX-1GZ4H-1026-SM-9OSXL 50-59 years, female 1.2
GTEX-1HKZK-1526-SM-B2LWG 40-49 years, male 1.2
GTEX-1I6K7-1726-SM-B2LXQ 40-49 years, male 1.2
GTEX-1RNTQ-1826-SM-F2I3A 20-29 years, female 1.2
GTEX-1S82P-1726-SM-F2I28 60-69 years, female 1.2
GTEX-PW2O-1226-SM-48TCH 20-29 years, male 1.2
GTEX-QV44-1226-SM-CJI1S 50-59 years, male 1.2
GTEX-UJMC-1226-SM-4IHLI 50-59 years, male 1.2
GTEX-V955-1326-SM-4JBHR 60-69 years, male 1.2
GTEX-WFG8-1326-SM-4LVN3 20-29 years, male 1.2
GTEX-ZXES-1426-SM-5NQ8S 30-39 years, female 1.2
GTEX-111YS-1126-SM-5GZYQ 60-69 years, male 1.1
GTEX-13PVQ-2126-SM-5L3FW 50-59 years, male 1.1
GTEX-145ME-1026-SM-5O9B4 40-49 years, female 1.1
GTEX-14DAR-0926-SM-73KUQ 50-59 years, male 1.1
GTEX-1AMFI-1226-SM-731CZ 50-59 years, female 1.1
GTEX-1IDJD-2426-SM-C1YS6 30-39 years, male 1.1
GTEX-WYJK-2526-SM-4ONDF 50-59 years, male 1.1
GTEX-ZLFU-1326-SM-DO11R 40-49 years, male 1.1
GTEX-ZVZP-1726-SM-5GZWY 50-59 years, male 1.1
GTEX-ZYY3-1726-SM-5EGH3 60-69 years, female 1.1
GTEX-11GSP-2126-SM-5HL5E 60-69 years, female 1.0
GTEX-13113-0726-SM-5LZUF 60-69 years, female 1.0
GTEX-131XF-1226-SM-5HL8V 60-69 years, male 1.0
GTEX-13FTW-1726-SM-5KM2B 40-49 years, male 1.0
GTEX-13PL7-0126-SM-5NQAR 60-69 years, female 1.0
GTEX-14B4R-0726-SM-5TDDR 30-39 years, male 1.0
GTEX-14BMU-1126-SM-5RQJ8 20-29 years, female 1.0
GTEX-14PJ6-0826-SM-686Z9 60-69 years, female 1.0
GTEX-15RIE-1026-SM-6LPJQ 60-69 years, male 1.0
GTEX-15UKP-2326-SM-HAV1Z 20-29 years, male 1.0
GTEX-18A67-2626-SM-718AD 50-59 years, male 1.0
GTEX-1A8G6-1426-SM-731EZ 60-69 years, male 1.0
GTEX-1B8KE-1326-SM-73KVI 50-59 years, male 1.0
GTEX-1HSGN-2026-SM-GA8YP 40-49 years, female 1.0
GTEX-1IDJU-1526-SM-CNNR3 60-69 years, female 1.0
GTEX-1MA7W-1126-SM-HPAF2 20-29 years, female 1.0
GTEX-1QCLY-1126-SM-EAZ4J 30-39 years, male 1.0
GTEX-OHPM-1526-SM-EV796 50-59 years, male 1.0
GTEX-OXRL-1526-SM-E6CHQ 50-59 years, male 1.0
GTEX-S4UY-1626-SM-4AD55 40-49 years, female 1.0
GTEX-XMK1-1526-SM-EYYVO 40-49 years, male 1.0
GTEX-XUZC-0726-SM-4BOPH 30-39 years, female 1.0
GTEX-ZA64-0826-SM-5HL9U 20-29 years, male 1.0
GTEX-ZP4G-1226-SM-4WWCJ 20-29 years, female 1.0
GTEX-ZY6K-0726-SM-5A5L8 50-59 years, male 1.0
GTEX-ZZ64-0426-SM-5E43F 20-29 years, male 1.0
GTEX-117YW-2226-SM-5N9DB 50-59 years, male 0.9
GTEX-11I78-1726-SM-5A5M3 50-59 years, female 0.9
GTEX-1399R-1126-SM-5IFIO 30-39 years, male 0.9
GTEX-13OVK-0926-SM-7KUFX 40-49 years, male 0.9
GTEX-14E6E-0926-SM-664N8 30-39 years, male 0.9
GTEX-14PHX-1026-SM-664OL 50-59 years, male 0.9
GTEX-14PJ3-1426-SM-664O8 50-59 years, male 0.9
GTEX-14PKV-1826-SM-69LO9 20-29 years, female 0.9
GTEX-17F9E-2226-SM-7IGNC 50-59 years, male 0.9
GTEX-18QFQ-1226-SM-718AE 30-39 years, male 0.9
GTEX-1C475-1026-SM-7MKFJ 40-49 years, female 0.9
GTEX-1J8QM-1126-SM-C1YQB 60-69 years, female 0.9
GTEX-1LBAC-1426-SM-CXZKT 20-29 years, male 0.9
GTEX-1LG7Z-1226-SM-DHXK4 30-39 years, male 0.9
GTEX-1MJIX-1126-SM-EV7AO 40-49 years, male 0.9
GTEX-Q2AI-0826-SM-48TZO 40-49 years, male 0.9
GTEX-S3XE-1026-SM-4AD4O 50-59 years, male 0.9
GTEX-S4Q7-0726-SM-4AD5F 20-29 years, male 0.9
GTEX-WFG7-1326-SM-4LMK1 20-29 years, male 0.9
GTEX-X15G-1126-SM-4PQZG 50-59 years, female 0.9
GTEX-XQ8I-2026-SM-4BOOL 50-59 years, male 0.9
GTEX-YB5E-1126-SM-664NU 40-49 years, male 0.9
GTEX-ZLWG-1526-SM-DO12F 50-59 years, female 0.9
GTEX-ZQUD-0826-SM-57WDQ 30-39 years, male 0.9
GTEX-ZV7C-1626-SM-5NQ7E 50-59 years, male 0.9
GTEX-ZVT2-1626-SM-51MRC 50-59 years, female 0.9
GTEX-1122O-1926-SM-5EGIQ 60-69 years, female 0.8
GTEX-11DXX-1326-SM-5GIDZ 60-69 years, female 0.8
GTEX-11NSD-1426-SM-5HL67 20-29 years, male 0.8
GTEX-144GM-1726-SM-5O9AS 20-29 years, male 0.8
GTEX-14E7W-2426-SM-HAV1U 70-79 years, male 0.8
GTEX-14PJ5-0826-SM-6AJAR 60-69 years, female 0.8
GTEX-15DZA-1126-SM-6LPK8 30-39 years, female 0.8
GTEX-1B8KZ-1226-SM-793CP 50-59 years, male 0.8
GTEX-1H1E6-1626-SM-9OSWC 30-39 years, male 0.8
GTEX-1QP2A-2126-SM-DPRZ7 50-59 years, male 0.8
GTEX-1RMOY-1126-SM-EV79E 50-59 years, male 0.8
GTEX-P4PP-1526-SM-3P61M 30-39 years, female 0.8
GTEX-PWCY-0926-SM-48TD7 20-29 years, female 0.8
GTEX-PX3G-1526-SM-48U11 20-29 years, female 0.8
GTEX-QLQ7-0826-SM-447B3 60-69 years, male 0.8
GTEX-SNMC-0626-SM-4DM6H 20-29 years, male 0.8
GTEX-TMMY-1626-SM-4DXTY 40-49 years, female 0.8
GTEX-W5WG-1726-SM-4LMI5 50-59 years, female 0.8
GTEX-XUW1-2126-SM-F21J2 50-59 years, female 0.8
GTEX-Y3IK-1426-SM-4YCES 50-59 years, female 0.8
GTEX-YEC4-1426-SM-5IFHS 40-49 years, male 0.8
GTEX-ZYFG-1326-SM-5GICJ 60-69 years, female 0.8
GTEX-145MN-1326-SM-5NQ9S 30-39 years, male 0.7
GTEX-15CHC-1826-SM-HAV1O 60-69 years, female 0.7
GTEX-15CHR-1326-SM-79OLT 50-59 years, male 0.7
GTEX-15DCE-1626-SM-6LPJM 20-29 years, male 0.7
GTEX-1HBPN-1626-SM-9WPNP 50-59 years, male 0.7
GTEX-1ICG6-1826-SM-AHZ2O 70-79 years, female 0.7
GTEX-1LGOU-1526-SM-D3LAJ 20-29 years, female 0.7
GTEX-1MGNQ-1826-SM-DPRYI 40-49 years, male 0.7
GTEX-1QPFJ-1526-SM-DPRXT 30-39 years, female 0.7
GTEX-1R7EU-1126-SM-EAZ4M 60-69 years, male 0.7
GTEX-1R9JW-1826-SM-F2I1Q 30-39 years, female 0.7
GTEX-QV31-0626-SM-447C5 30-39 years, male 0.7
GTEX-S95S-0826-SM-4B64N 60-69 years, male 0.7
GTEX-T5JW-0926-SM-4DM5K 20-29 years, female 0.7
GTEX-VJYA-1026-SM-4KL21 60-69 years, male 0.7
GTEX-WFON-1126-SM-4LVMA 40-49 years, male 0.7
GTEX-WXYG-1626-SM-4ONCR 50-59 years, female 0.7
GTEX-XXEK-0826-SM-4BRWG 50-59 years, male 0.7
GTEX-YFCO-0826-SM-5LUAG 40-49 years, male 0.7
GTEX-ZGAY-1626-SM-DNZZ3 40-49 years, female 0.7
GTEX-ZPU1-1626-SM-4WWB2 40-49 years, male 0.7
GTEX-111CU-0926-SM-5EGIK 50-59 years, male 0.6
GTEX-1KANA-1126-SM-D3L9M 20-29 years, male 0.6
GTEX-1OKEX-1526-SM-HPAF1 60-69 years, male 0.6
GTEX-1RB15-1026-SM-E9U6V 60-69 years, male 0.6
GTEX-PWN1-1526-SM-48TDA 40-49 years, female 0.6
GTEX-QLQW-0726-SM-447AA 30-39 years, male 0.6
GTEX-ZT9W-1526-SM-4YCDE 50-59 years, male 0.6
GTEX-13O21-0926-SM-5IFGT 50-59 years, male 0.5
GTEX-1GL5R-1926-SM-9WG7U 50-59 years, male 0.5
GTEX-RWS6-0926-SM-47JXE 60-69 years, female 0.5
GTEX-13FTX-0726-SM-5N9BI 20-29 years, female 0.4
GTEX-ZF29-1526-SM-4WKF7 60-69 years, female 0.4
GTEX-ZDYS-1926-SM-5HL59 50-59 years, male 0.3
Show allShow less

Contact

  • NEWS ARTICLES
  • PRESS ROOM

The Project

  • INTRODUCTION
  • ORGANIZATION
  • PUBLICATIONS

The Human Protein Atlas

  • DOWNLOADABLE DATA
  • LICENCE & CITATION
  • HELP & FAQ
KAW logo The Human Protein Atlas project is funded
by the Knut & Alice Wallenberg Foundation.

Facebook logo X logo Bluesky logo Linkedin logo RSS feed logo contact@proteinatlas.org
GCBR logo Elixir core logo SciLifeLab logo Uppsala university logo KI logo KTH logo