We use cookies to enhance the usability of our website. If you continue, we'll assume that you are happy to receive all cookies. More information. Don't show this again.
CHUK
HPA
RESOURCES
  • TISSUE
  • BRAIN
  • SINGLE CELL
  • SUBCELLULAR
  • CANCER
  • BLOOD
  • CELL LINE
  • STRUCTURE
  • INTERACTION
ABOUT
  • INTRODUCTION
  • HISTORY
  • ORGANIZATION
  • PUBLICATIONS
  • ACKNOWLEDGMENTS
  • CONTACT
NEWS
  • NEWS ARTICLES
  • PRESS ROOM
LEARN
  • DICTIONARY
  • PROTEIN CLASSES
  • PROTEIN EVIDENCE
  • METHODS
  • EDUCATIONAL VIDEOS
DATA
  • DOWNLOADABLE DATA
  • PUBLICATION DATA
  • RELEASE HISTORY
HELP
  • HELP & FAQ
  • ANTIBODY AVAILABILITY
  • DISCLAIMER
  • PRIVACY STATEMENT
  • LICENCE & CITATION
Fields »
Search result

Field
Term
Gene name
Class
Subclass
Category
Keyword
Chromosome
External id
Tissue
Cell type
Expression
Antibody panel
Tissue
Main location
Patient ID
Annotation
Tissue
Category
Tau score
Cluster
Reliability
Brain region
Category
Tau score
Brain region
Category
Tau score
Brain region
Category
Tau score
Cluster
Reliability
Tissue
Cell type
Enrichment
Cell type
Category
Tau score
Cell type group
Category
Tau score
Cell type
Category
Tau score
Cell type
Category
Tau score
Cell lineage
Category
Tau score
Cluster
Cluster
Location
Searches
Location
Cell line
Class
Type
Phase
Reliability
Cancer
Prognosis
Cancer
Category
Cancer
Category
Tau score
Cluster
Variants
Interacting gene (ensg_id)
Type
Number of interactions
Pathway
ipTM
Category
Category
Category
Category
Validation
Validation
Validation
Validation
Antibodies
Data type
Column


  • SUMMARY

  • TISSUE

  • BRAIN

  • SINGLE CELL

  • SUBCELL

  • CANCER

  • BLOOD

  • CELL LINE

  • STRUCTURE

  • INTERACTION

  • CHUK
TISSUE PRIMARY DATA CERVIX Show tissue menu
ADIPOSE TISSUE ADRENAL GLAND AMYGDALA APPENDIX BASAL GANGLIA BLOOD VESSEL BONE MARROW BREAST BRONCHUS CEREBELLUM CEREBRAL CORTEX CERVIX CHOROID PLEXUS COLON
DUODENUM ENDOMETRIUM EPIDIDYMIS ESOPHAGUS FALLOPIAN TUBE GALLBLADDER HEART MUSCLE HIPPOCAMPAL FORMATION HYPOTHALAMUS KIDNEY LIVER LUNG LYMPH NODE MIDBRAIN
NASOPHARYNX ORAL MUCOSA OVARY PANCREAS PARATHYROID GLAND PITUITARY GLAND PLACENTA PROSTATE RECTUM RETINA SALIVARY GLAND SEMINAL VESICLE SKELETAL MUSCLE SKIN
SMALL INTESTINE SMOOTH MUSCLE SOFT TISSUE SPINAL CORD SPLEEN STOMACH TESTIS THYMUS THYROID GLAND TONGUE TONSIL URINARY BLADDER VAGINA
ANTIBODIES
AND
VALIDATION
Dictionary
Cervix
Tissue proteome
Cervix
Tissue methods
CERVIX - Expression summary
Protein expression
Cervixi

On the top, protein expression in current human tissue, based on all annotated cell types, is reported with the units not detected (n), low (l), medium (m) and high (h). Underneath, protein expression in each annotated cell type are reported using the same units. Protein expression data is based on knowledge-based annotation. For genes where more than one antibody has been used, a collective score is set. If knowledge-based annotation could not be performed for a gene, no data is displayed here. View antibody staining data further down this page.

h
m
l
n
Glandular cells: Medium
Squamous epithelial cells: Medium
RNA expressioni

A summary of mRNA expression data available for current tissue based on several datasets. The mRNA expression levels in human tissues are based on RNA-seq data generated by the Human Protein Atlas HPA, Genotype-Tissue Expression GTEx portal and CAGE data generated by the FANTOM5 consortium. Consensus normalized expression levels for human tissues was created by combining the data from HPA and GTEx datasets. The mRNA expression levels in pig brain are based on RNA-seq data generated by the Human Protein Atlas, and for mouse brain HPA data and in situ hybridization generated by the Allen brain atlas dataset are reported.

Scroll down to view mRNA expression data in more detail.

Consensus:7.9 nTPM
HPA:7.9 nTPM
GTEx:5.5 nTPM
FANTOM5:24.1 Scaled Tags Per Million

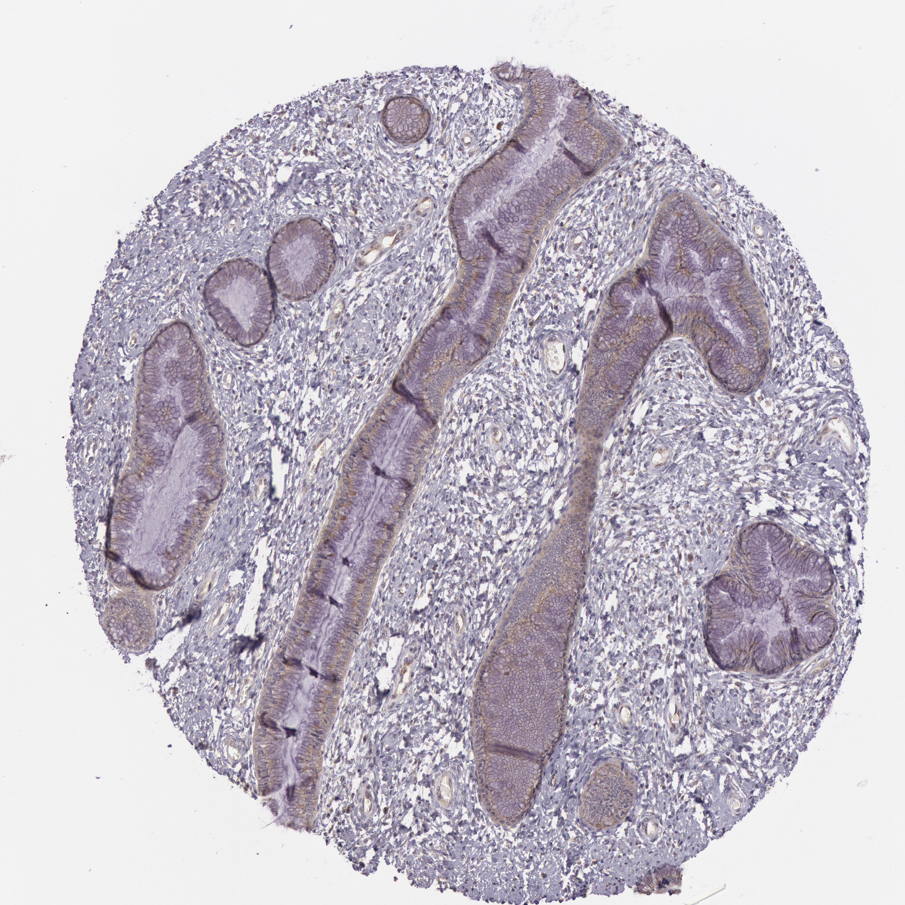
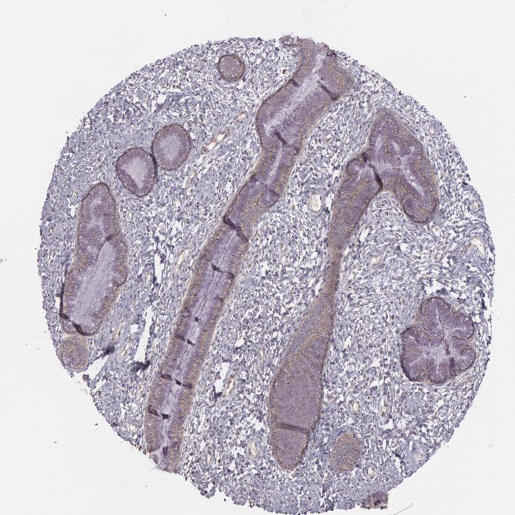
CERVIX - Antibody stainingi

Antibody staining in the annotated cell types in the current human tissue is reported as not detected, low, medium, or high, based on conventional immunohistochemistry profiling in selected tissues. This score is based on the combination of the staining intensity and fraction of stained cells. Each image is clickable and will lead to virtual microscopy that enables deeper exploration of all samples and also displays staining intensity scores, fraction scores and subcellular localization as well as patient and tissue information for each sample.

Ascending and descending describe two types of gradient, based on difference in staining intensity between enterocytes in crypts and apical enterocytes.

Ascending - the staining intensity is stronger in apical enterocytes (towards the lumen) compared to enterocytes in the crypts (gland based)

Descending - the staining is weaker in apical enterocytes compared to enterocytes in crypts

Antibody HPA001402Antibody CAB004240Antibody CAB018564
Glandular cells LowHighLow
Squamous epithelial cells -MediumNot detected





CERVIX - HPA RNA-seqi

The RNA-seq details section shows detailed information about the individual samples used for the transcript profiling and results of the RNA-seq analysis.

Information about each individual sample is listed below, including gender, age, a tissue section image and estimated fractions of cell types. nTPM (normalized transcripts per million) values give a quantification of the gene abundance which is comparable between different genes and samples.

Average nTPMi

Max subtype nTPM is the value for the subtype with the largest average nTPM across the subtype samples.

7.9
overview
Female, age 44
Cervix sample 374
nTPM: 6.9
Cell types%
Glandular cells:
10

Squamous epithelial cells:
5

Smooth muscle cells:
65

Other cell types:
20

overview
Female, age 53
Cervix sample 383
nTPM: 8.9
Cell types%
Glandular cells:
10

Squamous epithelial cells:
5

Smooth muscle cells:
65

Other cell types:
20


CERVIX - GTEx RNA-seqi

RNA-Seq data generated by the Genotype-Tissue Expression (GTEx) project from human tissues is reported as mean nTPM. More information can be found on the GTEx portal.

Distribution across the dataset is visualized with box plots, shown as median and 25th and 75th percentiles. Points are displayed as outliers if they are above or below 1.5 times the interquartile range. nTPM values of the individual samples are presented next to the box plot.

Max subtype nTPMi

Max subtype nTPM is the value for the subtype with the largest average nTPM across the subtype samples.

5.5
GTEx sample id Sample description nTPM
Cervix - Ectocervix
Average nTPM: 5.4
Samples: 24

Max nTPM: 9.3
Min nTPM: 3.2
Std nTPM: 1.6
Median nTPM: 5.2
GTEX-S32W-1526-SM-4AD6Z 50-59 years, female 9.3
GTEX-OHPL-2126-SM-GPRYM 60-69 years, female 8.1
GTEX-P4QT-2126-SM-H6Q7H 50-59 years, female 7.9
GTEX-S341-1126-SM-4AD6T 40-49 years, female 7.4
GTEX-PWN1-2126-SM-H6Q83 40-49 years, female 7.2
GTEX-POMQ-1526-SM-HL9TL 20-29 years, female 6.8
GTEX-S4UY-1426-SM-4AD6Y 40-49 years, female 6.5
GTEX-PX3G-2226-SM-GOQZQ 20-29 years, female 5.7
GTEX-T5JW-0726-SM-4DM6D 20-29 years, female 5.5
GTEX-P4PP-2226-SM-GRR1L 30-39 years, female 5.3
GTEX-T6MO-1326-SM-H7OGZ 40-49 years, female 5.3
GTEX-TML8-0826-SM-GNIN4 40-49 years, female 5.2
GTEX-QCQG-1026-SM-GOQYG 50-59 years, female 5.1
GTEX-R55G-1826-SM-HL9TM 40-49 years, female 4.8
GTEX-TMMY-2026-SM-GPI8C 40-49 years, female 4.8
GTEX-Q2AG-2326-SM-EZ6KY 40-49 years, female 4.4
GTEX-QDT8-2626-SM-GPI86 30-39 years, female 4.4
GTEX-P78B-2326-SM-EZ6KO 40-49 years, female 4.3
GTEX-QVJO-2726-SM-GQ1CG 60-69 years, female 3.9
GTEX-T2IS-2326-SM-HL9TW 20-29 years, female 3.9
GTEX-TSE9-2826-SM-4DXTF 60-69 years, female 3.7
GTEX-N7MT-0826-SM-EV794 60-69 years, female 3.6
GTEX-Q734-1526-SM-GQ1EE 40-49 years, female 3.3
GTEX-SN8G-2126-SM-GPI8G 50-59 years, female 3.2
Show allShow less
Cervix - Endocervix
Average nTPM: 5.5
Samples: 23

Max nTPM: 9.8
Min nTPM: 3.3
Std nTPM: 1.6
Median nTPM: 5.2
GTEX-S32W-1626-SM-4AD6G 50-59 years, female 9.8
GTEX-RU1J-1126-SM-GPRWI 20-29 years, female 8.6
GTEX-OHPK-2226-SM-HL9TP 50-59 years, female 7.6
GTEX-ZPIC-1326-SM-DO91Y 40-49 years, female 7.4
GTEX-PWN1-2226-SM-HAUZA 40-49 years, female 7.1
GTEX-OHPN-2226-SM-E9TI7 60-69 years, female 6.6
GTEX-S4UY-1526-SM-GNTAF 40-49 years, female 6.3
GTEX-OHPL-2226-SM-G9ER8 60-69 years, female 5.9
GTEX-RWS6-1626-SM-GOQYA 60-69 years, female 5.9
GTEX-TML8-0726-SM-4DXTT 40-49 years, female 5.8
GTEX-P4PP-2126-SM-H7OF1 30-39 years, female 5.7
GTEX-S341-1326-SM-4AD72 40-49 years, female 5.2
GTEX-QCQG-1126-SM-GOQYH 50-59 years, female 4.8
GTEX-T2IS-2426-SM-HL9U4 20-29 years, female 4.8
GTEX-T5JW-0826-SM-EYYVD 20-29 years, female 4.8
GTEX-PX3G-2126-SM-HL9TS 20-29 years, female 4.5
GTEX-T6MO-1426-SM-4DM73 40-49 years, female 4.4
GTEX-PLZ4-2226-SM-EZ6KS 50-59 years, female 4.1
GTEX-TSE9-2726-SM-4DXSQ 60-69 years, female 3.9
GTEX-P78B-2426-SM-EWRM2 40-49 years, female 3.7
GTEX-N7MT-0926-SM-HAUYT 60-69 years, female 3.5
GTEX-Q734-1726-SM-HL9TR 40-49 years, female 3.4
GTEX-QVJO-2826-SM-F21IP 60-69 years, female 3.3
Show allShow less

CERVIX - FANTOM5 CAGEi

RNA expression in human tissues obtained through Cap Analysis of Gene Expression (CAGE) generated by the FANTOM5 project are reported as Scaled Tags Per Million.

Max subtype Scaled Tags Per Millioni

Max subtype Scaled Tags Per Million is the value for the subtype with the largest average Scaled Tags Per Million across the subtype samples.

24.1
FANTOM5 sample id Sample description Scaled Tags Per Million
Cervix
Scaled Tags Per Million: 24.1
FF:10013-101C4 40,46,57,65 years, female 24.1

Contact

  • NEWS ARTICLES
  • PRESS ROOM

The Project

  • INTRODUCTION
  • ORGANIZATION
  • PUBLICATIONS

The Human Protein Atlas

  • DOWNLOADABLE DATA
  • LICENCE & CITATION
  • HELP & FAQ
KAW logo The Human Protein Atlas project is funded
by the Knut & Alice Wallenberg Foundation.

Facebook logo X logo Bluesky logo Linkedin logo RSS feed logo contact@proteinatlas.org
GCBR logo Elixir core logo SciLifeLab logo Uppsala university logo KI logo KTH logo